验证数据展示
经过测试的应用
| Positive WB detected in | HEK-293 cells, HepG2 cells, K-562 cells, Jurkat cells |
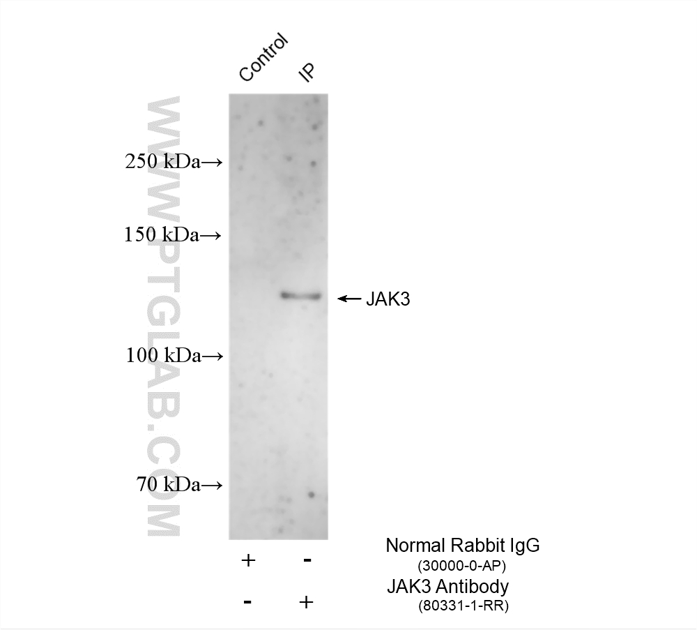
| Positive IP detected in | HEK-293 cells |
| Positive IHC detected in | human lymphoma tissue Note: suggested antigen retrieval with TE buffer pH 9.0; (*) Alternatively, antigen retrieval may be performed with citrate buffer pH 6.0 |
| Positive FC (Intra) detected in | RAW 264.7 cells |
推荐稀释比
| 应用 | 推荐稀释比 |
|---|---|
| Western Blot (WB) | WB : 1:2000-1:5000 |
| Immunoprecipitation (IP) | IP : 0.5-4.0 ug for 1.0-3.0 mg of total protein lysate |
| Immunohistochemistry (IHC) | IHC : 1:50-1:500 |
| Flow Cytometry (FC) (INTRA) | FC (INTRA) : 0.25 ug per 10^6 cells in a 100 µl suspension |
| It is recommended that this reagent should be titrated in each testing system to obtain optimal results. | |
| Sample-dependent, Check data in validation data gallery. | |
发表文章中的应用
| WB | See 6 publications below |
| IHC | See 3 publications below |
产品信息
80331-1-RR targets JAK3 in WB, IHC, IP, ELISA applications and shows reactivity with human samples.
| 经测试应用 | WB, IHC, IP, ELISA Application Description |
| 文献引用应用 | WB, IHC |
| 经测试反应性 | human |
| 文献引用反应性 | human, mouse |
| 免疫原 |
Peptide 种属同源性预测 |
| 宿主/亚型 | Rabbit / IgG |
| 抗体类别 | Recombinant |
| 产品类型 | Antibody |
| 全称 | Janus kinase 3 (a protein tyrosine kinase, leukocyte) |
| 别名 | 3N1, EC:2.7.10.2, JAK 3, JAK-3, JAKL |
| 计算分子量 | 1124 aa, 125 kDa |
| 观测分子量 | 125 kDa |
| GenBank蛋白编号 | BC028068 |
| 基因名称 | JAK3 |
| Gene ID (NCBI) | 3718 |
| RRID | AB_2918888 |
| 偶联类型 | Unconjugated |
| 形式 | Liquid |
| 纯化方式 | Protein A purification |
| UNIPROT ID | P52333 |
| 储存缓冲液 | PBS with 0.02% sodium azide and 50% glycerol, pH 7.3. |
| 储存条件 | Store at -20°C. Stable for one year after shipment. Aliquoting is unnecessary for -20oC storage. |
背景介绍
JAK3 is a non-receptor tyrosine kinase, predominantly expressed in hematopoietic cells and that has been implicated in the signal transduction of the common gamma chain subfamily of cytokine receptors. As a result, JAK3 plays an essential role in hematopoieisis during T cell development. JAK3 belongs to the Janus kinase family of receptor-associated tyrosine kinases located in cytoplasm adjacent to the plasma membrane. (PMID: 19747563, PMID: 33767339)
实验方案
| Product Specific Protocols | |
|---|---|
| FC protocol for JAK3 antibody 80331-1-RR | Download protocol |
| IHC protocol for JAK3 antibody 80331-1-RR | Download protocol |
| IP protocol for JAK3 antibody 80331-1-RR | Download protocol |
| WB protocol for JAK3 antibody 80331-1-RR | Download protocol |
| Standard Protocols | |
|---|---|
| Click here to view our Standard Protocols |
发表文章
| Species | Application | Title |
|---|---|---|
Front Immunol Construction of disulfidptosis-based immune response prediction model with artificial intelligence and validation of the pivotal grouping oncogene c-MET in regulating T cell exhaustion | ||
Gene The JAK-STAT signaling-related signature serves as a prognostic and predictive biomarker for renal cell carcinoma immunotherapy | ||
Front Genet Identification of apoptosis-immune-related gene signature and construction of diagnostic model for sepsis based on single-cell sequencing and bulk transcriptome analysis | ||
Clin Exp Rheumatol Effectiveness of tofacitinib monotherapy for patients with IgG4-RD or idiopathic retroperitoneal fibrosis | ||
Int Immunopharmacol Demethylzeylasteral alleviates inflammation and colitis via dual suppression of NF-κB and STAT3/5 by targeting IKKα/β and JAK2 | ||
Adv Sci (Weinh) Electret-Inspired Charge-Injected Hydrogel for Scar-Free Healing of Bacterially Infected Burns Through Bioelectrical Stimulation and Immune Modulation |




