验证数据展示
经过测试的应用
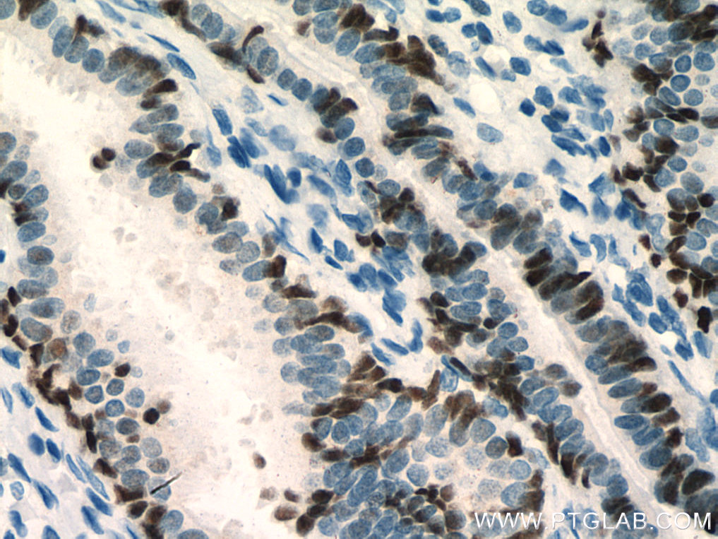
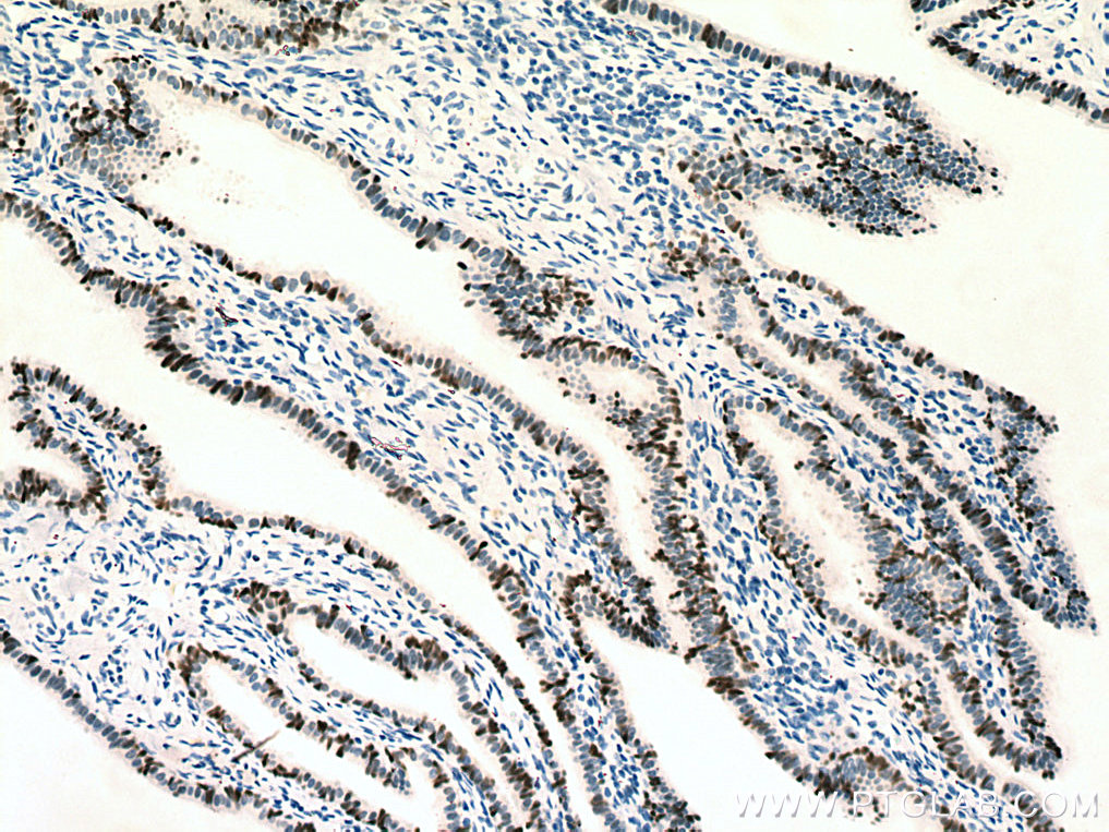
| Positive IHC detected in | human ovary tumor tissue Note: suggested antigen retrieval with TE buffer pH 9.0; (*) Alternatively, antigen retrieval may be performed with citrate buffer pH 6.0 |
推荐稀释比
| 应用 | 推荐稀释比 |
|---|---|
| Immunohistochemistry (IHC) | IHC : 1:2500-1:10000 |
| It is recommended that this reagent should be titrated in each testing system to obtain optimal results. | |
| Sample-dependent, Check data in validation data gallery. | |
产品信息
80022-1-RR targets PAX8 in IHC, ELISA applications and shows reactivity with Human samples.
| 经测试应用 | IHC, ELISA Application Description |
| 经测试反应性 | Human |
| 免疫原 |
CatNo: Ag16019 Product name: Recombinant human PAX8 protein Source: e coli.-derived, PGEX-4T Tag: GST Domain: 135-212 aa of BC001060 Sequence: KVQQPFNLPMDSCVATKSLSPGHTLIPSSAVTPPESPQSDSLGSTYSINGLLGIAQPGSDKRKMDDSDQDSCRLSIDS 种属同源性预测 |
| 宿主/亚型 | Rabbit / IgG |
| 抗体类别 | Recombinant |
| 产品类型 | Antibody |
| 全称 | paired box 8 |
| 别名 | paired box 8, Paired box protein Pax 8, PAX8 |
| 计算分子量 | 450 aa, 48 kDa |
| GenBank蛋白编号 | BC001060 |
| 基因名称 | PAX8 |
| Gene ID (NCBI) | 7849 |
| 偶联类型 | Unconjugated |
| 形式 | Liquid |
| 纯化方式 | Protein A purification |
| UNIPROT ID | Q06710 |
| 储存缓冲液 | PBS with 0.02% sodium azide and 50% glycerol, pH 7.3. |
| 储存条件 | Store at -20°C. Aliquoting is unnecessary for -20oC storage. |
背景介绍
PAX8 is a member of the paired box (PAX) family of transcription factors, typically containing a paired box domain and a paired-type homeodomain. It is expressed during organogenesis of the thyroid gland, kidney and Mullerian system. It is thought to regulate the expression of Wilms tumor suppressor (WT1) gene and mutations in PAX8 have been associated with Wilms tumor cells, thyroid and ovarian carcinomas. PAX8 is a useful marker in distinguishing ovarian carcinomas from mammary carcinomas (PMID: 18724243). PAX8 is expressed in a high percentage of ovarian serous, endometrioid, and clear cell carcinomas, but only rarely in primary ovarian mucinous adenocarcinomas.
实验方案
| Product Specific Protocols | |
|---|---|
| IHC protocol for PAX8 antibody 80022-1-RR | Download protocol |
| Standard Protocols | |
|---|---|
| Click here to view our Standard Protocols |

