验证数据展示
经过测试的应用
| Positive WB detected in | A549 cells, HeLa cells, K-562 cells, LNCaP cells, Jurkat cells, COLO 320 cells |
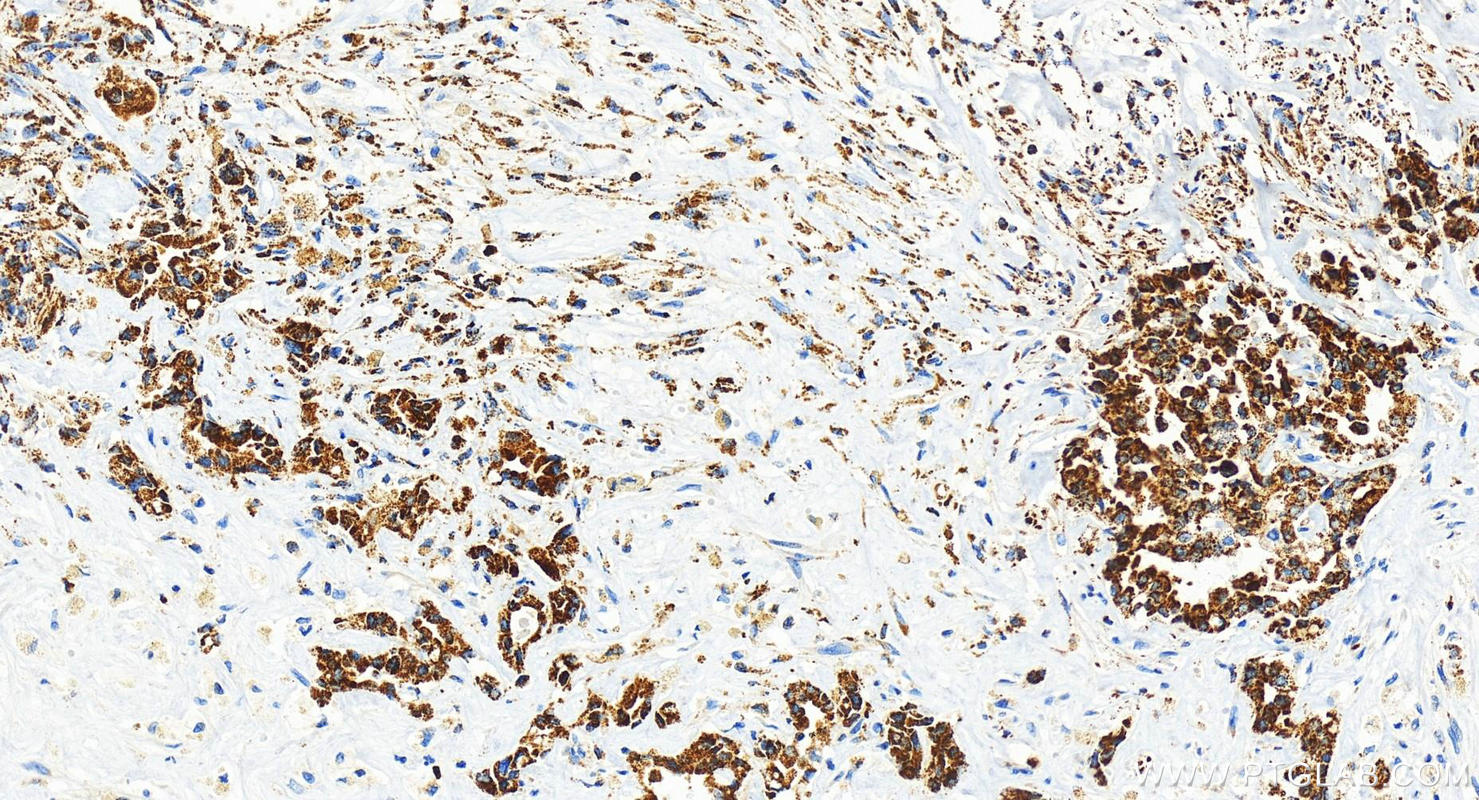
| Positive IHC detected in | human intrahepatic cholangiocarcinoma tissue Note: suggested antigen retrieval with TE buffer pH 9.0; (*) Alternatively, antigen retrieval may be performed with citrate buffer pH 6.0 |
| Positive IF/ICC detected in | HeLa cells |
推荐稀释比
| 应用 | 推荐稀释比 |
|---|---|
| Western Blot (WB) | WB : 1:5000-1:50000 |
| Immunohistochemistry (IHC) | IHC : 1:50-1:500 |
| Immunofluorescence (IF)/ICC | IF/ICC : 1:200-1:800 |
| It is recommended that this reagent should be titrated in each testing system to obtain optimal results. | |
| Sample-dependent, Check data in validation data gallery. | |
产品信息
83515-4-RR targets MRPL40 in WB, IHC, IF/ICC, ELISA applications and shows reactivity with human samples.
| 经测试应用 | WB, IHC, IF/ICC, ELISA Application Description |
| 经测试反应性 | human |
| 免疫原 |
CatNo: Ag10341 Product name: Recombinant human MRPL40 protein Source: e coli.-derived, PGEX-4T Tag: GST Domain: 1-206 aa of BC009707 Sequence: MTASVLRSISLALRPTSGLLGTWQTQLRETHQRASLLSFWELIPMRSEPLRKKKKVDPKKDQEAKERLKRKIRKLEKATQELIPIEDFITPLKFLDKARERPQVELTFEETERRALLLKKWSLYKQQERKMERDTIRAMLEAQQEALEELQLESPKLHAEAIKRDPNLFPFEKEGPHYTPPIPNYQPPEGRYNDITKVYTQVEFKR 种属同源性预测 |
| 宿主/亚型 | Rabbit / IgG |
| 抗体类别 | Recombinant |
| 产品类型 | Antibody |
| 全称 | mitochondrial ribosomal protein L40 |
| 别名 | MRP-L40, MRP L40, MRP L22, Large ribosomal subunit protein mL40, L40mt |
| 计算分子量 | 206 aa, 24 kDa |
| 观测分子量 | 18-24 kDa |
| GenBank蛋白编号 | BC009707 |
| 基因名称 | MRPL40 |
| Gene ID (NCBI) | 64976 |
| RRID | AB_3671140 |
| 偶联类型 | Unconjugated |
| 形式 | Liquid |
| 纯化方式 | Protein A purfication |
| UNIPROT ID | Q9NQ50 |
| 储存缓冲液 | PBS with 0.02% sodium azide and 50% glycerol, pH 7.3. |
| 储存条件 | Store at -20°C. Stable for one year after shipment. Aliquoting is unnecessary for -20oC storage. |
背景介绍
MRPL40, also known as NLVCF and URIM, belongs to the mitochondrion-specific ribosomal protein mL40 family. MRPL40 encodes the mitochondrial ribosomal protein L40 for the larger 39S subunit of mitochondrial ribosomes. MRPL40 is widely expressed in human organs and tissues, including the heart, brain, placenta, lung, liver, skeletal muscle, kidney, pancreas, spleen, thymus, prostate, ovary, small intestine, colon, peripheral blood lymphocyte (PBL), and testis. MRPL40 is also expressed in human fetuses and mouse embryos, suggesting its important role in fetal development (PMID: 36891938).
实验方案
| Product Specific Protocols | |
|---|---|
| IF protocol for MRPL40 antibody 83515-4-RR | Download protocol |
| IHC protocol for MRPL40 antibody 83515-4-RR | Download protocol |
| WB protocol for MRPL40 antibody 83515-4-RR | Download protocol |
| Standard Protocols | |
|---|---|
| Click here to view our Standard Protocols |



