验证数据展示
经过测试的应用
| Positive WB detected in | HEK-293 cells, A375 cells, HCT-116 cells, HUVEC cells, HeLa cells |
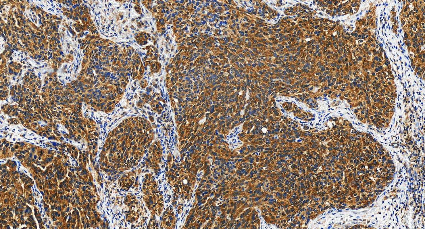
| Positive IHC detected in | human ovary cancer tissue Note: suggested antigen retrieval with TE buffer pH 9.0; (*) Alternatively, antigen retrieval may be performed with citrate buffer pH 6.0 |
| Positive IF/ICC detected in | HEK-293 cells |
推荐稀释比
| 应用 | 推荐稀释比 |
|---|---|
| Western Blot (WB) | WB : 1:1000-1:8000 |
| Immunohistochemistry (IHC) | IHC : 1:500-1:2000 |
| Immunofluorescence (IF)/ICC | IF/ICC : 1:200-1:800 |
| It is recommended that this reagent should be titrated in each testing system to obtain optimal results. | |
| Sample-dependent, Check data in validation data gallery. | |
发表文章中的应用
| KD/KO | See 1 publications below |
| WB | See 1 publications below |
产品信息
28702-1-AP targets METAP1 in WB, IHC, IF/ICC, ELISA applications and shows reactivity with human samples.
| 经测试应用 | WB, IHC, IF/ICC, ELISA Application Description |
| 文献引用应用 | WB |
| 经测试反应性 | human |
| 文献引用反应性 | human |
| 免疫原 |
CatNo: Ag29828 Product name: Recombinant human METAP1 protein Source: e coli.-derived, PET28a Tag: 6*His Domain: 1-167 aa of NM_015143 Sequence: MAAVETRVCETDGCSSEAKLQCPTCIKLGIQGSYFCSQECFKGSWATHKLLHKKAKDEKAKREVSSWTVEGDINTDPWAGYRYTGKLRPHYPLMPTRPVPSYIQRPDYADHPLGMSESEQALKGTSQIKLLSSEDIEGMRLVCRLAREVLDVAAGMIKPGVTTEEID 种属同源性预测 |
| 宿主/亚型 | Rabbit / IgG |
| 抗体类别 | Polyclonal |
| 产品类型 | Antibody |
| 全称 | methionyl aminopeptidase 1 |
| 别名 | Peptidase M 1, MetAP 1, MAP 1, KIAA0094 |
| 计算分子量 | 43 kDa |
| 观测分子量 | 40-43 kDa |
| GenBank蛋白编号 | NM_015143 |
| 基因名称 | METAP1 |
| Gene ID (NCBI) | 23173 |
| RRID | AB_3086080 |
| 偶联类型 | Unconjugated |
| 形式 | Liquid |
| 纯化方式 | Antigen affinity purification |
| UNIPROT ID | P53582 |
| 储存缓冲液 | PBS with 0.02% sodium azide and 50% glycerol, pH 7.3. |
| 储存条件 | Store at -20°C. Stable for one year after shipment. Aliquoting is unnecessary for -20oC storage. |
背景介绍
METAP1 (methionyl aminopeptidase 1), also known as MAP1A or MetAP1A, is expected to be located in cytosol and widely expressed in esophagus and testis. The calculated molecular weight of METAP1 is 43 kDa. METAP1 is expected to have aminopeptidase activity and metallo-exopeptidase activity. It is also involved in platelet aggregation. At the same time, HsMetAP1 participates in co-translation to remove N- terminal methionine from newborn protein. Studies have shown that when HsMetAP1 is knocked down by gene-specific siRNA, cells show slow progress in G(2)/M phase, which is similar to cells treated with MetAP1 inhibitors. Importantly, MetAP1 inhibitors can induce apoptosis of leukemia cell lines, which may be the result of their interference with G(2)/M checkpoint. Therefore, it is necessary for normal cell cycle, especially in G(2)/M phase of cell cycle, and it can be used as a promising target for discovering and developing new anticancer drugs (PMID: 17114291).
实验方案
| Product Specific Protocols | |
|---|---|
| IF protocol for METAP1 antibody 28702-1-AP | Download protocol |
| IHC protocol for METAP1 antibody 28702-1-AP | Download protocol |
| WB protocol for METAP1 antibody 28702-1-AP | Download protocol |
| Standard Protocols | |
|---|---|
| Click here to view our Standard Protocols |



