验证数据展示
经过测试的应用
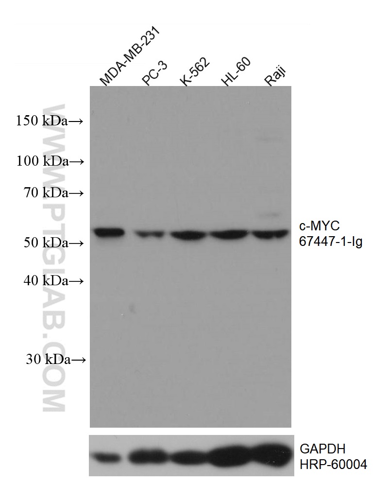
| Positive WB detected in | MDA-MB-231 cells, HT-29 cells, 4T1 cells, PC-3 cells, K-562 cells, HL-60 cells, Raji cells, HSC-T6 cells, RAW 264.7 cells, NIH/3T3 cells |
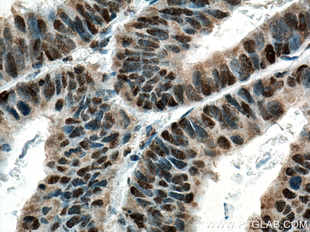
| Positive IHC detected in | human colon cancer tissue, human cervical cancer tissue, mouse brain tissue, human tonsillitis tissue Note: suggested antigen retrieval with TE buffer pH 9.0; (*) Alternatively, antigen retrieval may be performed with citrate buffer pH 6.0 |
| Positive FC (Intra) detected in | K-562 cells, NCCIT cells, HeLa cells |
推荐稀释比
| 应用 | 推荐稀释比 |
|---|---|
| Western Blot (WB) | WB : 1:5000-1:50000 |
| Immunohistochemistry (IHC) | IHC : 1:500-1:2000 |
| Flow Cytometry (FC) (INTRA) | FC (INTRA) : 0.40 ug per 10^6 cells in a 100 µl suspension |
| It is recommended that this reagent should be titrated in each testing system to obtain optimal results. | |
| Sample-dependent, Check data in validation data gallery. | |
产品信息
67447-1-Ig targets c-MYC in WB, IHC, IF, FC (Intra), IP, CoIP, ChIP, ELISA applications and shows reactivity with human, mouse, rat samples.
| 经测试应用 | WB, IHC, FC (Intra), ELISA Application Description |
| 文献引用应用 | WB, IHC, IF, IP, CoIP, ChIP |
| 经测试反应性 | human, mouse, rat |
| 文献引用反应性 | human, mouse, rat, bacillus subtilis |
| 免疫原 |
CatNo: Ag17519 Product name: Recombinant human MYC protein Source: e coli.-derived, PET28a Tag: 6*His Domain: 16-454 aa of BC000141 Sequence: MPLNVSFTNRNYDLDYDSVQPYFYCDEEENFYQQQQQSELQPPAPSEDIWKKFELLPTPPLSPSRRSGLCSPSYVAVTPFSLRGDNDGGGGSFSTADQLEMVTELLGGDMVNQSFICDPDDETFIKNIIIQDCMWSGFSAAAKLVSEKLASYQAARKDSGSPNPARGHSVCSTSSLYLQDLSAAASECIDPSVVFPYPLNDSSSPKSCASQDSSAFSPSSDSLLSSTESSPQGSPEPLVLHEETPPTTSSDSEEEQEDEEEIDVVSVEKRQAPGKRSESGSPSAGGHSKPPHSPLVLKRCHVSTHQHNYAAPPSTRKDYPAAKRVKLDSVRVLRQISNNRKCTSPRSSDTEENVKRRTHNVLERQRRNELKRSFFALRDQIPELENNEKAPKVVILKKATAYILSVQAEEQKLISEEDLLRKRREQLKHKLEQLRNSCA 种属同源性预测 |
| 宿主/亚型 | Mouse / IgG1 |
| 抗体类别 | Monoclonal |
| 产品类型 | Antibody |
| 全称 | v-myc myelocytomatosis viral oncogene homolog (avian) |
| 别名 | MYC, 3D9C12, bHLHe39, c Myc, Class E basic helix-loop-helix protein 39 |
| 计算分子量 | 49 kDa |
| 观测分子量 | 55-60 kDa |
| GenBank蛋白编号 | BC000141 |
| 基因名称 | MYC |
| Gene ID (NCBI) | 4609 |
| RRID | AB_2882681 |
| 偶联类型 | Unconjugated |
| 形式 | Liquid |
| 纯化方式 | Protein G purification |
| UNIPROT ID | P01106 |
| 储存缓冲液 | PBS with 0.02% sodium azide and 50% glycerol, pH 7.3. |
| 储存条件 | Store at -20°C. Stable for one year after shipment. Aliquoting is unnecessary for -20oC storage. |
背景介绍
MYC contains a basic helix-loop-helix (bHLH) domain. This protein is a multifunctional nuclear phosphoprotein, which plays a role in cell cycle process, apoptosis and cell transformation. As a transcription factor, it regulates the transcription of specific target genes. It seems to activate the transcription of growth-related genes. It binds to DNA in a nonspecific way, but also specifically recognizes the core sequence 5'-CAC[GA]TG-3'. Mutation, overexpression, rearrangement and translocation of this gene are related to many hematopoietic tumors, leukemia and lymphoma (including Burkitt lymphoma). The antibody is a rabbit polyclonal antibody against human MYC recombinant protein. The 50kDa band recognized by antibody is the natural form of MYC, while other bands between 60 and 70 kDa are the phosphorylated form of MYC (PMID: 12189186). The latest research reveals a new key mechanism of MYC protein, which is independent of its classical transcriptional regulation function. It was found that under the stress of transcription, MYC was polymerized through its specific RNA binding domain (RBRIII), and exocrine was targeted at the nuclear R loop and double-stranded RNA. This process can effectively eliminate the immunogenic RNA-DNA hybrid from R-loop, thus preventing it from activating TLR3-TBK1 natural immune signaling pathway. This mechanism is very important for MYC to maintain tumor growth and achieve immune escape in vivo. (PMID: 41576951)
实验方案
| Product Specific Protocols | |
|---|---|
| FC protocol for c-MYC antibody 67447-1-Ig | Download protocol |
| IHC protocol for c-MYC antibody 67447-1-Ig | Download protocol |
| WB protocol for c-MYC antibody 67447-1-Ig | Download protocol |
| Standard Protocols | |
|---|---|
| Click here to view our Standard Protocols |
发表文章
| Species | Application | Title |
|---|---|---|
Gastroenterology Nucleolar HEATR1 upregulated by mTORC1 signaling promotes hepatocellular carcinoma growth by dominating ribosome biogenesis and proteome homeostasis | ||
Drug Resist Updat Targeting ACYP1-mediated glycolysis reverses lenvatinib resistance and restricts hepatocellular carcinoma progression
| ||
Nat Commun ID1 expressing macrophages support cancer cell stemness and limit CD8+ T cell infiltration in colorectal cancer | ||
Mol Cell The long noncoding RNA glycoLINC assembles a lower glycolytic metabolon to promote glycolysis. | ||
Acta Pharm Sin B Co-delivery of photosensitizer and diclofenac through sequentially responsive bilirubin nanocarriers for combating hypoxic tumors. | ||
Sci Adv AKR1B10 dictates c-Myc stability to suppress colorectal cancer metastasis via PP2A nitration |












