验证数据展示
经过测试的应用
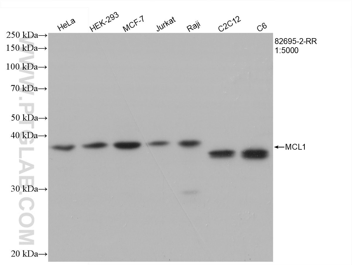
| Positive WB detected in | HeLa cells, HEK-293 cells, MCF-7 cells, Jurkat cells, Raji cells, C2C12 cells, C6 cells |
| Positive IHC detected in | human ovarian cancer, human intrahepatic cholangiocarcinoma tissue Note: suggested antigen retrieval with TE buffer pH 9.0; (*) Alternatively, antigen retrieval may be performed with citrate buffer pH 6.0 |
| Positive IF/ICC detected in | MCF-7 cells |
推荐稀释比
| 应用 | 推荐稀释比 |
|---|---|
| Western Blot (WB) | WB : 1:2000-1:10000 |
| Immunohistochemistry (IHC) | IHC : 1:50-1:500 |
| Immunofluorescence (IF)/ICC | IF/ICC : 1:50-1:500 |
| It is recommended that this reagent should be titrated in each testing system to obtain optimal results. | |
| Sample-dependent, Check data in validation data gallery. | |
产品信息
82695-2-RR targets MCL1 in WB, IHC, IF/ICC, ELISA applications and shows reactivity with human, mouse, rat samples.
| 经测试应用 | WB, IHC, IF/ICC, ELISA Application Description |
| 经测试反应性 | human, mouse, rat |
| 免疫原 |
CatNo: Ag10397 Product name: Recombinant human MCL1 protein Source: e coli.-derived, PGEX-4T Tag: GST Domain: 1-327 aa of BC107735 Sequence: MFGLKRNAVIGLNLYCGGAGLGAGSGGATRPGGRLLATEKEASARREIGGGEAGAVIGGSAGASPPSTLTPDSRRVARPPPIGAEVPDVTATPARLLFFAPTRRAAPLEEMEAPAADAIMSPEEELDGYEPEPLGKRPAVLPLLELVGESGNNTSTDGSLPSTPPPAEEEEDELYRQSLEIISRYLREQATGAKDTKPMGRSGATSRKALETLRRVGDGVQRNHETAFQGMLRKLDIKNEDDVKSLSRVMIHVFSDGVTNWGRIVTLISFGAFVAKHLKTINQESCIEPLAESITDVLVRTKRDWLVKQRGWDGFVEFFHVEDLEGG 种属同源性预测 |
| 宿主/亚型 | Rabbit / IgG |
| 抗体类别 | Recombinant |
| 产品类型 | Antibody |
| 全称 | myeloid cell leukemia sequence 1 (BCL2-related) |
| 别名 | 1C7, Bcl2-L-3, Bcl-2-like protein 3, Bcl-2-related protein EAT/mcl1, EAT |
| 计算分子量 | 350 aa, 37 kDa |
| 观测分子量 | 40 kDa |
| GenBank蛋白编号 | BC107735 |
| 基因名称 | MCL1 |
| Gene ID (NCBI) | 4170 |
| RRID | AB_3086508 |
| 偶联类型 | Unconjugated |
| 形式 | Liquid |
| 纯化方式 | Protein A purification |
| UNIPROT ID | Q07820 |
| 储存缓冲液 | PBS with 0.02% sodium azide and 50% glycerol, pH 7.3. |
| 储存条件 | Store at -20°C. Stable for one year after shipment. Aliquoting is unnecessary for -20oC storage. |
背景介绍
MCL-1 is an anti-apoptotic member of the Bcl-2 family originally isolated from the ML-1 human myeloid leukemia cell line. Similar to BCL2 and BCL2L1, MCL1 can interact with BAX and/or BAK1 to inhibit mitochondria-mediated apoptosis. Mcl-1 is critical for the proliferation and survival of myeloma cells in vitro, and overexpression of Mcl-1 protein in myeloma cells is associated with relapse and short event-free survival in multiple myeloma patients. Recent studies show that MCL-1 is upregulated in numerous haematological and solid tumour malignancies. Therefore, MCL-1 has been suggested as a potential new therapeutic target. MCL-1 can be alternatively spliced into a long form (MCL-1L, 40 kDa) or a short form (MCL-1S, 30 kDa). (PMID: 15467463, PMID: 15147382)
实验方案
| Product Specific Protocols | |
|---|---|
| IF protocol for MCL1 antibody 82695-2-RR | Download protocol |
| IHC protocol for MCL1 antibody 82695-2-RR | Download protocol |
| WB protocol for MCL1 antibody 82695-2-RR | Download protocol |
| Standard Protocols | |
|---|---|
| Click here to view our Standard Protocols |






