验证数据展示
经过测试的应用
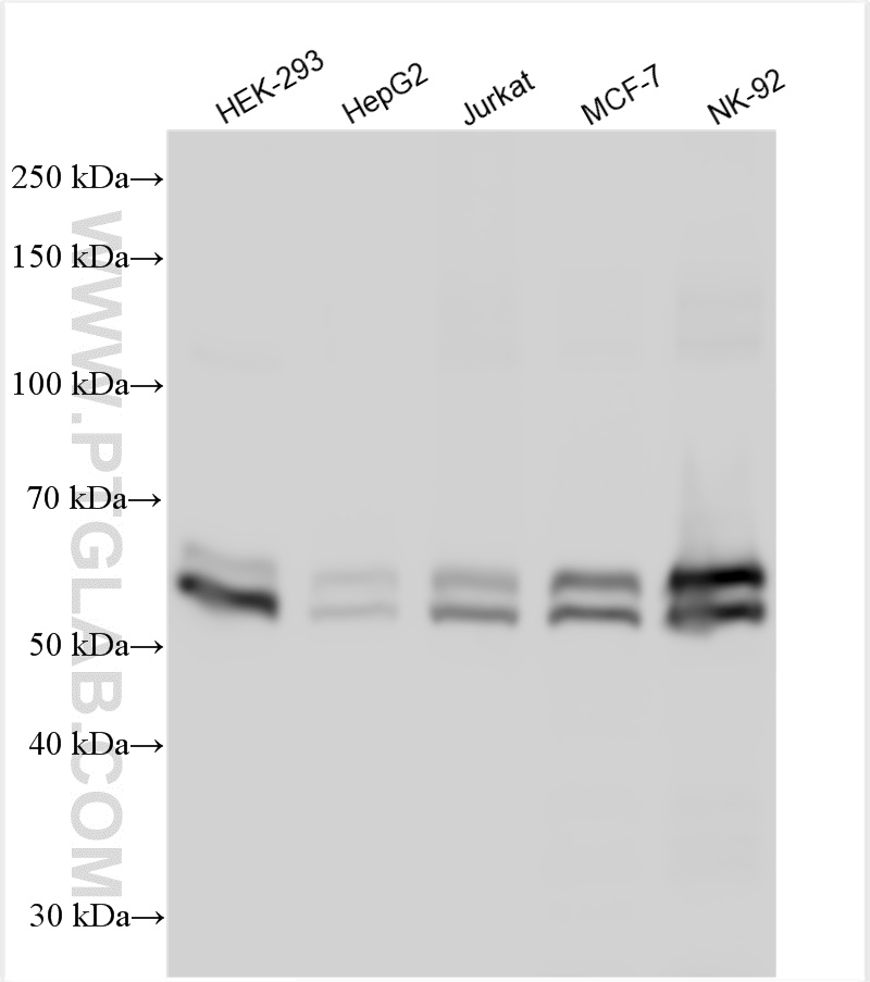
| Positive WB detected in | HEK-293 cells, HepG2 cells, Jurkat cells, MCF-7 cells, NK-92 cells |
推荐稀释比
| 应用 | 推荐稀释比 |
|---|---|
| Western Blot (WB) | WB : 1:5000-1:50000 |
| It is recommended that this reagent should be titrated in each testing system to obtain optimal results. | |
| Sample-dependent, Check data in validation data gallery. | |
发表文章中的应用
| WB | See 1 publications below |
产品信息
30041-1-AP targets KEAP1 in WB, ELISA applications and shows reactivity with Human samples.
| 经测试应用 | WB, ELISA Application Description |
| 文献引用应用 | WB |
| 经测试反应性 | Human |
| 文献引用反应性 | rat |
| 免疫原 |
CatNo: Ag32512 Product name: Recombinant human KEAP1 protein Source: e coli.-derived, PGEX-4T Tag: GST Domain: 480-624 aa of BC002930 Sequence: GTNRLNSAECYYPERNEWRMITAMNTIRSGAGVCVLHNCIYAAGGYDGQDQLNSVERYDVETETWTFVAPMKHRRSALGITVHQGRIYVLGGYDGHTFLDSVECYDPDTDTWSEVTRMTSGRSGVGVAVTMEPCRKQIDQQNCTC 种属同源性预测 |
| 宿主/亚型 | Rabbit / IgG |
| 抗体类别 | Polyclonal |
| 产品类型 | Antibody |
| 全称 | kelch-like ECH-associated protein 1 |
| 别名 | Cytosolic inhibitor of Nrf2, INrf2, KEAP1, Kelch like protein 19, KIAA0132, KLHL19 |
| 计算分子量 | 624 aa, 70 kDa |
| 观测分子量 | 55-70 kDa |
| GenBank蛋白编号 | BC002930 |
| 基因名称 | KEAP1 |
| Gene ID (NCBI) | 9817 |
| RRID | AB_2935506 |
| 偶联类型 | Unconjugated |
| 形式 | Liquid |
| 纯化方式 | Antigen affinity purification |
| UNIPROT ID | Q14145 |
| 储存缓冲液 | PBS with 0.02% sodium azide and 50% glycerol, pH 7.3. |
| 储存条件 | Store at -20°C. Stable for one year after shipment. Aliquoting is unnecessary for -20oC storage. |
背景介绍
KEAP1, also named as INRF2, KIAA0132 and KLHL19, is part of a multiprotein complex that contains the CUL3-ROC1 ubiquitin ligase, which can ubiquitinate the N-terminal domain of NRF2[PMID: 20173742]. Two molecules of KEAP1 bind to two distinct sites in the N-terminal region of NRF2, the ETGE and DLG sites, which affect the KEAP1-NRF2 interaction and/or its physiological consequences[PMID: 22215675]. KEAP1 retains NFE2L2/NRF2 in the cytosol. It functions as substrate adapter protein for the E3 ubiquitin ligase complex formed by CUL3 and RBX1[PMID: 20427290]. It also retains BPTF in the cytosol. This antibody is a rabbit polyclonal antibody raised against residues near the C terminus of human KEAP1.
实验方案
| Product Specific Protocols | |
|---|---|
| WB protocol for KEAP1 antibody 30041-1-AP | Download protocol |
| Standard Protocols | |
|---|---|
| Click here to view our Standard Protocols |
