IHCeasy® KEAP1 Ready-To-Use IHC Kit
KEAP1 Ready-to-use reagent kit for IHC.
Reactivity
Human, Mouse, Rat
Sample Type
FFPE tissue
Cat no : KHC1064
Synonyms
Cytosolic inhibitor of Nrf2, INrf2, KEAP1, Kelch like protein 19, KIAA0132, KLHL19
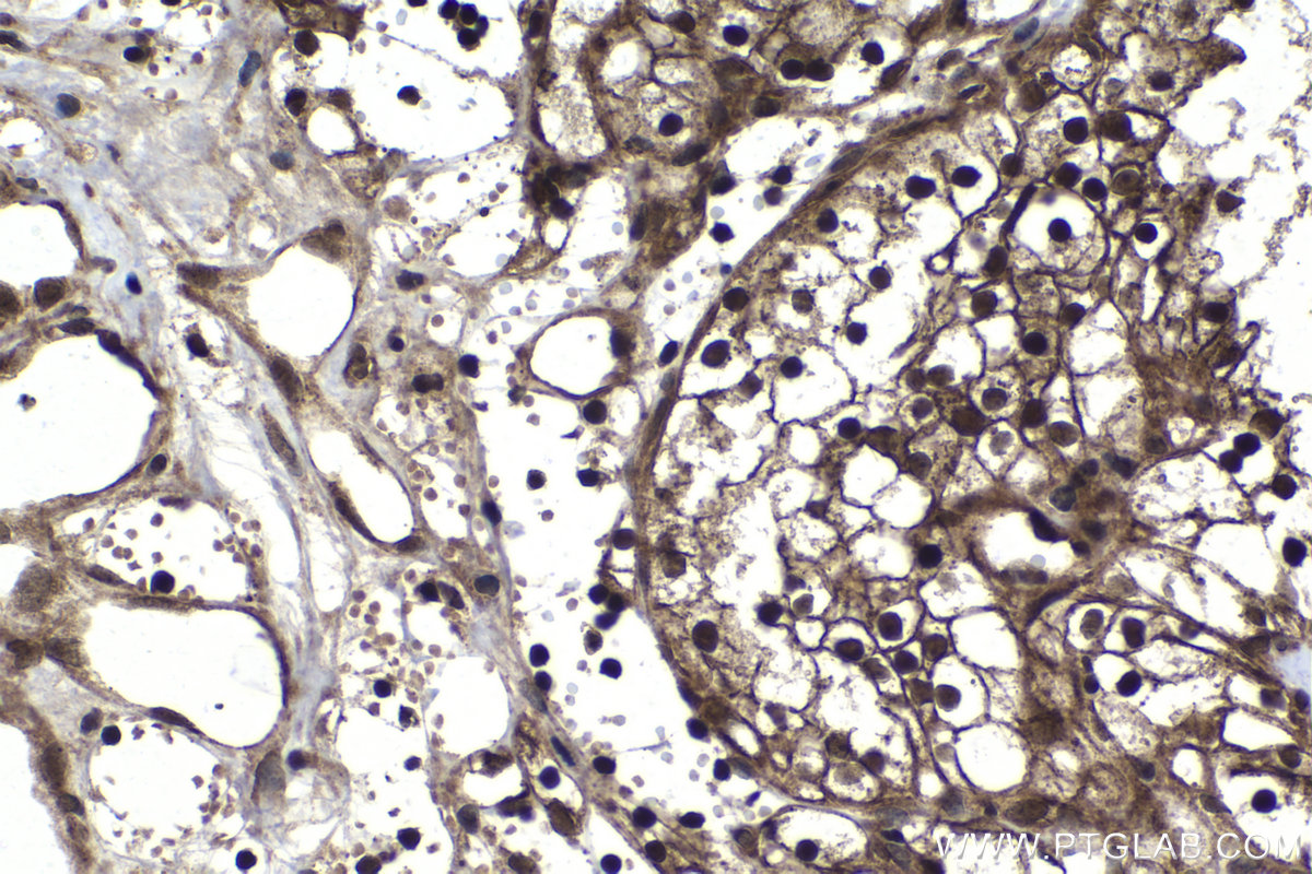
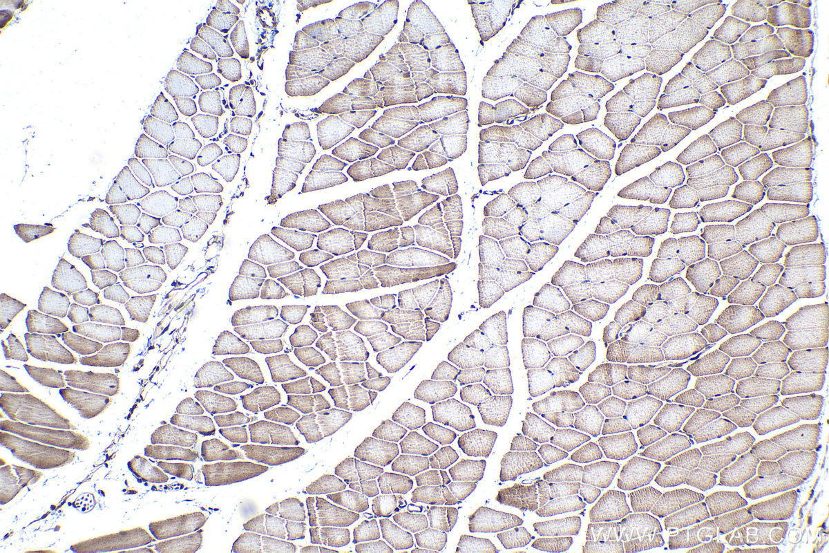
Validation Data Gallery
Product Information
KHC1064 is a ready-to-use IHC kit for staining of KEAP1. The kit provides all reagents, from antigen retrieval to cover slip mounting, that require little to no diluting or handling prior to use. Simply apply the reagents to your sample slide according to the protocol and you're steps away from obtaining high-quality IHC data.
| Product name | IHCeasy KEAP1 Ready-To-Use IHC Kit |
| Sample type | FFPE tissue |
| Assay type | Immunohistochemistry |
| Primary antibody type | Rabbit Polyclonal |
| Secondary antibody type | Polymer-HRP-Goat anti-Rabbit |
| Reactivity | Human, Mouse, Rat |
Kit components
| Component | Size | Concentration |
|---|---|---|
| Antigen Retrieval Buffer | 100 mL | 50× |
| Washing Buffer | 100 mL ×2 | 20× |
| Blocking Buffer | 5 mL | RTU |
| Primary Antibody | 5 mL | RTU |
| Secondary Antibody | 5 mL | RTU |
| Chromogen Component A | 0.2 mL | RTU |
| Chromogen Component B | 4 mL | RTU |
| Signal Enhancer | 5 mL | RTU |
| Counter Staining Reagent | 5 mL | RTU |
| Mounting Media | 5 mL | RTU |
| Datasheet | 1 Copy | |
| Manual | 1 Copy |
Background Information
KEAP1, also named as INRF2, KIAA0132 and KLHL19, is part of a multiprotein complex that contains the CUL3-ROC1 ubiquitin ligase, which can ubiquitinate the N-terminal domain of NRF2. Two molecules of KEAP1 bind to two distinct sites in the N-terminal region of NRF2, the ETGE and DLG sites, which affect the KEAP1-NRF2 interaction and/or its physiological consequences. KEAP1 retains NFE2L2/NRF2 in the cytosol. It functions as substrate adapter protein for the E3 ubiquitin ligase complex formed by CUL3 and RBX1. It also retains BPTF in the cytosol.
Properties
| Storage Instructions | All the reagents are stored at 2-8°C. The kit is stable for 6 months from the date of receipt. |
| Synonyms | Cytosolic inhibitor of Nrf2, INrf2, KEAP1, Kelch like protein 19, KIAA0132, KLHL19 |







