IHCeasy® MAPK8/JNK Ready-To-Use IHC Kit
MAPK8/JNK Ready-to-use reagent kit for IHC.
Reactivity
Human, Mouse, Rat
Sample Type
FFPE tissue
Cat no : KHC2267
Synonyms
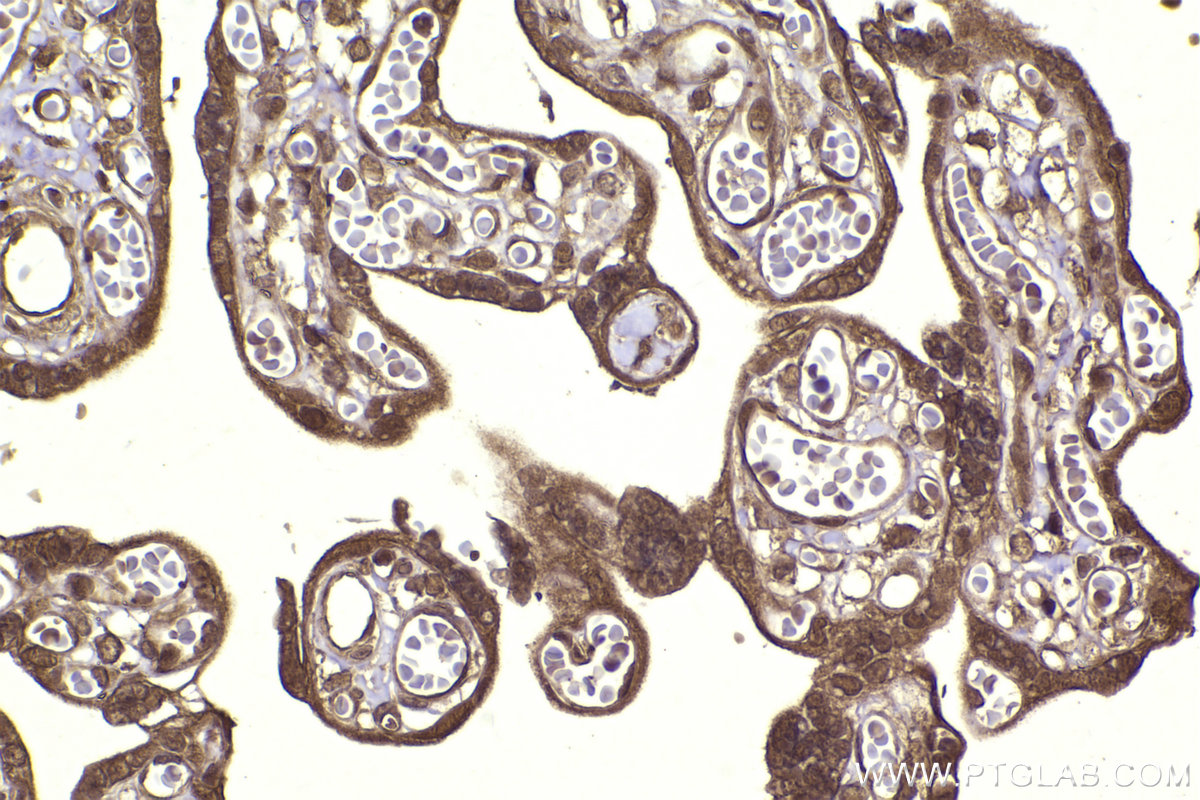
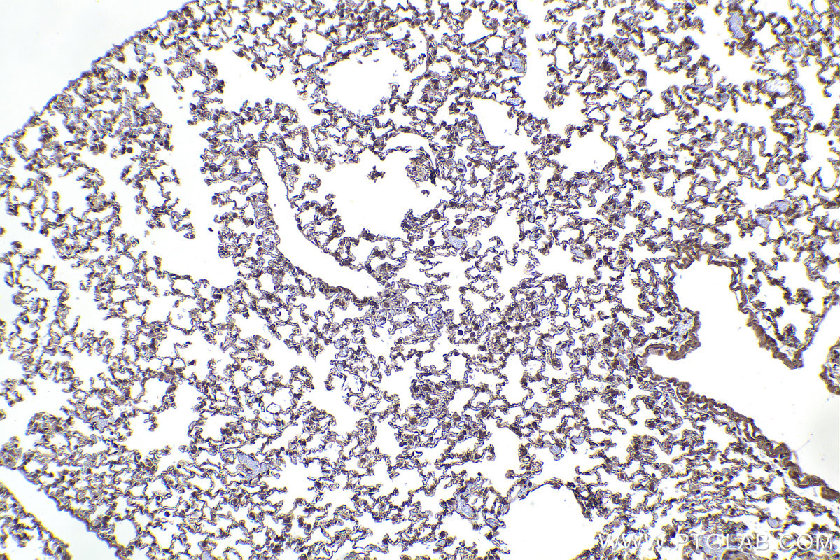
Validation Data Gallery
Product Information
KHC2267 is a ready-to-use IHC kit for staining of MAPK8/JNK. The kit provides all reagents, from antigen retrieval to cover slip mounting, that require little to no diluting or handling prior to use. Simply apply the reagents to your sample slide according to the protocol and you're steps away from obtaining high-quality IHC data.
| Product name | IHCeasy MAPK8/JNK Ready-To-Use IHC Kit |
| Sample type | FFPE tissue |
| Assay type | Immunohistochemistry |
| Primary antibody type | Rabbit Polyclonal |
| Secondary antibody type | Polymer-HRP-Goat anti-Rabbit |
| Reactivity | Human, Mouse, Rat |
Kit components
| Component | Size | Concentration |
|---|---|---|
| Antigen Retrieval Buffer | 100 mL | 50× |
| Washing Buffer | 100 mL ×2 | 20× |
| Blocking Buffer | 5 mL | RTU |
| Primary Antibody | 5 mL | RTU |
| Secondary Antibody | 5 mL | RTU |
| Chromogen Component A | 0.2 mL | RTU |
| Chromogen Component B | 4 mL | RTU |
| Signal Enhancer | 5 mL | RTU |
| Counter Staining Reagent | 5 mL | RTU |
| Mounting Media | 5 mL | RTU |
| Datasheet | 1 Copy | |
| Manual | 1 Copy |
Background Information
MAPK8(Mitogen-activated protein kinase 8) is also named as JNK1, PRKM8, SAPK1, SAPK1C and belongs to the MAP kinase subfamily. MAPK8 is activated by dual phosphorylation at a Thr-Pro-Tyr motif during response to UV light. MAPK8 functions to phosphorylate c-Jun at N-terminal serine regulatory sites of Ser-63 and Ser-73, mapping within the transactivation domain. Phosphorylation of these sites in response to UV results in transcriptional activation of c-Jun. Primary antibody in this kit can recognize JNK1, JNK2 and JNK3.
Properties
| Storage Instructions | All the reagents are stored at 2-8°C. The kit is stable for 6 months from the date of receipt. |
| Synonyms |





