验证数据展示
产品信息
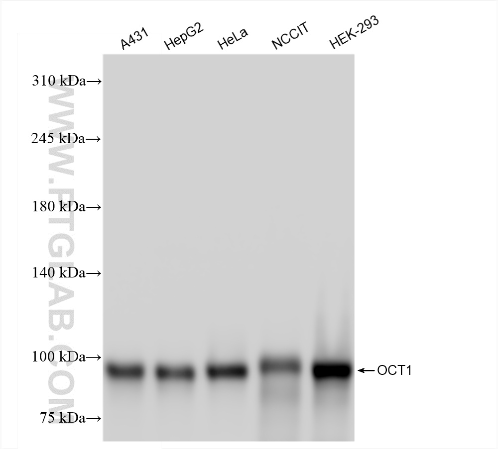
85726-1-PBS targets OCT1 in WB, IHC, IF/ICC, Indirect ELISA applications and shows reactivity with human samples.
| 经测试应用 | WB, IHC, IF/ICC, Indirect ELISA Application Description |
| 经测试反应性 | human |
| 免疫原 |
CatNo: Ag0586 Product name: Recombinant human POU2F1 protein Source: e coli.-derived, PGEX-4T Tag: GST Domain: 379-659 aa of BC003571 Sequence: RRKKRTSIETNIRVALEKSFLENQKPTSEEITMIADQLNMEKEVIRVWFCNRRQKEKRINPPSSGGTSSSPIKAIFPSPTSLVATTPSLVTSSAATTLTVSPVLPLTSAAVTNLSVTGTSDTTSNNTATVISTAPPASSAVTSPSLSPSPSASASTSEASSASETSTTQTTSTPLSSPLGTSQVMVTASGLQTAAAAALQGAAQLPANASLAAMAAAAGLNPSLMAPSQFAAGGALLSLNPGTLSGALSPALMSNSTLATIQALASGGSLPITSLDATGNL 种属同源性预测 |
| 宿主/亚型 | Rabbit / IgG |
| 抗体类别 | Recombinant |
| 产品类型 | Antibody |
| 全称 | POU class 2 homeobox 1 |
| 别名 | NF A1, NF-A1, Oct-1, Octamer-binding protein 1, Octamer-binding transcription factor 1 |
| 计算分子量 | 76 kDa |
| 观测分子量 | 90 kDa |
| GenBank蛋白编号 | BC003571 |
| 基因名称 | POU2F1 |
| Gene ID (NCBI) | 5451 |
| RRID | AB_3744323 |
| 偶联类型 | Unconjugated |
| 形式 | Liquid |
| 纯化方式 | Protein A purification |
| UNIPROT ID | P14859 |
| 储存缓冲液 | PBS only, pH 7.3. |
| 储存条件 | Store at -80°C. The product is shipped with ice packs. Upon receipt, store it immediately at -80°C |
背景介绍
The POU class 2 homeobox 1 (POU2F1), also known as octamer-binding transcription factor-1 (OCT-1), is a ubiquitous nuclear protein that regulates the transcription of target genes by binding to a cis-acting octamer element(5'-ATTTGCAT-3'). It participated in the regulation of housekeeping genes, including histone H2B and snRNAs, for cell differentiation and proliferation [PMID:3462701]. In addition, it functions as a cellular stress sensor that modulates activities of tissue-specific target genes involved in immune and inflammatory responses [PMID:16322220]. It also acts as a repressor for the cytokine-inducible, NF-kB-dependent expression of E-selectin and the vascular cell adhesion molecule during vascular inflammation. Otherwise, it can interact with nuclear hormone receptors, such as the retinoid X receptor, the thyroid hormone receptor and the glucocorticoid receptor, and influence their transcription activity[PMID:17192276].






