验证数据展示
经过测试的应用
| Positive WB detected in | human skeletal muscle tissue, mouse heart tissue, human heart tissue, pig heart tissue, rat heart tissue |
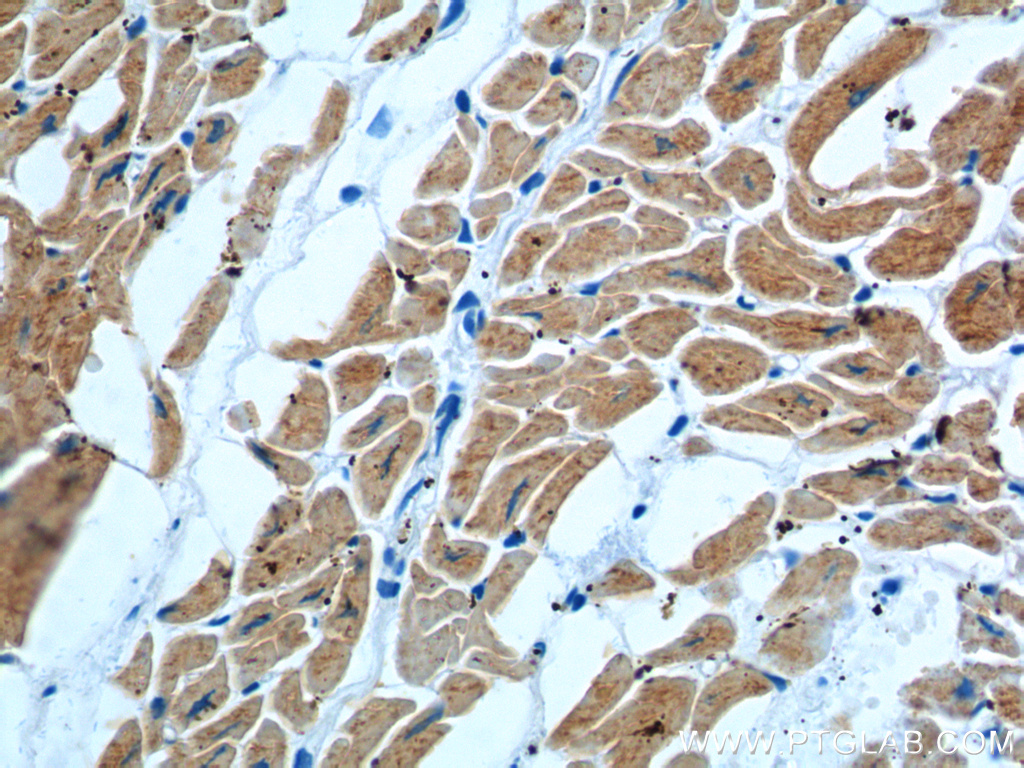
| Positive IHC detected in | human heart tissue, human skeletal muscle tissue Note: suggested antigen retrieval with TE buffer pH 9.0; (*) Alternatively, antigen retrieval may be performed with citrate buffer pH 6.0 |
推荐稀释比
| 应用 | 推荐稀释比 |
|---|---|
| Western Blot (WB) | WB : 1:5000-1:50000 |
| Immunohistochemistry (IHC) | IHC : 1:20-1:200 |
| It is recommended that this reagent should be titrated in each testing system to obtain optimal results. | |
| Sample-dependent, Check data in validation data gallery. | |
发表文章中的应用
| WB | See 3 publications below |
| RIP | See 1 publications below |
产品信息
66286-1-Ig targets MYL3 in WB, IHC, RIP, ELISA applications and shows reactivity with human, rat, mouse, pig samples.
| 经测试应用 | WB, IHC, ELISA Application Description |
| 文献引用应用 | WB, RIP |
| 经测试反应性 | human, rat, mouse, pig |
| 文献引用反应性 | human, mouse |
| 免疫原 |
CatNo: Ag24535 Product name: Recombinant human MYL3 protein Source: e coli.-derived, PET30a Tag: 6*His Domain: 1-195 aa of BC009790 Sequence: MAPKKPEPKKDDAKAAPKAAPAPAPPPEPERPKEVEFDASKIKIEFTPEQIEEFKEAFMLFDRTPKCEMKITYGQCGDVLRALGQNPTQAEVLRVLGKPRQEELNTKMMDFETFLPMLQHISKNKDTGTYEDFVEGLRVFDKEGNGTVMGAELRHVLATLGERLTEDEVEKLMAGQEDSNGCINYEAFVKHIMSS 种属同源性预测 |
| 宿主/亚型 | Mouse / IgG1 |
| 抗体类别 | Monoclonal |
| 产品类型 | Antibody |
| 全称 | myosin, light chain 3, alkali; ventricular, skeletal, slow |
| 别名 | Cardiac myosin light chain 1, CMH8, CMLC1, MLC1SB, MLC1V, MYL3, Myosin light chain 3, VLC1 |
| 计算分子量 | 22 kDa |
| 观测分子量 | 22-25 kDa |
| GenBank蛋白编号 | BC009790 |
| 基因名称 | MYL3 |
| Gene ID (NCBI) | 4634 |
| RRID | AB_2881669 |
| 偶联类型 | Unconjugated |
| 形式 | Liquid |
| 纯化方式 | Protein G purification |
| UNIPROT ID | P08590 |
| 储存缓冲液 | PBS with 0.02% sodium azide and 50% glycerol, pH 7.3. |
| 储存条件 | Store at -20°C. Stable for one year after shipment. Aliquoting is unnecessary for -20oC storage. |
背景介绍
MYL3, also named as MLC1v, is an essential light chain of myosin that is associated with muscle contraction. It is expressed in ventricular and slow skeletal muscle. MYL3 may serve as a target for caspase-3 in dying cardiomyocytes. Mutations of MYL3 gene cause hypertrophic cardiomyopathy. MYL3 has been identified as potential serum biomarker for drug induced myotoxicity. Great increase in MYL3 serum concentration has been observed in rats with cardiac and skeletal muscle injury. (PMID:21685905)
实验方案
| Product Specific Protocols | |
|---|---|
| WB protocol for MYL3 antibody 66286-1-Ig | Download protocol |
| IHC protocol for MYL3 antibody 66286-1-Ig | Download protocol |
| Standard Protocols | |
|---|---|
| Click here to view our Standard Protocols |
发表文章
| Species | Application | Title |
|---|---|---|
Antioxidants (Basel) Ganoderma lucidum Spore Powder Alleviates Metabolic-Associated Fatty Liver Disease by Improving Lipid Accumulation and Oxidative Stress via Autophagy | ||
Research (Wash D C) Circ-0001283 Aggravates Cardiac Hypertrophy by Targeting Myosin Light Chain 3 Protein | ||
Transl Oncol ACAT1 suppresses clear cell renal cell carcinoma progression by AMPK mediated fatty acid metabolism |






