验证数据展示
经过测试的应用
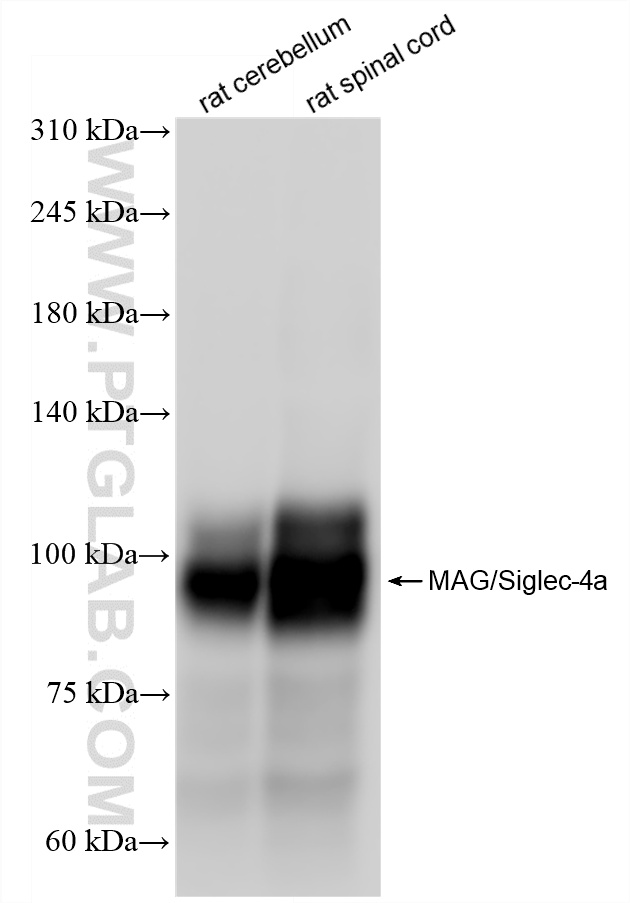
| Positive WB detected in | rat brain tissue, mouse brain tissue, unboiled rat brain tissue, rat cerebellum tissue, rat spinal cord tissue |
| Positive IHC detected in | mouse brain tissue, rat brain tissue Note: suggested antigen retrieval with TE buffer pH 9.0; (*) Alternatively, antigen retrieval may be performed with citrate buffer pH 6.0 |
| Positive IF-P detected in | rat brain tissue |
推荐稀释比
| 应用 | 推荐稀释比 |
|---|---|
| Western Blot (WB) | WB : 1:5000-1:50000 |
| Immunohistochemistry (IHC) | IHC : 1:250-1:1000 |
| Immunofluorescence (IF)-P | IF-P : 1:50-1:500 |
| It is recommended that this reagent should be titrated in each testing system to obtain optimal results. | |
| Sample-dependent, Check data in validation data gallery. | |
产品信息
86073-3-RR targets MAG/Siglec-4a in WB, IHC, IF-P, ELISA applications and shows reactivity with mouse, rat samples.
| 经测试应用 | WB, IHC, IF-P, ELISA Application Description |
| 经测试反应性 | mouse, rat |
| 免疫原 |
CatNo: Eg3251 Product name: Recombinant Rat MAG protein (rFc Tag) Source: mammalian cells-derived, pHZ-KIsec-C-rFc Tag: C-rFc Domain: 20-516 aa of NM_017190.4 Sequence: GHWGAWMPSSISAFEGTCVSIPCRFDFPDELRPAVVHGVWYFNSPYPKNYPPVVFKSRTQVVHESFQGRSRLLGDLGLRNCTLLLSTLSPELGGKYYFRGDLGGYNQYTFSEHSVLDIINTPNIVVPPEVVAGTEVEVSCMVPDNCPELRPELSWLGHEGLGEPTVLGRLREDEGTWVQVSLLHFVPTREANGHRLGCQAAFPNTTLQFEGYASLDVKYPPVIVEMNSSVEAIEGSHVSLLCGADSNPPPLLTWMRDGMVLREAVAESLYLDLEEVTPAEDGIYACLAENAYGQDNRTVELSVMYAPWKPTVNGTVVAVEGETVSILCSTQSNPDPILTIFKEKQILATVIYESQLQLELPAVTPEDDGEYWCVAENQYGQRATAFNLSVEFAPIILLESHCAAARDTVQCLCVVKSNPEPSVAFELPSRNVTVNETEREFVYSERSGLLLTSILTLRGQAQAPPRVICTSRNLYGTQSLELPFQGAHRLMWAKIGP 种属同源性预测 |
| 宿主/亚型 | Rabbit / IgG |
| 抗体类别 | Recombinant |
| 产品类型 | Antibody |
| 全称 | myelin-associated glycoprotein |
| 别名 | 1B236, Brain neuron cytoplasmic protein 3, Mag, Myelin-associated glycoprotein, Sialic acid-binding Ig-like lectin 4a |
| 计算分子量 | 69 kDa |
| 观测分子量 | 70-100 kDa |
| GenBank蛋白编号 | NM_017190.4 |
| 基因名称 | Mag |
| Gene ID (NCBI) | 29409 |
| RRID | AB_3744601 |
| 偶联类型 | Unconjugated |
| 形式 | Liquid |
| 纯化方式 | Protein A purification |
| UNIPROT ID | P07722-1 |
| 储存缓冲液 | PBS with 0.02% sodium azide and 50% glycerol, pH 7.3. |
| 储存条件 | Store at -20°C. Stable for one year after shipment. Aliquoting is unnecessary for -20oC storage. |
实验方案
| Product Specific Protocols | |
|---|---|
| IF protocol for MAG/Siglec-4a antibody 86073-3-RR | Download protocol |
| IHC protocol for MAG/Siglec-4a antibody 86073-3-RR | Download protocol |
| WB protocol for MAG/Siglec-4a antibody 86073-3-RR | Download protocol |
| Standard Protocols | |
|---|---|
| Click here to view our Standard Protocols |








