验证数据展示
经过测试的应用
| Positive WB detected in | rat lung tissue, rat liver tissue |
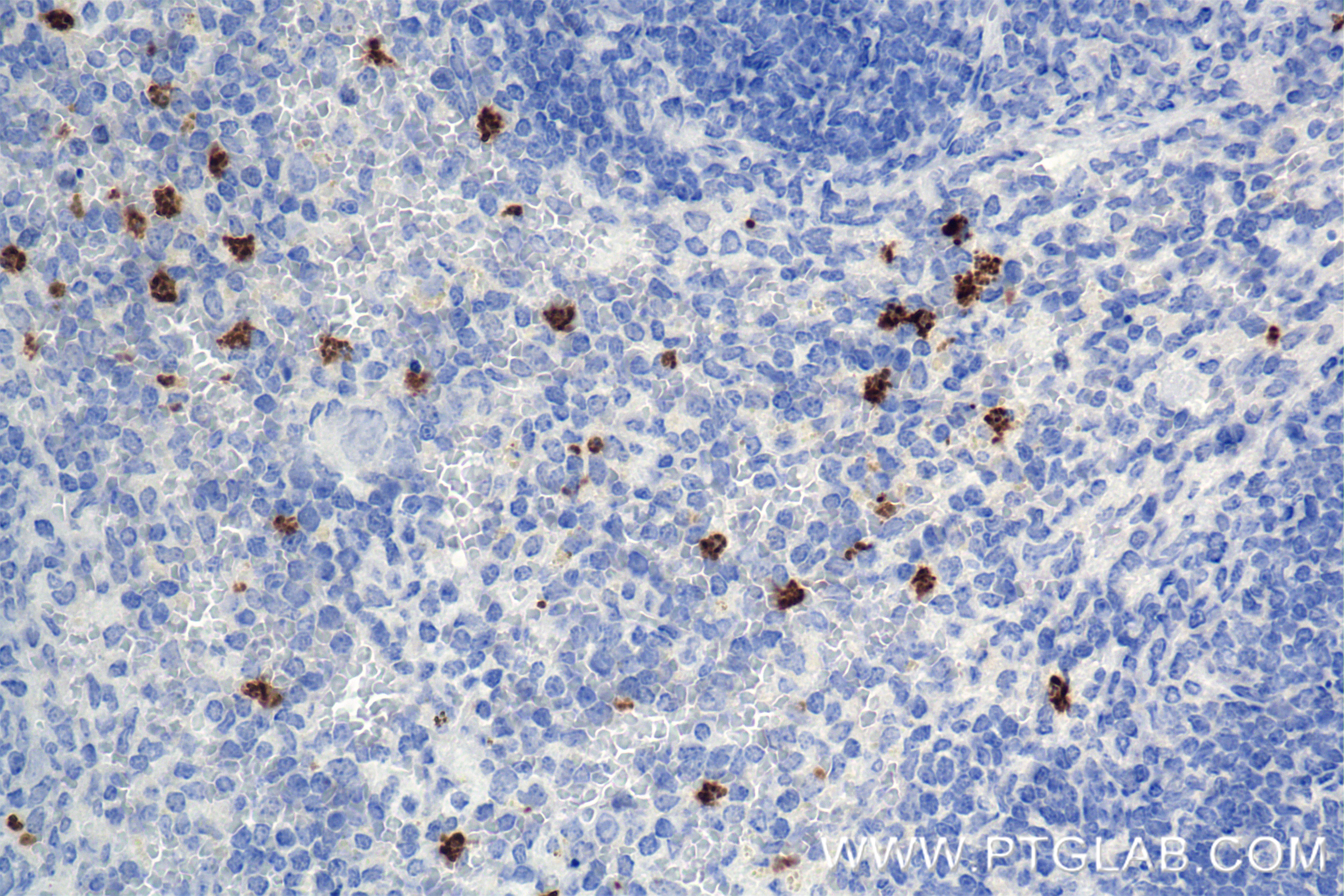
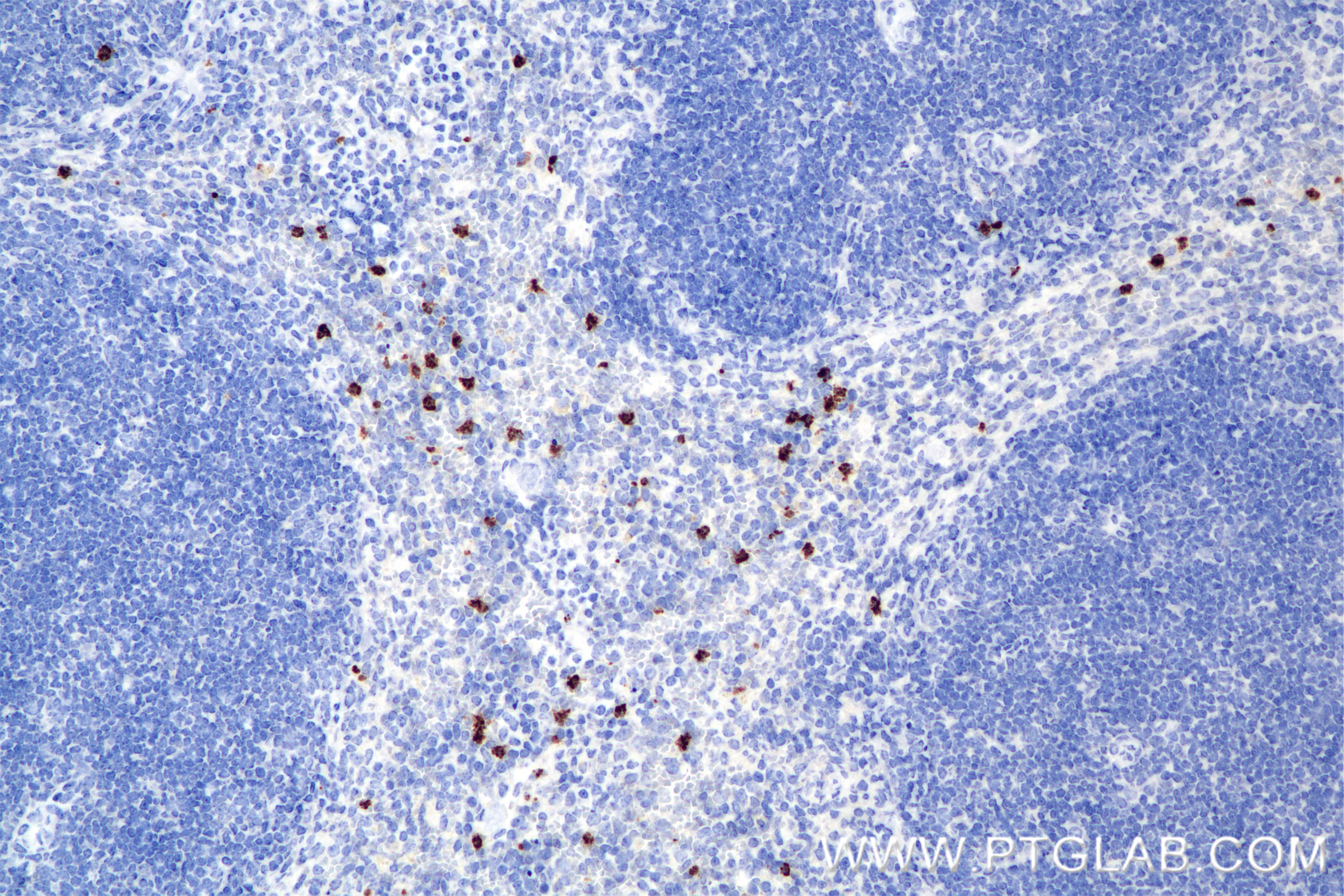
| Positive IHC detected in | mouse spleen tissue Note: suggested antigen retrieval with TE buffer pH 9.0; (*) Alternatively, antigen retrieval may be performed with citrate buffer pH 6.0 |
推荐稀释比
| 应用 | 推荐稀释比 |
|---|---|
| Western Blot (WB) | WB : 1:5000-1:50000 |
| Immunohistochemistry (IHC) | IHC : 1:1000-1:4000 |
| It is recommended that this reagent should be titrated in each testing system to obtain optimal results. | |
| Sample-dependent, Check data in validation data gallery. | |
产品信息
85211-4-RR targets MMP8 in WB, IHC, ELISA applications and shows reactivity with rat samples.
| 经测试应用 | WB, IHC, ELISA Application Description |
| 经测试反应性 | rat |
| 免疫原 |
CatNo: Eg3278 Product name: Recombinant Rat MMP-8 protein (rFc Tag) Source: mammalian cells-derived, pHZ-KIsec-C-rFc Tag: C-rFc Domain: 21-466 aa of NM_022221.1 Sequence: LPVPPEHLEEKNMKTAENYLRKFYHLPSNQFRSARNATMIAEKLKEMQRFFGLPETGKPDAATIEIMEKPRCGVPDSGDFLLTPGSPKWTHTNLTYRIINHTPQMSKAEVKTEIEKAFKIWSVPSTLTFTETLEGEADINIAFVSRDHGDNSPFDGPNGILAHAFQPGRGIGGDAHFDSEETWTQDSKNYNLFLVAAHEFGHSLGLSHSTDPGALMYPNYAYREPSTYSLPQDDINGIQTIYGPSDNPVQPTGPSTPTACDPHLRFDAATTLRGEIYFFKDKYFWRRHPQLRTVDLNFISLFWPFLPNGLQAAYEDFDRDLVFLFKGRQYWALSAYDLQQGYPRDISNYGFPRSVQAIDAAVSYNGKTYFFVNNQCWRYDNQRRSMDPGYPTSIASVFPGINCRIDAVFQQDSFFLFFSGPQYFAFNLVSRRVTRVARSNLWLNCP 种属同源性预测 |
| 宿主/亚型 | Rabbit / IgG |
| 抗体类别 | Recombinant |
| 产品类型 | Antibody |
| 全称 | matrix metallopeptidase 8 |
| 别名 | EC:3.4.24.34, Matrix metalloproteinase-8, MMP-8, Neutrophil collagenase |
| 计算分子量 | 53 kDa |
| 观测分子量 | 60-70 kDa |
| GenBank蛋白编号 | NM_022221.1 |
| 基因名称 | Mmp8 |
| Gene ID (NCBI) | 63849 |
| 偶联类型 | Unconjugated |
| 形式 | Liquid |
| 纯化方式 | Protein A purification |
| UNIPROT ID | O88766 |
| 储存缓冲液 | PBS with 0.02% sodium azide and 50% glycerol, pH 7.3. |
| 储存条件 | Store at -20°C. Stable for one year after shipment. Aliquoting is unnecessary for -20oC storage. |
背景介绍
MMP8(Matrix metalloproteinase-8) an enzyme that degrades fibrillar collagens imparting strength to the fetal membranes, is expressed by leukocytes and chorionic cytotrophoblast cells(PMID:15367487). Purified human neutrophil MMP-8 with proeMMP-8 at 70-75 KDa and active enzyme at 65 KDa and amniochorion proenzyme and active enzyme at 65 and 50 KDa, respectively(PMID: 28772283, PMID:15042023).
实验方案
| Product Specific Protocols | |
|---|---|
| IHC protocol for MMP8 antibody 85211-4-RR | Download protocol |
| WB protocol for MMP8 antibody 85211-4-RR | Download protocol |
| Standard Protocols | |
|---|---|
| Click here to view our Standard Protocols |


