IHCeasy® ME2 Ready-To-Use IHC Kit
ME2 Ready-to-use reagent kit for IHC.
Reactivity
Human, Mouse, Rat
Sample Type
FFPE tissue
Cat no : KHC3199
Synonyms
EC:1.1.1.38, Malic enzyme 2, NAD-dependent malic enzyme, mitochondrial, NAD-ME
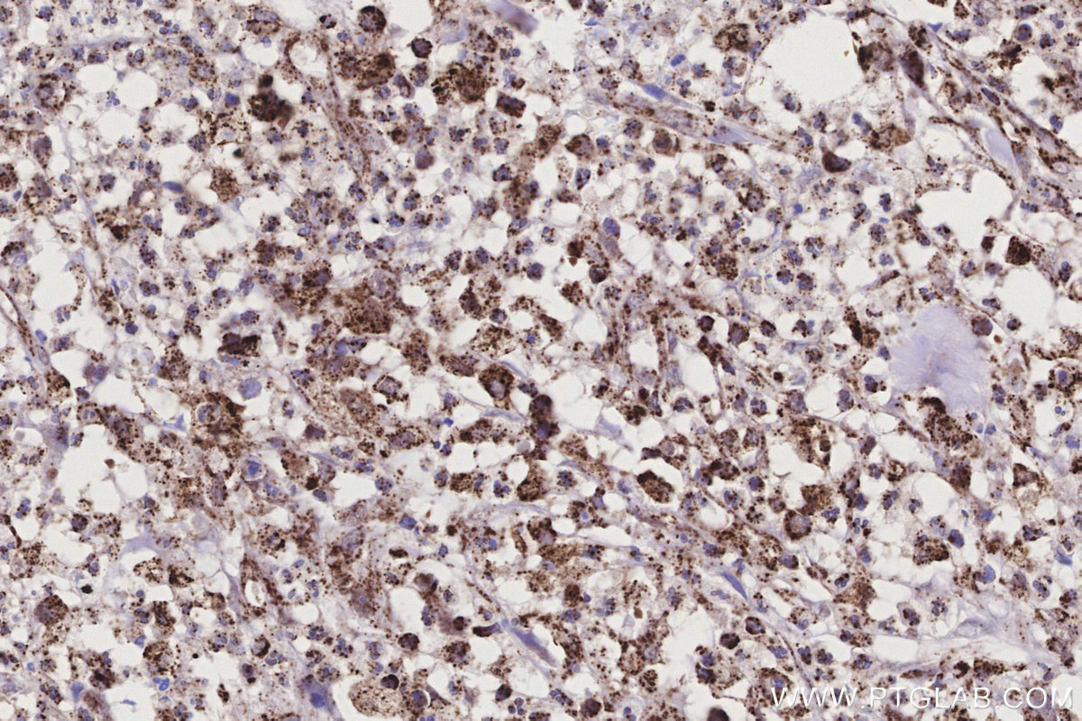
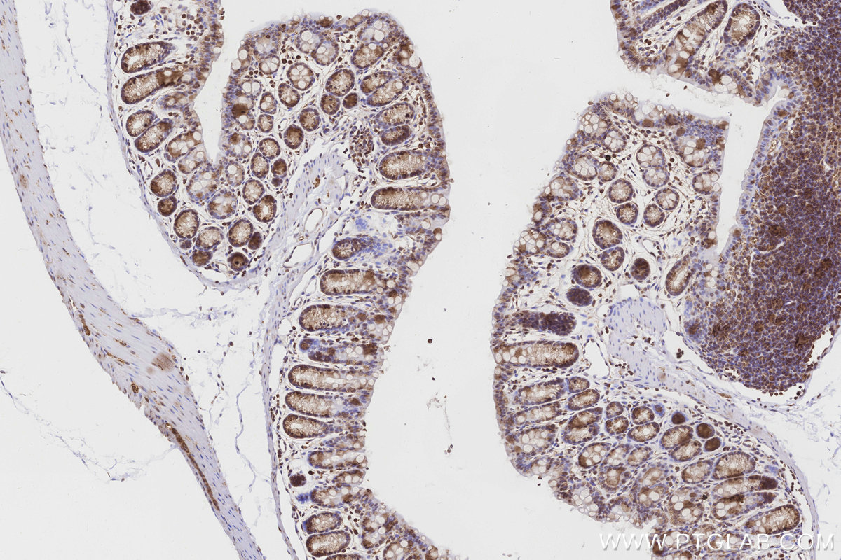
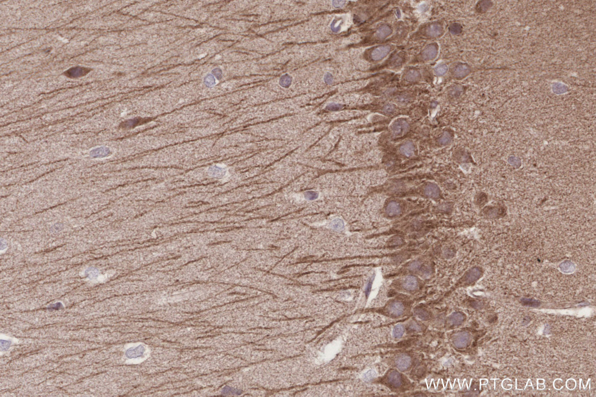
Validation Data Gallery
Product Information
KHC3199 is a ready-to-use IHC kit for staining of ME2. The kit provides all reagents, from antigen retrieval to cover slip mounting, that require little to no diluting or handling prior to use. Simply apply the reagents to your sample slide according to the protocol and you're steps away from obtaining high-quality IHC data.
| Product name | IHCeasy® ME2 Ready-To-Use IHC Kit |
| Sample type | FFPE tissue |
| Assay type | Immunohistochemistry |
| Primary antibody type | Rabbit Polyclonal |
| Secondary antibody type | Polymer-HRP-Goat anti-Rabbit |
| Reactivity | Human, Mouse, Rat |
Kit components
| Component | Size | Concentration |
|---|---|---|
| Antigen Retrieval Buffer | 100 mL | 50× |
| Washing Buffer | 100 mL ×2 | 20× |
| Blocking Buffer | 5 mL | RTU |
| Primary Antibody | 5 mL | RTU |
| Secondary Antibody | 5 mL | RTU |
| Chromogen Component A | 0.2 mL | RTU |
| Chromogen Component B | 4 mL | RTU |
| Signal Enhancer | 5 mL | RTU |
| Counter Staining Reagent | 5 mL | RTU |
| Mounting Media | 5 mL | RTU |
| Datasheet | 1 Copy | |
| Manual | 1 Copy |
Background Information
ME2(malic enzyme 2) is also named as NAD-ME and belongs to the malic enzymes family. ME1, ME2 are important for NADPH production, lipogenesis and glutamine metabolism, but ME2 has a more profound effect. ME2 is a genome-coded mitochondrial enzyme that converts malate to pyruvate and is involved in neuronal synthesis of the neurotransmitter γ-aminobutyric acid (GABA).
Properties
| Storage Instructions | All the reagents are stored at 2-8°C. The kit is stable for 6 months from the date of receipt. |
| Synonyms | EC:1.1.1.38, Malic enzyme 2, NAD-dependent malic enzyme, mitochondrial, NAD-ME |





