IHCeasy® MCL1 Ready-To-Use IHC Kit
MCL1 Ready-to-use reagent kit for IHC.
Reactivity
Human
Sample Type
FFPE tissue
Cat no : KHC0434
Synonyms
EAT, Mcl 1, Mcl 1l, Mcl 1s Delta TM, MCL1, mcl1/EAT, MCL1L, MCL1S, TM
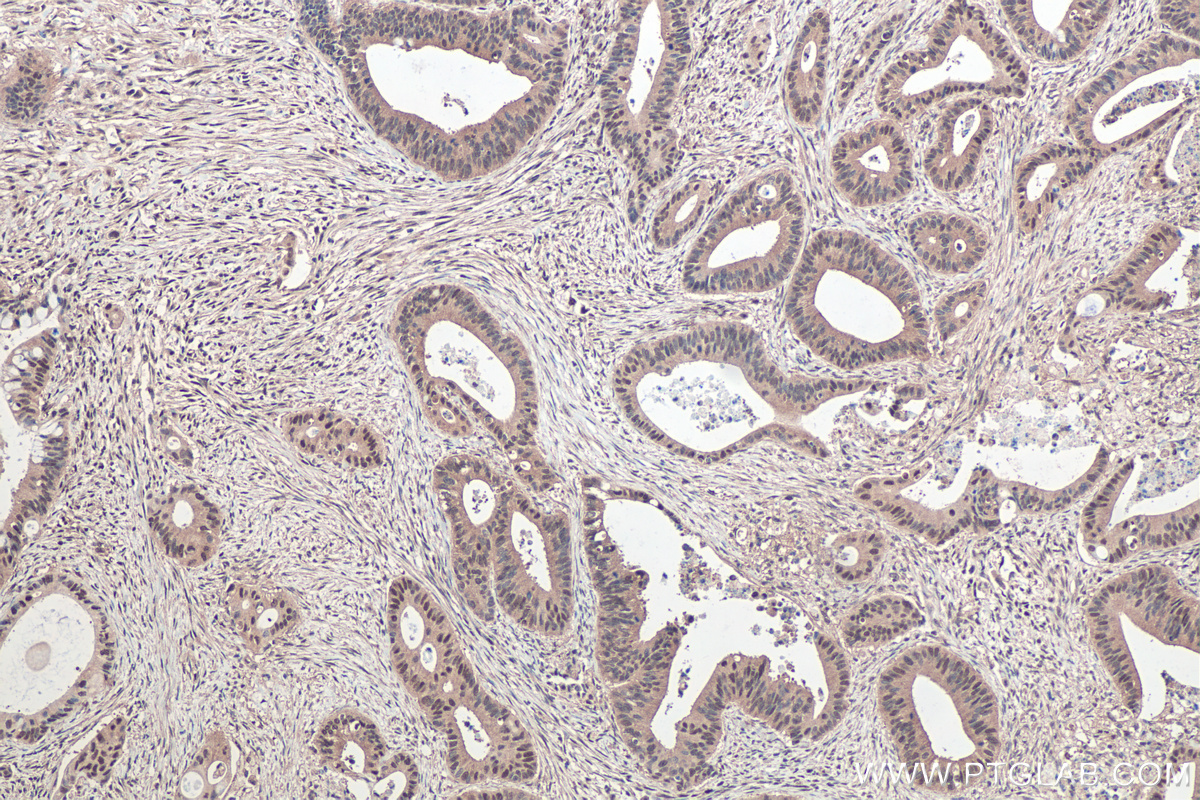
Validation Data Gallery
Product Information
KHC0434 is a ready-to-use IHC kit for staining of MCL1. The kit provides all reagents, from antigen retrieval to cover slip mounting, that require little to no diluting or handling prior to use. Simply apply the reagents to your sample slide according to the protocol and you're steps away from obtaining high-quality IHC data.
| Product name | IHCeasy MCL1 Ready-To-Use IHC Kit |
| Sample type | FFPE tissue |
| Assay type | Immunohistochemistry |
| Primary antibody type | Mouse Monoclonal |
| Secondary antibody type | Polymer-HRP-Goat anti-Mouse |
| Reactivity | Human |
Kit components
| Component | Size | Concentration |
|---|---|---|
| Antigen Retrieval Buffer | 100 mL | 50× |
| Washing Buffer | 100 mL ×2 | 20× |
| Blocking Buffer | 5 mL | RTU |
| Primary Antibody | 5 mL | RTU |
| Secondary Antibody | 5 mL | RTU |
| Chromogen Component A | 0.2 mL | RTU |
| Chromogen Component B | 4 mL | RTU |
| Signal Enhancer | 5 mL | RTU |
| Counter Staining Reagent | 5 mL | RTU |
| Mounting Media | 5 mL | RTU |
| Datasheet | 1 Copy | |
| Manual | 1 Copy |
Background Information
MCL-1 is an anti-apoptotic member of the Bcl-2 family originally isolated from the ML-1 human myeloid leukemia cell line. Similar to BCL2 and BCL2L1, MCL1 can interact with BAX and/or BAK1 to inhibit mitochondria-mediated apoptosis. Mcl-1 is critical for the proliferation and survival of myeloma cells in vitro, and overexpression of Mcl-1 protein in myeloma cells is associated with relapse and short event-free survival in multiple myeloma patients. Recent studies show that MCL-1 is upregulated in numerous haematological and solid tumour malignancies. Therefore, MCL-1 has been suggested as a potential new therapeutic target.
Properties
| Storage Instructions | All the reagents are stored at 2-8°C. The kit is stable for 6 months from the date of receipt. |
| Synonyms | EAT, Mcl 1, Mcl 1l, Mcl 1s Delta TM, MCL1, mcl1/EAT, MCL1L, MCL1S, TM |




