验证数据展示
产品信息
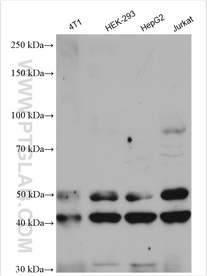
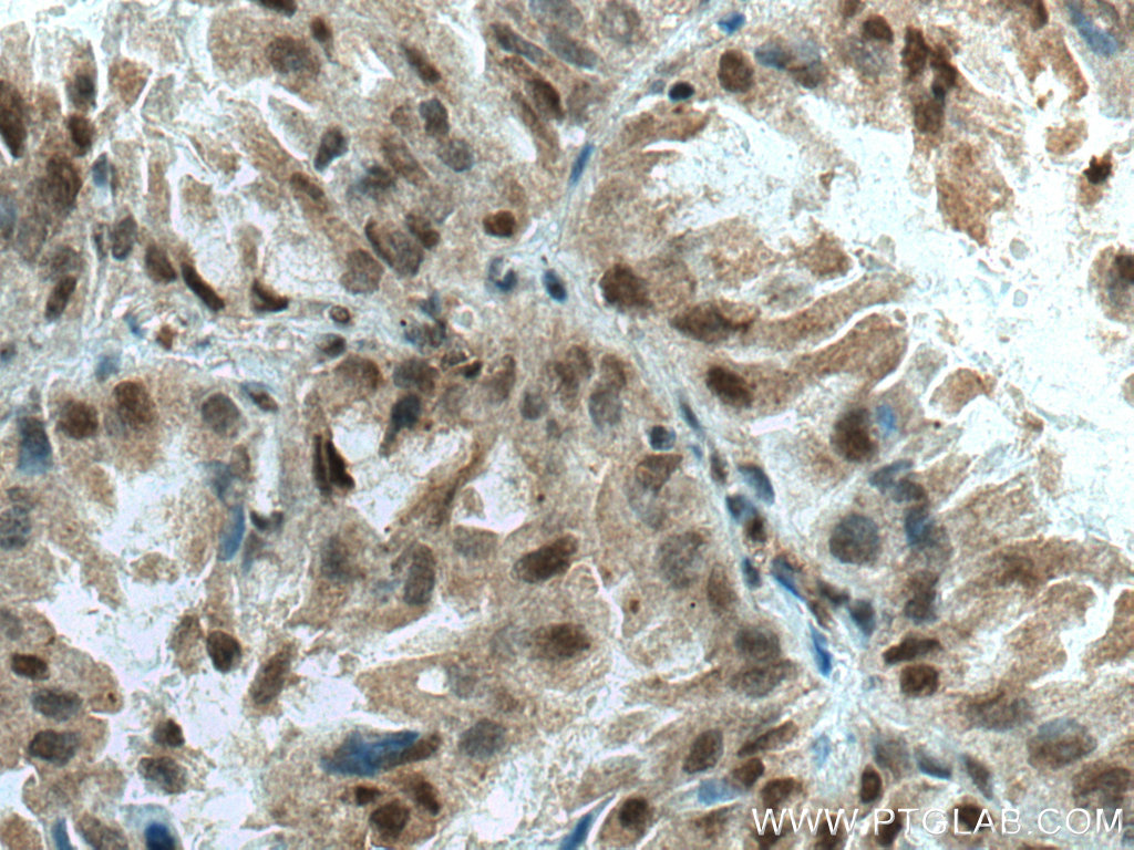
51151-1-PBS targets JNK in WB, IHC, IF/ICC, Indirect ELISA applications and shows reactivity with human, mouse samples.
| 经测试应用 | WB, IHC, IF/ICC, Indirect ELISA Application Description | 
| 经测试反应性 | human, mouse | 
| 免疫原 | Peptide种属同源性预测 | 
| 宿主/亚型 | Rabbit / IgG | 
| 抗体类别 | Polyclonal | 
| 产品类型 | Antibody | 
| 全称 | mitogen-activated protein kinase 8 | 
| 别名 | |
| 计算分子量 | 48 kDa | 
| 观测分子量 | 44-48 kDa, 50-55 kDa | 
| GenBank蛋白编号 | NM_138982 | 
| 基因名称 | JNK | 
| Gene ID (NCBI) | 5599 | 
| RRID | AB_2140710 | 
| 偶联类型 | Unconjugated | 
| 形式 | Liquid | 
| 纯化方式 | Antigen affinity purification | 
| UNIPROT ID | P45983 | 
| 储存缓冲液 | PBS only, pH 7.3. | 
| 储存条件 | Store at -80°C. The product is shipped with ice packs. Upon receipt, store it immediately at -80°C | 
背景介绍
Function
JNK1, also known as mitogen-activated protein kinase 8 - MAPK8, is a serine/threonine-protein kinase. It is an important player in signaling transduction pathways governing cellular response to external stimuli, including ultraviolet radiation (UV), inflammatory cytokines, and reactive oxygen species (ROS). JNK1 phosphorylates several transcription factors, such as c-Jun, Elk-1, and ATF2, affecting their transcription activity.
Tissue specificity
JNK1 is ubiquitously expressed.
Involvement in disease
- JNK-mediated phosphorylation governs a variety of important cellular processes, and abnormalities of JNK1 activity have been implicated in obesity and cancer. 
Isoforms
There are four isoforms of JNK1 (PMID: 8654373), giving rise to 46 kDa and 55 kDa isoforms. JNK1 isoforms differ in their substrate specificity and tissue expression profiles.
Post-translational modifications
JNK1 is phosphorylated by MAPK kinases (MAPKK).
Cellular localization
JNK1 is present both in the nucleus and in the cytoplasm. Stress conditions and other stimuli can cause a shift in JNK1 subcellular distribution.








