IHCeasy® MYL3 Ready-To-Use IHC Kit
MYL3 Ready-to-use reagent kit for IHC.
Reactivity
Human, Mouse, Rat
Sample Type
FFPE tissue
Cat no : KHC0338
Synonyms
Cardiac myosin light chain 1, CMH8, CMLC1, MLC1SB, MLC1V, MYL3, Myosin light chain 3, VLC1
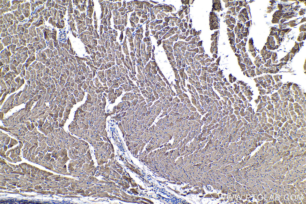
Validation Data Gallery
Product Information
KHC0338 is a ready-to-use IHC kit for staining of MYL3. The kit provides all reagents, from antigen retrieval to cover slip mounting, that require little to no diluting or handling prior to use. Simply apply the reagents to your sample slide according to the protocol and you're steps away from obtaining high-quality IHC data.
| Product name | IHCeasy MYL3 Ready-To-Use IHC Kit |
| Sample type | FFPE tissue |
| Assay type | Immunohistochemistry |
| Primary antibody type | Mouse Monoclonal |
| Secondary antibody type | Polymer-HRP-Goat anti-Mouse |
| Reactivity | Human, Mouse, Rat |
Kit components
| Component | Size | Concentration |
|---|---|---|
| Antigen Retrieval Buffer | 100 mL | 50× |
| Washing Buffer | 100 mL ×2 | 20× |
| Blocking Buffer | 5 mL | RTU |
| Primary Antibody | 5 mL | RTU |
| Secondary Antibody | 5 mL | RTU |
| Chromogen Component A | 0.2 mL | RTU |
| Chromogen Component B | 4 mL | RTU |
| Signal Enhancer | 5 mL | RTU |
| Counter Staining Reagent | 5 mL | RTU |
| Mounting Media | 5 mL | RTU |
| Datasheet | 1 Copy | |
| Manual | 1 Copy |
Background Information
MYL3, also named as MLC1v, is an essential light chain of myosin that is associated with muscle contraction. It is expressed in ventricular and slow skeletal muscle. MYL3 may serve as a target for caspase-3 in dying cardiomyocytes. Mutations of MYL3 gene cause hypertrophic cardiomyopathy. MYL3 has been identified as potential serum biomarker for drug induced myotoxicity. Great increase in MYL3 serum concentration has been observed in rats with cardiac and skeletal muscle injury.
Properties
| Storage Instructions | All the reagents are stored at 2-8°C. The kit is stable for 6 months from the date of receipt. |
| Synonyms | Cardiac myosin light chain 1, CMH8, CMLC1, MLC1SB, MLC1V, MYL3, Myosin light chain 3, VLC1 |




