验证数据展示
经过测试的应用
| Positive WB detected in | mouse pancreas tissue |
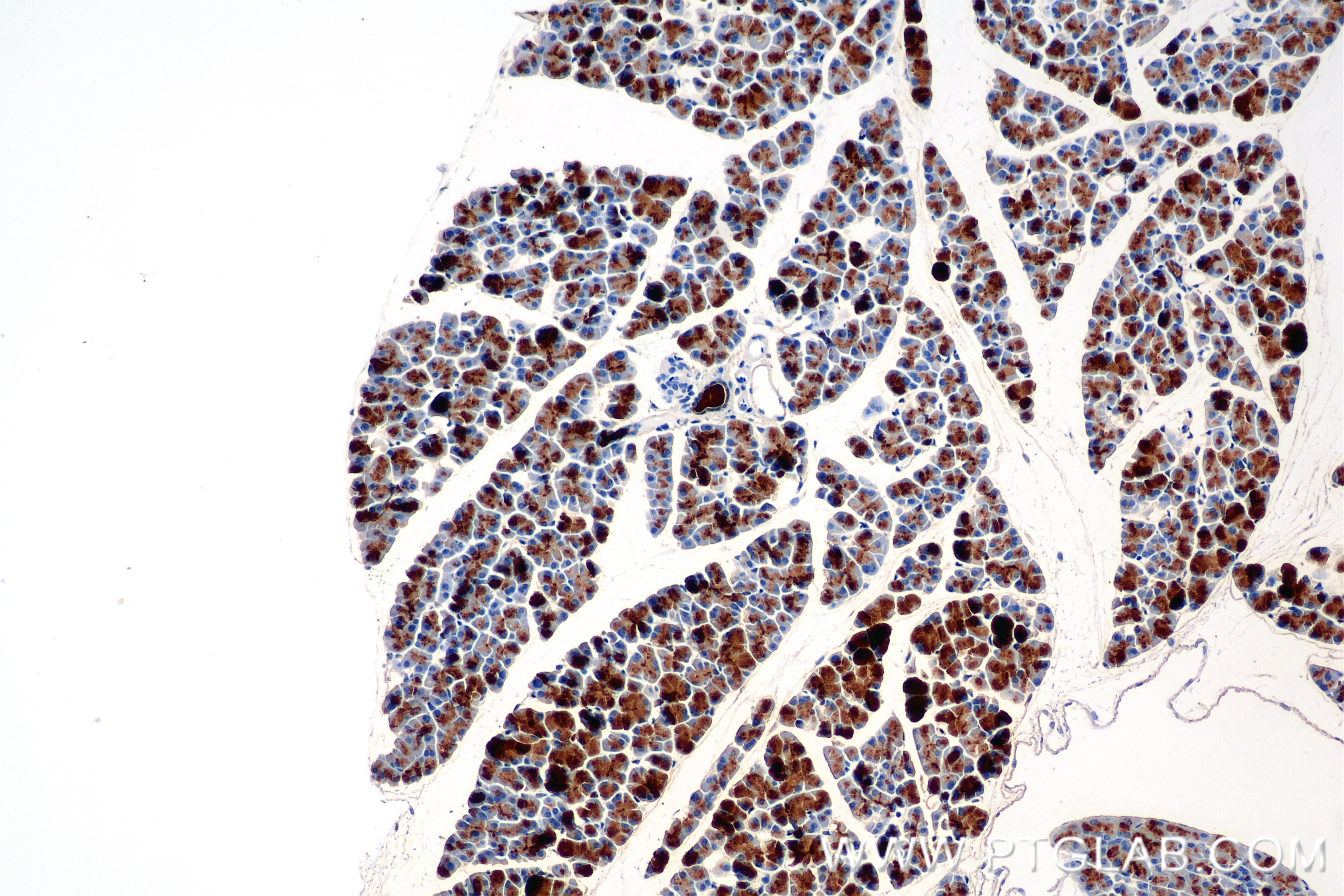
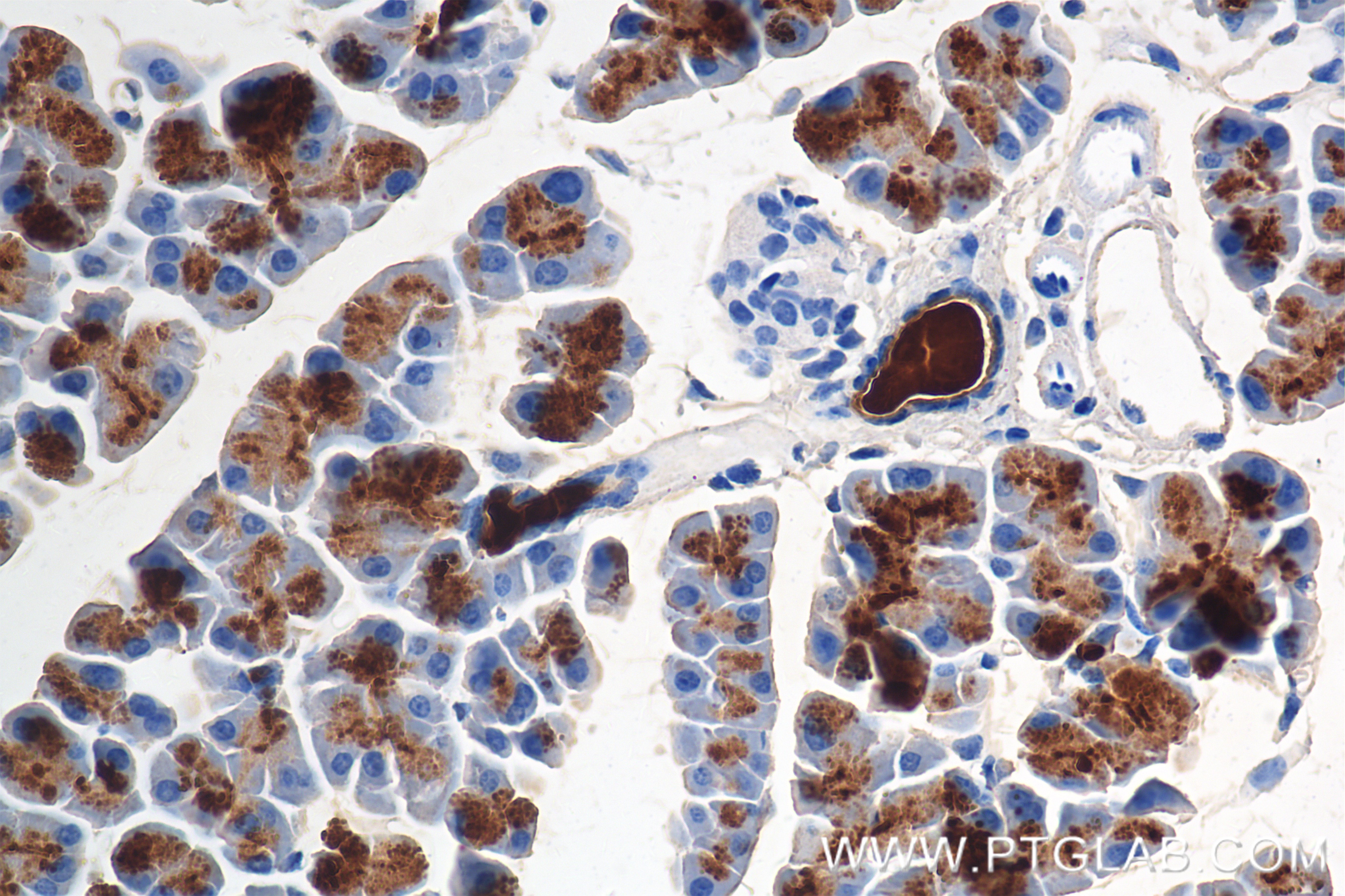
| Positive IHC detected in | mouse pancreas tissue Note: suggested antigen retrieval with TE buffer pH 9.0; (*) Alternatively, antigen retrieval may be performed with citrate buffer pH 6.0 |
| Positive IF-P detected in | mouse pancreas tissue |
推荐稀释比
| 应用 | 推荐稀释比 |
|---|---|
| Western Blot (WB) | WB : 1:2000-1:10000 |
| Immunohistochemistry (IHC) | IHC : 1:500-1:2000 |
| Immunofluorescence (IF)-P | IF-P : 1:50-1:500 |
| It is recommended that this reagent should be titrated in each testing system to obtain optimal results. | |
| Sample-dependent, Check data in validation data gallery. | |
产品信息
86143-1-RR targets Klk1 in WB, IHC, IF-P, ELISA applications and shows reactivity with mouse samples.
| 经测试应用 | WB, IHC, IF-P, ELISA Application Description |
| 经测试反应性 | mouse |
| 免疫原 |
CatNo: Eg2996 Product name: Recombinant Mouse Klk1 protein (rFc Tag) Source: mammalian cells-derived, V37 Tag: C-rFc Domain: 19-261 aa of NM_001320331.1 Sequence: PPVQSRIVGGFNCEKNSQPWQVAVYRFTKYQCGGILLNANWVLTAAHCHNDKYQVWLGKNNFLEDEPSAQHRLVSKAIPHPDFNMSLLNEHTPQPEDDYSNDLMLLRLKKPADITDVVKPIDLPTEEPKLGSTCLASGWGSITPVKYEYPDELQCVNLKLLPNEDCAKAHIEKVTDDMLCAGDMDGGKDTCAGDSGGPLICDGVLQGITSWGPSPCGKPNVPGIYTRVLNFNTWIRETMAEND 种属同源性预测 |
| 宿主/亚型 | Rabbit / IgG |
| 抗体类别 | Recombinant |
| 产品类型 | Antibody |
| 全称 | kallikrein 1 |
| 别名 | Kallikrein 1, EC:3.4.21.35, Glandular kallikrein K1, KAL-B, Kallikrein-1 |
| 计算分子量 | 29 kDa |
| 观测分子量 | 28-34 kDa |
| GenBank蛋白编号 | NM_001320331.1 |
| 基因名称 | Klk1 |
| Gene ID (NCBI) | 16612 |
| RRID | AB_3744658 |
| 偶联类型 | Unconjugated |
| 形式 | Liquid |
| 纯化方式 | Protein A purification |
| UNIPROT ID | P15947 |
| 储存缓冲液 | PBS with 0.02% sodium azide and 50% glycerol, pH 7.3. |
| 储存条件 | Store at -20°C. Stable for one year after shipment. Aliquoting is unnecessary for -20oC storage. |
背景介绍
Mouse KLK1 (Kallikrein-Related Peptidase 1) is a serine protease belonging to the kallikrein family with important physiological functions. KLK1 can cleave the Met-Lys and Arg-Ser bonds in kininogen to release Lys-bradykinin. Bradykinin plays an important role in regulating vasodilation, lowering blood pressure, smooth muscle relaxation and contraction, pain induction and inflammatory response.
实验方案
| Product Specific Protocols | |
|---|---|
| IF protocol for Klk1 antibody 86143-1-RR | Download protocol |
| IHC protocol for Klk1 antibody 86143-1-RR | Download protocol |
| WB protocol for Klk1 antibody 86143-1-RR | Download protocol |
| Standard Protocols | |
|---|---|
| Click here to view our Standard Protocols |




