验证数据展示
经过测试的应用
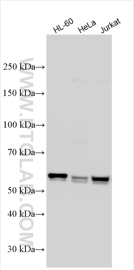
| Positive WB detected in | HL-60 cells, HeLa cells, Jurkat cells, K-562 cells | 
| Positive IP detected in | HeLa cells | 
| Positive IHC detected in | human pancreas cancer tissue, human colon tissue Note: suggested antigen retrieval with TE buffer pH 9.0; (*) Alternatively, antigen retrieval may be performed with citrate buffer pH 6.0  | 
推荐稀释比
| 应用 | 推荐稀释比 | 
|---|---|
| Western Blot (WB) | WB : 1:2000-1:16000 | 
| Immunoprecipitation (IP) | IP : 0.5-4.0 ug for 1.0-3.0 mg of total protein lysate | 
| Immunohistochemistry (IHC) | IHC : 1:100-1:400 | 
| It is recommended that this reagent should be titrated in each testing system to obtain optimal results. | |
| Sample-dependent, Check data in validation data gallery. | |
产品信息
24944-1-AP targets ME2 in WB, IHC, IP, ELISA applications and shows reactivity with human samples.
| 经测试应用 | WB, IP, IHC, ELISA Application Description | 
| 文献引用应用 | WB, IP | 
| 经测试反应性 | human | 
| 文献引用反应性 | human | 
| 免疫原 | 
                                             CatNo: Ag20741 Product name: Recombinant human ME2 protein Source: e coli.-derived, PET30a Tag: 6*His Domain: 136-480 aa of BC000147 Sequence: SISDRGHVRSIVDNWPENHVKAVVVTDGERILGLGDLGVYGMGIPVGKLCLYTACAGIRPDRCLPVCIDVGTDNIALLKDPFYMGLYQKRDRTQQYDDLIDEFMKAITDRYGRNTLIQFEDFGNHNAFRFLRKYREKYCTFNDDIQGTAAVALAGLLAAQKVISKPISEHKILFLGAGEAALGIANLIVMSMVENGLSEQEAQKKIWMFDKYGLLVKGRKAKIDSYQEPFTHSAPESIPDTFEDAVNILKPSTIIGVAGAGRLFTPDVIRAMASINERPVIFALSNPTAQAECTAEEAYTLTEGRCLFASGSPFGPVKLTDGRVFTPGQGNNVYIFPGYRIPIC 种属同源性预测 | 
                                    
| 宿主/亚型 | Rabbit / IgG | 
| 抗体类别 | Polyclonal | 
| 产品类型 | Antibody | 
| 全称 | malic enzyme 2, NAD(+)-dependent, mitochondrial | 
| 别名 | Malic enzyme 2, ME2, NAD ME | 
| 计算分子量 | 65 kDa | 
| 观测分子量 | 54 kDa, 65 kDa | 
| GenBank蛋白编号 | BC000147 | 
| 基因名称 | ME2 | 
| Gene ID (NCBI) | 4200 | 
| RRID | AB_2879813 | 
| 偶联类型 | Unconjugated | 
| 形式 | Liquid | 
| 纯化方式 | Antigen affinity purification | 
| UNIPROT ID | P23368 | 
| 储存缓冲液 | PBS with 0.02% sodium azide and 50% glycerol, pH 7.3. | 
| 储存条件 | Store at -20°C. Stable for one year after shipment. Aliquoting is unnecessary for -20oC storage. | 
背景介绍
ME2(malic enzyme 2) is also named as NAD-ME and belongs to the malic enzymes family. ME1, ME2 are important for NADPH production, lipogenesis and glutamine metabolism, but ME2 has a more profound effect. ME2 is a genome-coded mitochondrial enzyme that converts malate to pyruvate and is involved in neuronal synthesis of the neurotransmitter γ-aminobutyric acid (GABA)(PMID:15532013). This protein has 2 isoforms produced by alternative splicing with the MW of 65 kDa and 54 kDa.
实验方案
| Product Specific Protocols | |
|---|---|
| IHC protocol for ME2 antibody 24944-1-AP | Download protocol | 
| IP protocol for ME2 antibody 24944-1-AP | Download protocol | 
| WB protocol for ME2 antibody 24944-1-AP | Download protocol | 
| Standard Protocols | |
|---|---|
| Click here to view our Standard Protocols | 
发表文章
| Species | Application | Title | 
|---|---|---|
Adv Sci (Weinh) SUCLG2 Regulates Mitochondrial Dysfunction through Succinylation in Lung Adenocarcinoma | ||
Cell Res cMyc-mediated activation of serine biosynthesis pathway is critical for cancer progression under nutrient deprivation conditions. | ||
Cell Death Differ SIRT5-mediated ME2 desuccinylation promotes cancer growth by enhancing mitochondrial respiration
  | ||
Nat Commun AKT1 phosphorylation of cytoplasmic ME2 induces a metabolic switch to glycolysis for tumorigenesis | ||
Metabolites Differential Inhibition of Anaplerotic Pyruvate Carboxylation and Glutaminolysis-Fueled Anabolism Underlies Distinct Toxicity of Selenium Agents in Human Lung Cancer | ||
Cell Oncol (Dordr) Sirtuin 3-mediated delactylation of malic enzyme 2 disrupts redox balance and inhibits colorectal cancer growth | 











