Immunofluorescent analysis of (4% PFA) fixed rat brain tissue using MAP2 antibody (17490-1-AP) at dilution of 1:200 and CoraLite®488-Conjugated AffiniPure Goat Anti-Rabbit IgG(H+L).
Immunofluorescent analysis of (4% PFA) fixed rat brain tissue using 17490-1-AP (MAP2 antibody) at dilution of 1:100 and CoraLite594-Conjugated AffiniPure Goat Anti-Rabbit IgG(H+L). The section was co-stained with 60190-1-Ig (GFAP antibody, green).
Immunofluorescent analysis of (4% PFA) fixed mouse brain tissue using MAP2 antibody (17490-1-AP) at dilution of 1:200 and CoraLite®488-Conjugated AffiniPure Goat Anti-Rabbit IgG(H+L).
Immunofluorescence analysis of human pluripotent stem cell-derived astrocytes with S100β (15146-1-AP) at 1/200 (Magenta) and neurons with TUJ1 (66375-1-Ig) at 1:500 (Green). The sample was fixed with 4% Paraformaldehyde and permeabilized with 0.3% Triton X-100. Alexa Fluor 488-conjugated goat anti-mouse IgG (1/500) and Alexa Fluor 594-conjugated goat anti-rabbit IgG (1/500) were used as the secondary antibodies. Nuclei were counterstained with DAPI (blue).
Retinal organoids (day 30) generated from human induced pluripotent stem cells (iPSCs) and fixed with 4% PFA. Stained for Tubulin beta 3/TUJ1 using 66375-1-Ig at 1:500 dilution (green) and PAX6 (12323-1-AP) at 1:500. Nuclear stain DAPI (blue). Scale bar = 50 µm. Data generated by Alessandro Bellapianta at Johannes Kepler Universitat, Austria.
Immunofluorescent analysis of (4% PFA) fixed rat brain tissue using 66375-1-Ig (TUBB3-specific antibody), at dilution of 1:200 and CoraLite®488-Conjugated AffiniPure Goat Anti-Mouse IgG(H+L). The section was co-stained with 26975-1-AP (NeuN antibody, red).
Immunofluorescent analysis of (4% PFA) fixed rat cerebellum tissue using 66836-1-Ig (NeuN antibody, red), at dilution of 1:200 and CoraLite®594-Conjugated AffiniPure Goat Anti-Mouse IgG(H+L). The section was co-stained with 14479-1-AP (Calbindin-D28k antibody, green).
Immunofluorescent analysis of (4% PFA) fixed mouse cerebellum tissue using 66836-1-Ig (NeuN antibody), at dilution of 1:100 and CoraLite®594-Conjugated AffiniPure Goat Anti-Mouse IgG(H+L). The section was co-stained with 14479-1-AP (Calbindin-D28k Antibody, green).
Immunofluorescent analysis of (4% PFA) fixed rat brain tissue using GFAP antibody (81063-1-RR, Clone: 4C6 ) at dilution of 1:200 and CoraLite®488-Conjugated AffiniPure Goat Anti-Rabbit IgG(H+L).
Immunofluorescent analysis of (4% PFA) fixed mouse brain tissue using GFAP antibody (81063-1-RR, Clone: 4C6 ) at dilution of 1:200 and CoraLite®488-Conjugated AffiniPure Goat Anti-Rabbit IgG(H+L).
Immunofluorescent analysis of (4% PFA) fixed rat brain tissue using IBA1 antibody (81728-1-RR, Clone: 4D5 ) at dilution of 1:500 and CoraLite®488-Conjugated AffiniPure Goat Anti-Rabbit IgG(H+L).
Immunofluorescent analysis of (4% PFA) fixed mouse brain tissue using 66729-1-Ig (CNPase antibody), at dilution of 1:200 and CoraLite®488-Conjugated AffiniPure Goat Anti-Mouse IgG(H+L).
Immunofluorescent analysis of (4% PFA) fixed mouse brain tissue using Myelin basic protein antibody (10458-1-AP) at dilution of 1:200 and CoraLite®488-Conjugated AffiniPure Goat Anti-Rabbit IgG(H+L).
Immunofluorescent analysis of (4% PFA) fixed rat brain tissue using S100 Beta antibody (66616-1-Ig, Clone: 1G10F4 ) at dilution of 1:400 and CoraLite®488-Conjugated AffiniPure Goat Anti-Mouse IgG(H+L).
Immunofluorescent analysis of (4% PFA) fixed mouse brain tissue using SOX2 antibody (66411-1-Ig, Clone: 4B9B10 ) at dilution of 1:1000 and CoraLite®488-Conjugated AffiniPure Goat Anti-Mouse IgG(H+L).
Immunofluorescent analysis of (4% PFA) fixed U-251 cells using SOX2 antibody (66411-1-Ig, Clone: 4B9B10 ) at dilution of 1:2000 and Multi-rAb CoraLite ® Plus 488-Goat Anti-Mouse Recombinant Secondary Antibody (H+L) (RGAM002), CL594-Phalloidin (red).
Immunofluorescent analysis of (4% PFA) fixed rat brain tissue using nestin antibody (29285-1-AP) at dilution of 1:200 and CoraLite®488-Conjugated AffiniPure Goat Anti-Rabbit IgG(H+L), NeuN antibody (66836-1-Ig, Clone: 3A4C1, red).
Immunofluorescent analysis of (-20°C Ethanol) fixed U-251 cells using Nestin antibody (29285-1-AP) at dilution of 1:400 and CoraLite®488-Conjugated AffiniPure Goat Anti-Rabbit IgG(H+L).
Immunofluorescent analysis of (-20°C Ethanol) fixed PC-12 cells using Synaptophysin antibody (82900-1-RR, Clone: 2H14 ) at dilution of 1:400 and Multi-rAb CoraLite ® Plus 488-Goat Anti-Rabbit Recombinant Secondary Antibody (H+L) (RGAR002), CL594-Phalloidin (red).
Immunofluorescent analysis of (4% PFA) fixed mouse brain tissue using PSD95-Specific,DLG4 antibody (81106-1-RR, Clone: 1I22 ) at dilution of 1:200 and CoraLite®488-Conjugated AffiniPure Goat Anti-Rabbit IgG(H+L).
Immunohistochemical analysis of paraffin-embedded mouse brain tissue slide using 17490-1-AP (MAP2 antibody) at dilution of 1:5000 (under 10x lens). Heat mediated antigen retrieval with Tris-EDTA buffer (pH 9.0).
Immunohistochemical analysis of paraffin-embedded rat cerebellum tissue slide using 66836-1-Ig (NeuN antibody) at dilution of 1:5000 (under 10x lens). Heat mediated antigen retrieval with Sodium Citrate buffer (pH 6.0).
Immunohistochemical analysis of paraffin-embedded human cerebellum tissue slide using 66375-1-Ig (TUBB3-specific Antibody) at dilution of 1:400 (under 40x lens).
Immunohistochemical analysis of paraffin-embedded rat brain tissue slide using 81063-1-RR (GFAP antibody) at dilution of 1:9900 (under 40x lens). Heat mediated antigen retrieval with Tris-EDTA buffer (pH 9.0).
Immunohistochemical analysis of paraffin-embedded rat brain tissue slide using 81728-1-RR (IBA1 antibody) at dilution of 1:1000 (under 40x lens). Heat mediated antigen retrieval with Tris-EDTA buffer (pH 9.0).
Immunohistochemical analysis of paraffin-embedded mouse brain tissue slide using 10458-1-AP (Myelin basic protein antibody) at dilution of 1:200 (under 10x lens). Heat mediated antigen retrieval with Tris-EDTA buffer (pH 9.0).
Immunohistochemical analysis of paraffin-embedded rat brain tissue slide using 66616-1-Ig (S100 Beta antibody) at dilution of 1:1000 (under 10x lens). Heat mediated antigen retrieval with Tris-EDTA buffer (pH 9.0).
Immunohistochemical analysis of paraffin-embedded human lung cancer tissue slide using 66411-1-Ig (SOX2 Antibody) at dilution of 1:500 (under 10x lens). Heat mediated antigen retrieval with Tris-EDTA buffer (pH 9.0).
Immunohistochemical analysis of paraffin-embedded mouse pancreas tissue slide using 82900-1-RR (Synaptophysin antibody) at dilution of 1:1000 (under 10x lens). Heat mediated antigen retrieval with Tris-EDTA buffer (pH 9.0).
Immunohistochemical analysis of paraffin-embedded mouse brain tissue slide using 81106-1-RR (PSD95-Specific,DLG4 antibody) at dilution of 1:1000 (under 10x lens). Heat mediated antigen retrieval with Tris-EDTA buffer (pH 9.0).
Various lysates were subjected to SDS PAGE followed by western blot with 17490-1-AP (MAP2 antibody) at dilution of 1:30000 incubated at room temperature for 1.5 hours.
Various lysates were subjected to SDS PAGE followed by western blot with 66375-1-Ig (TUBB3-specific antibody) at dilution of 1:49000 incubated at room temperature for 1.5 hours.
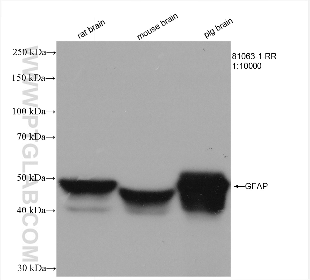
Various lysates were subjected to SDS PAGE followed by western blot with 81063-1-RR (GFAP antibody) at dilution of 1:10000 incubated at room temperature for 1.5 hours.
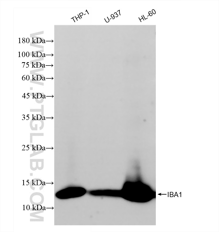
Various lysates were subjected to SDS PAGE followed by western blot with 81728-1-RR (IBA1 antibody) at dilution of 1:10000 incubated at room temperature for 1.5 hours.
Various lysates were subjected to SDS PAGE followed by western blot with 66729-1-Ig (CNPase antibody) at dilution of 1:5000 incubated at room temperature for 1.5 hours.
Various lysates were subjected to SDS PAGE followed by western blot with 10458-1-AP (Myelin basic protein antibody) at dilution of 1:8000 incubated at room temperature for 1.5 hours.
rat brain tissue were subjected to SDS PAGE followed by western blot with 66616-1-Ig (S100B antibody) at dilution of 1:2000 incubated at room temperature for 1.5 hours.
Various lysates were subjected to SDS PAGE followed by western blot with 66411-1-Ig (SOX2 antibody) at dilution of 1:2500 incubated at room temperature for 1.5 hours.
Various lysates were subjected to SDS PAGE followed by western blot with 29285-1-AP (nestin antibody) at dilution of 1:500 incubated at room temperature for 1.5 hours.
Various lysates were subjected to SDS PAGE followed by western blot with 82900-1-RR (Synaptophysin antibody) at dilution of 1:20000 incubated at room temperature for 1.5 hours.
Various lysates were subjected to SDS PAGE followed by western blot with 81106-1-RR (PSD95-Specific,DLG4 antibody) at dilution of 1:10000 incubated at room temperature for 1.5 hours.