验证数据展示
经过测试的应用
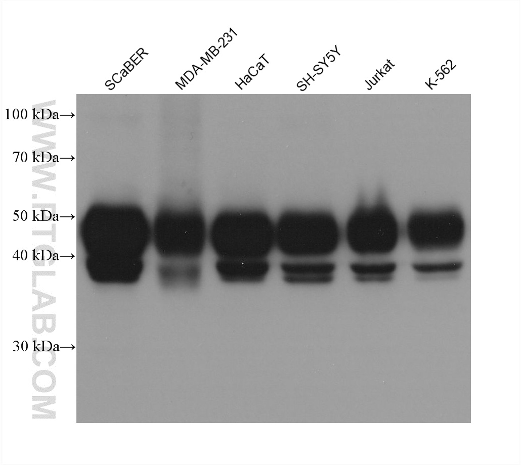
| Positive WB detected in | SCaBER cells, MDA-MB-231 cells, HaCaT cells, SH-SY5Y cells, Jurkat cells, K-562 cells |
推荐稀释比
| 应用 | 推荐稀释比 |
|---|---|
| Western Blot (WB) | WB : 1:5000-1:50000 |
| It is recommended that this reagent should be titrated in each testing system to obtain optimal results. | |
| Sample-dependent, Check data in validation data gallery. | |
产品信息
68873-5-Ig targets PANX1 in WB, ELISA applications and shows reactivity with human, mouse samples.
| 经测试应用 | WB, ELISA Application Description |
| 经测试反应性 | human, mouse |
| 免疫原 |
CatNo: Ag33689 Product name: Recombinant human PANX1 protein Source: e coli.-derived, PET28a Tag: 6*His Domain: 126-426 aa of BC016931 Sequence: FWRFAAAPHICSDLKFIMEELDKVYNRAIKAAKSARDLDMRDGACSVPGVTENLGQSLWEVSESHFKYPIVEQYLKTKKNSNNLIIKYISCRLLTLIIILLACIYLGYYFSLSSLSDEFVCSIKSGILRNDSTVPDQFQCKLIAVGIFQLLSVINLVVYVLLAPVVVYTLFVPFRQKTDVLKVYEILPTFDVLHFKSEGYNDLSLYNLFLEENISEVKSYKCLKVLENIKSSGQGIDPMLLLTNLGMIKMDVVDGKTPMSAEMREEQGNQTAELQGMNIDSETKANNGEKNARQRLLDSSC 种属同源性预测 |
| 宿主/亚型 | Mouse / IgG2a |
| 抗体类别 | Monoclonal |
| 产品类型 | Antibody |
| 全称 | pannexin 1 |
| 别名 | Caspase-activated pannexin-1, Innexin, MRS1, OOMD7, OZEMA7 |
| 计算分子量 | 426 aa, 48 kDa |
| 观测分子量 | 45-50 kDa |
| GenBank蛋白编号 | BC016931 |
| 基因名称 | PANX1 |
| Gene ID (NCBI) | 24145 |
| 偶联类型 | Unconjugated |
| 形式 | Liquid |
| 纯化方式 | Protein A purification |
| UNIPROT ID | Q96RD7 |
| 储存缓冲液 | PBS with 0.02% sodium azide and 50% glycerol, pH 7.3. |
| 储存条件 | Store at -20°C. Stable for one year after shipment. Aliquoting is unnecessary for -20oC storage. |
背景介绍
PANX1, also named as MRS1, belongs to the pannexin family. It plays a role as a Ca2+-leak channel to regulate ER Ca2+ homeostasis. It is a structural component of the gap junctions and the hemichannels. PANX1 induced the formation of intercellular channels with characteristics of gap junctions. PANX1 is 48-kDa protein which contains 4 transmembrane domains and cytoplasmic N and C termini. It is a mediator of find-me signal/nucleotide release from apoptotic cells.
实验方案
| Product Specific Protocols | |
|---|---|
| WB protocol for PANX1 antibody 68873-5-Ig | Download protocol |
| Standard Protocols | |
|---|---|
| Click here to view our Standard Protocols |

