验证数据展示
经过测试的应用
| Positive WB detected in | K-562 cells, mouse placenta tissue, HuH-7 cells, L02 cells, 4T1 cells |
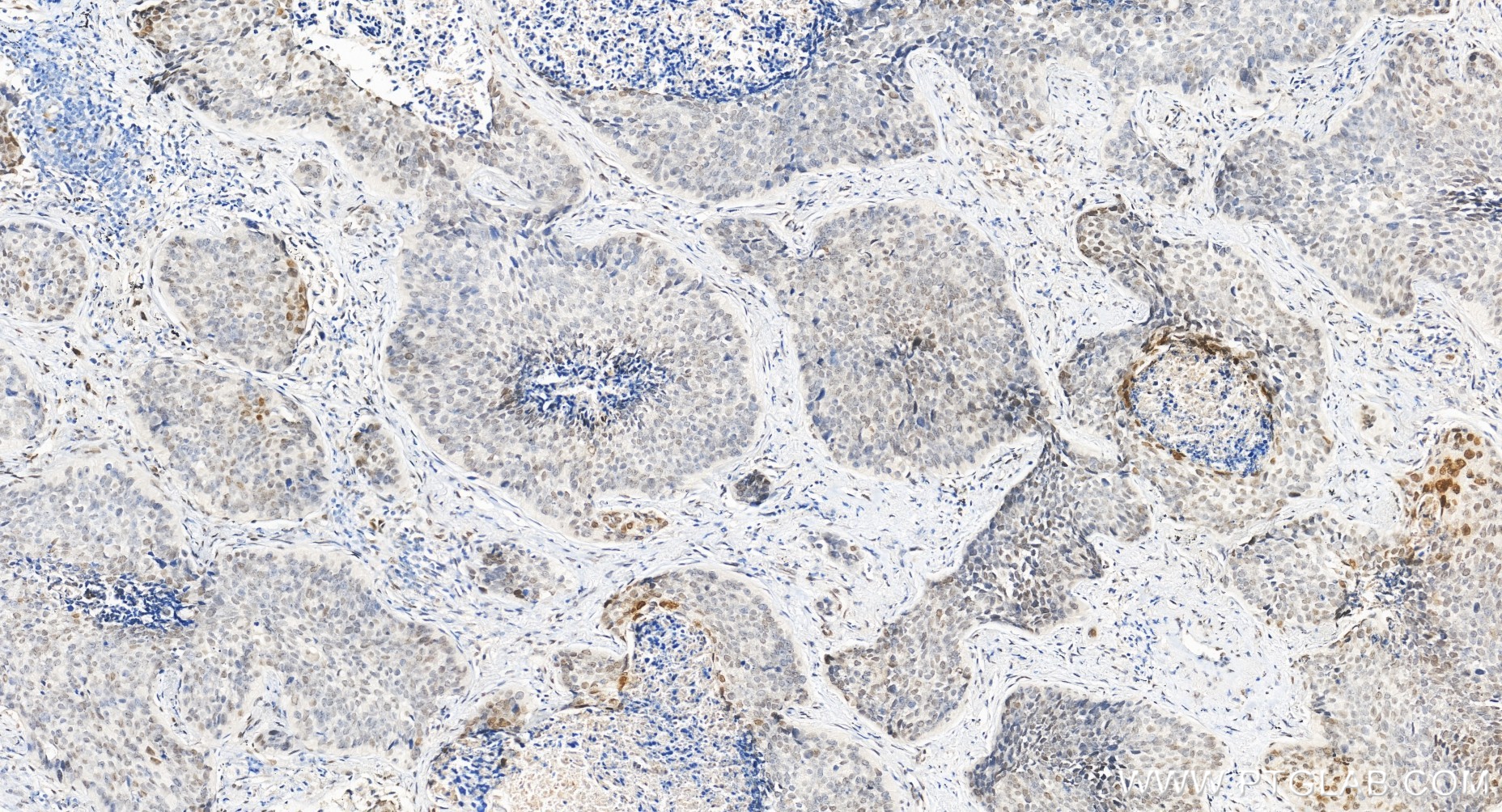
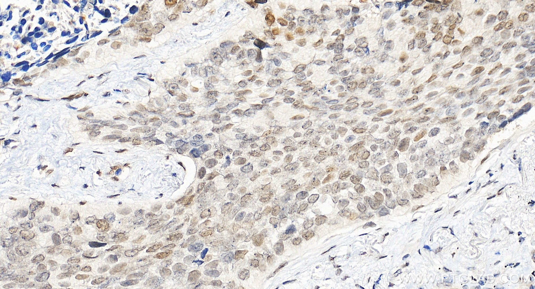
| Positive IHC detected in | human lung cancer tissue, human ovary cancer tissue Note: suggested antigen retrieval with TE buffer pH 9.0; (*) Alternatively, antigen retrieval may be performed with citrate buffer pH 6.0 |
| Positive IF/ICC detected in | U2OS cells |
| Positive ChIP-qPCR detected in | HeLa cells |
推荐稀释比
| 应用 | 推荐稀释比 |
|---|---|
| Western Blot (WB) | WB : 1:500-1:2000 |
| Immunohistochemistry (IHC) | IHC : 1:50-1:500 |
| Immunofluorescence (IF)/ICC | IF/ICC : 1:50-1:500 |
| CHIP-QPCR | CHIP-QPCR : 1:10-1:100 |
| It is recommended that this reagent should be titrated in each testing system to obtain optimal results. | |
| Sample-dependent, Check data in validation data gallery. | |
产品信息
85186-3-RR targets MAFF in WB, IHC, IF/ICC, ELISA, ChIP-qPCR applications and shows reactivity with human, mouse samples.
| 经测试应用 | WB, IHC, IF/ICC, ELISA, ChIP-qPCR Application Description |
| 经测试反应性 | human, mouse |
| 免疫原 |
CatNo: Ag3460 Product name: Recombinant human MAFF protein Source: e coli.-derived, PGEX-4T Tag: GST Domain: 1-164 aa of BC015037 Sequence: MSVDPLSSKALKIKRELSENTPHLSDEALMGLSVRELNRHLRGLSAEEVTRLKQRRRTLKNRGYAASCRVKRVCQKEELQKQKSELEREVDKLARENAAMRLELDALRGKCEALQGFARSVAAARGPATLVAPASVITIVKSTPGSGSGPAHGPDPAHGPASCS 种属同源性预测 |
| 宿主/亚型 | Rabbit / IgG |
| 抗体类别 | Recombinant |
| 产品类型 | Antibody |
| 全称 | v-maf musculoaponeurotic fibrosarcoma oncogene homolog F (avian) |
| 别名 | 242859F9, U MAF, U-Maf, V-maf musculoaponeurotic fibrosarcoma oncogene homolog F |
| 计算分子量 | 17 aa, 8 kDa |
| 观测分子量 | 18-23 kDa |
| GenBank蛋白编号 | BC015037 |
| 基因名称 | MAFF |
| Gene ID (NCBI) | 23764 |
| RRID | AB_3744085 |
| 偶联类型 | Unconjugated |
| 形式 | Liquid |
| 纯化方式 | Protein A purification |
| UNIPROT ID | Q9ULX9 |
| 储存缓冲液 | PBS with 0.02% sodium azide and 50% glycerol, pH 7.3. |
| 储存条件 | Store at -20°C. Stable for one year after shipment. Aliquoting is unnecessary for -20oC storage. |
背景介绍
MAFF encodes a basic region and leucine zipper (bZIP)-type transcription factor protein (PMID: 8361754). MAFF interacts with the upstream promoter region of oxytocin receptor (OXTR) and plays a role in OXTR upregulation (PubMed: 7798245, PubMed:10527846). Mice lacking MAFF, MAFG and MAFK are embryonic lethal (PMID: 22158967). MAFF has a higher expression in adipose, colon, lung, prostate and skeletal muscle tissues (PMID: 24304889).
实验方案
| Product Specific Protocols | |
|---|---|
| IF protocol for MAFF antibody 85186-3-RR | Download protocol |
| IHC protocol for MAFF antibody 85186-3-RR | Download protocol |
| WB protocol for MAFF antibody 85186-3-RR | Download protocol |
| Standard Protocols | |
|---|---|
| Click here to view our Standard Protocols |






