IHCeasy® NACC1 Ready-To-Use IHC Kit
NACC1 Ready-to-use reagent kit for IHC.
Reactivity
Human, Mouse, Rat
Sample Type
FFPE tissue
Cat no : KHC1882
Synonyms
BEND8, BTBD14B, NAC 1, NAC1, NACC1
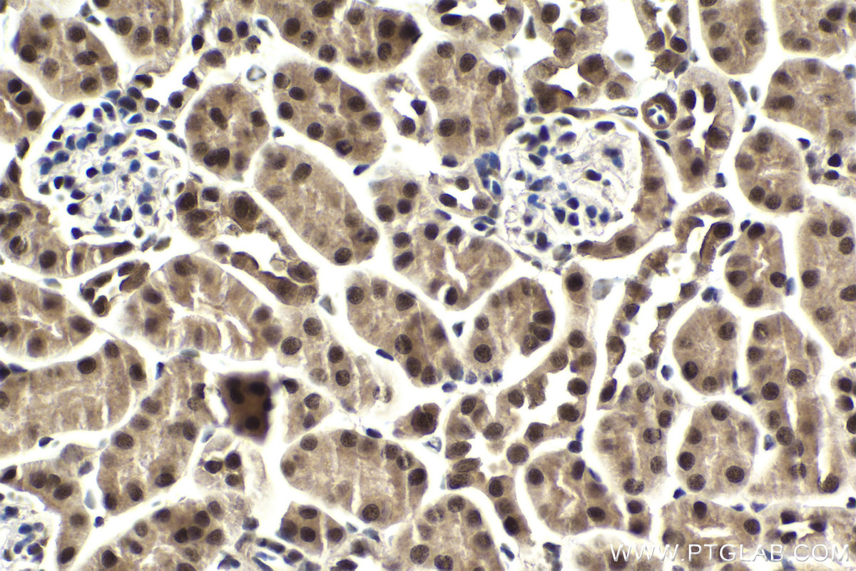
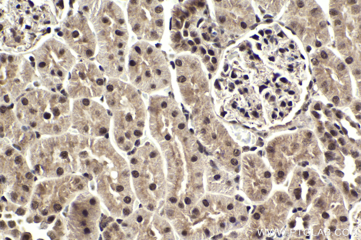
Validation Data Gallery
Product Information
KHC1882 is a ready-to-use IHC kit for staining of NACC1. The kit provides all reagents, from antigen retrieval to cover slip mounting, that require little to no diluting or handling prior to use. Simply apply the reagents to your sample slide according to the protocol and you're steps away from obtaining high-quality IHC data.
| Product name | IHCeasy NACC1 Ready-To-Use IHC Kit |
| Sample type | FFPE tissue |
| Assay type | Immunohistochemistry |
| Primary antibody type | Rabbit Polyclonal |
| Secondary antibody type | Polymer-HRP-Goat anti-Rabbit |
| Reactivity | Human, Mouse, Rat |
Kit components
| Component | Size | Concentration |
|---|---|---|
| Antigen Retrieval Buffer | 100 mL | 50× |
| Washing Buffer | 100 mL ×2 | 20× |
| Blocking Buffer | 5 mL | RTU |
| Primary Antibody | 5 mL | RTU |
| Secondary Antibody | 5 mL | RTU |
| Chromogen Component A | 0.2 mL | RTU |
| Chromogen Component B | 4 mL | RTU |
| Signal Enhancer | 5 mL | RTU |
| Counter Staining Reagent | 5 mL | RTU |
| Mounting Media | 5 mL | RTU |
| Datasheet | 1 Copy | |
| Manual | 1 Copy |
Background Information
NACC1, also named as BTBD14B and NAC1, belongs to the BTB/POZ family. NACC1 is a transcriptional repressor, which is amplified and overexpressed in various human cancers and plays critical roles in tumor development, progression, and drug resistance. While NAC1 has been shown to repress the transcription of two tumor suppressors, Gadd45-g and Gadd45-g- interacting protein 1, scientists have found that NACC1 also plays an important role in nontranscriptional function, for example, it can act as a bridge for MAVS and TBK1 in RLR-mediated signaling.
Properties
| Storage Instructions | All the reagents are stored at 2-8°C. The kit is stable for 6 months from the date of receipt. |
| Synonyms | BEND8, BTBD14B, NAC 1, NAC1, NACC1 |







