验证数据展示
经过测试的应用
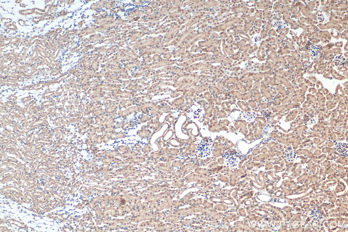
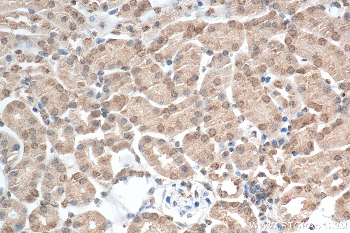
| Positive IHC detected in | mouse kidney tissue Note: suggested antigen retrieval with TE buffer pH 9.0; (*) Alternatively, antigen retrieval may be performed with citrate buffer pH 6.0 |
| Positive IF/ICC detected in | Cobalt Chloride treated NIH/3T3 cells |
推荐稀释比
| 应用 | 推荐稀释比 |
|---|---|
| Immunohistochemistry (IHC) | IHC : 1:50-1:500 |
| Immunofluorescence (IF)/ICC | IF/ICC : 1:250-1:1000 |
| It is recommended that this reagent should be titrated in each testing system to obtain optimal results. | |
| Sample-dependent, Check data in validation data gallery. | |
产品信息
82989-6-RR targets Hif-1 alpha in IHC, IF/ICC, ELISA applications and shows reactivity with mouse samples.
| 经测试应用 | IHC, IF/ICC, ELISA Application Description |
| 经测试反应性 | mouse |
| 免疫原 |
CatNo: Ag33620 Product name: Recombinant mouse Hif1a protein Source: e coli.-derived, PGEX-4T Tag: GST Domain: 530-825 aa of NM_001313919 Sequence: SEYCFDVDSDMVNVFKLELVEKLFAEDTEAKNPFSTQDTDLDLEMLAPYIPMDDDFQLRSFDQLSPLESNSPSPPSMSTVTGFQQTQLQKPTITATATTTATTDESKTETKDNKEDIKILIASPSSTQVPQETTTAKASAYSGTHSRTASPDRAGKRVIEQTDKAHPRSLNLSATLNQRNTVPEEELNPKTIASQNAQRKRKMEHDGSLFQAAGIGTLLQQPGDCAPTMSLSWKRVKGFISSEQNGTEQKTIILIPSDLACRLLGQSMDESGLPQLTSYDCEVNAPIQGSRNLLQG* 种属同源性预测 |
| 宿主/亚型 | Rabbit / IgG |
| 抗体类别 | Recombinant |
| 产品类型 | Antibody |
| 全称 | hypoxia inducible factor 1, alpha subunit |
| 别名 | Hif1a, ARNT-interacting protein, Hif-1a, HIF1alpha, HIF-1-alpha |
| 计算分子量 | 93 kDa |
| GenBank蛋白编号 | NM_001313919 |
| 基因名称 | Hif1a |
| Gene ID (NCBI) | 15251 |
| RRID | AB_3743450 |
| 偶联类型 | Unconjugated |
| 形式 | Liquid |
| 纯化方式 | Protein A purification |
| UNIPROT ID | Q61221 |
| 储存缓冲液 | PBS with 0.02% sodium azide and 50% glycerol, pH 7.3. |
| 储存条件 | Store at -20°C. Stable for one year after shipment. Aliquoting is unnecessary for -20oC storage. |
背景介绍
HIF1a, the major regulator of the cellular responses to hypoxia, consists of an oxygen-sensitive subunit, HIF1 alpha (HIF1A), and an oxygen-insensitive subunit, HIF1 beta (arylhydrocarbon receptor nuclear transporter [ARNT]). Under normal oxygen conditions, HIF1a is continuously produced and destroyed, in a process involving hydroxylation, interaction with von Hippel-Lindau (VHL) protein, polyubiquitylation and subsequent proteasomal degradation. Under hypoxic conditions, hydroxylation is impaired and HIF1a is stabilized. HIF1a localizes in cytoplasm in normoxia, but it can translocate into nuclear in response to hypoxia
实验方案
| Product Specific Protocols | |
|---|---|
| IF protocol for Hif-1 alpha antibody 82989-6-RR | Download protocol |
| IHC protocol for Hif-1 alpha antibody 82989-6-RR | Download protocol |
| Standard Protocols | |
|---|---|
| Click here to view our Standard Protocols |



