验证数据展示
经过测试的应用
| Positive WB detected in | LNCaP cells, SH-SY5Y cells, HeLa cells, K-562 cells, MCF-7 cells |
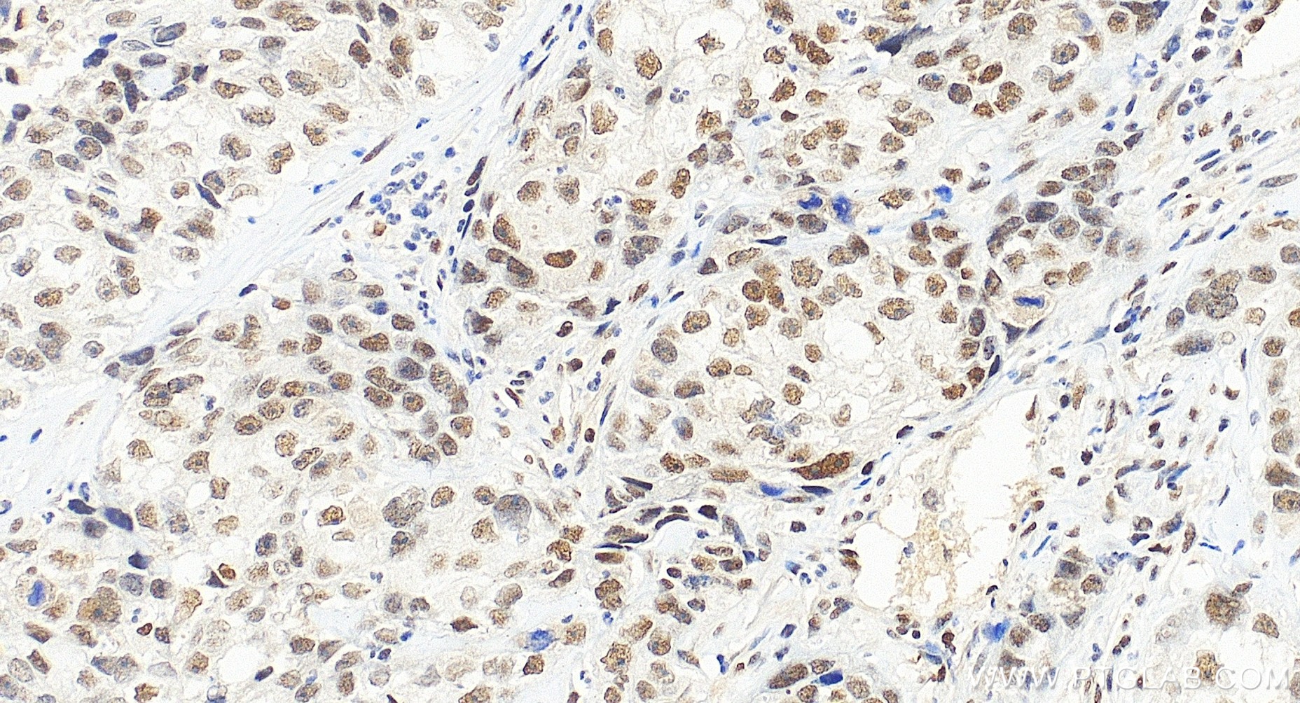
| Positive IHC detected in | human ovary cancer tissue Note: suggested antigen retrieval with TE buffer pH 9.0; (*) Alternatively, antigen retrieval may be performed with citrate buffer pH 6.0 |
| Positive IF/ICC detected in | MCF-7 cells, SH-SY5Y cells |
| Positive FC (Intra) detected in | HeLa cells |
推荐稀释比
| 应用 | 推荐稀释比 |
|---|---|
| Western Blot (WB) | WB : 1:5000-1:50000 |
| Immunohistochemistry (IHC) | IHC : 1:50-1:500 |
| Immunofluorescence (IF)/ICC | IF/ICC : 1:250-1:1000 |
| Flow Cytometry (FC) (INTRA) | FC (INTRA) : 0.25 ug per 10^6 cells in a 100 µl suspension |
| It is recommended that this reagent should be titrated in each testing system to obtain optimal results. | |
| Sample-dependent, Check data in validation data gallery. | |
产品信息
85380-2-RR targets NAC1 in WB, IHC, IF/ICC, FC (Intra), ELISA applications and shows reactivity with human samples.
| 经测试应用 | WB, IHC, IF/ICC, FC (Intra), ELISA Application Description |
| 经测试反应性 | human |
| 免疫原 |
CatNo: Ag6096 Product name: Recombinant human NACC1 protein Source: e coli.-derived, PGEX-4T Tag: GST Domain: 173-527 aa of BC055396 Sequence: SDSVQCMPVAKRLWDSGQKEAGGGGNGSRKMAKFSTPDLAANRPHQPPPPQQAPVVAAAQPAVAAGAGQPAGGVAAAGGVVSGPSTSERTSPGTSSAYTSDSPGSYHNEEDEEEDGGEEGMDEQYRQICNMYTMYSMMNVGQTAEKVEALPEQVAPESRNRIRVRQDLASLPAELINQIGNRCHPKLYDEGDPSEKLELVTGTNVYITRAQLMNCHVSAGTRHKVLLRRLLASFFDRNTLANSCGTGIRSSTNDPRRKPLDSRVLHAVKYYCQNFAPNFKESEMNAIAADMCTNARRVVRKSWMPKVKVLKAEDDAYTTFISETGKIEPDMMGVEHGFETASHEGEAGPSAEALQ 种属同源性预测 |
| 宿主/亚型 | Rabbit / IgG |
| 抗体类别 | Recombinant |
| 产品类型 | Antibody |
| 全称 | nucleus accumbens associated 1, BEN and BTB (POZ) domain containing |
| 别名 | NACC1, 242788E11, BEND8, BTB/POZ domain-containing protein 14B, BTBD14B |
| 计算分子量 | 57 kDa |
| 观测分子量 | 60-65 kDa |
| GenBank蛋白编号 | BC055396 |
| 基因名称 | NACC1 |
| Gene ID (NCBI) | 112939 |
| 偶联类型 | Unconjugated |
| 形式 | Liquid |
| 纯化方式 | Protein A purification |
| UNIPROT ID | Q96RE7 |
| 储存缓冲液 | PBS with 0.02% sodium azide and 50% glycerol, pH 7.3. |
| 储存条件 | Store at -20°C. Stable for one year after shipment. Aliquoting is unnecessary for -20oC storage. |
背景介绍
NAC1, also named as BTBD14B and NACC1, belongs to the BTB/POZ family. NACC1 is a transcriptional repressor, which is amplified and overexpressed in various human cancers and plays critical roles in tumor development, progression, and drug resistance (PMID: 31101655). While NAC1 has been shown to repress the transcription of two tumor suppressors, Gadd45-g and Gadd45-g- interacting protein 1, scientists have found that NACC1 also plays an important role in nontranscriptional function, for example, it can act as a bridge for MAVS and TBK1 in RLR-mediated signaling (PMID: 31235549). The observed molecular weight is consistent with what has been described in the literature (PMID: 37533751).
实验方案
| Product Specific Protocols | |
|---|---|
| FC protocol for NAC1 antibody 85380-2-RR | Download protocol |
| IF protocol for NAC1 antibody 85380-2-RR | Download protocol |
| IHC protocol for NAC1 antibody 85380-2-RR | Download protocol |
| WB protocol for NAC1 antibody 85380-2-RR | Download protocol |
| Standard Protocols | |
|---|---|
| Click here to view our Standard Protocols |






