验证数据展示
经过测试的应用
| Positive WB detected in | HEK-293 cells, HeLa cells, MCF-7 cells |
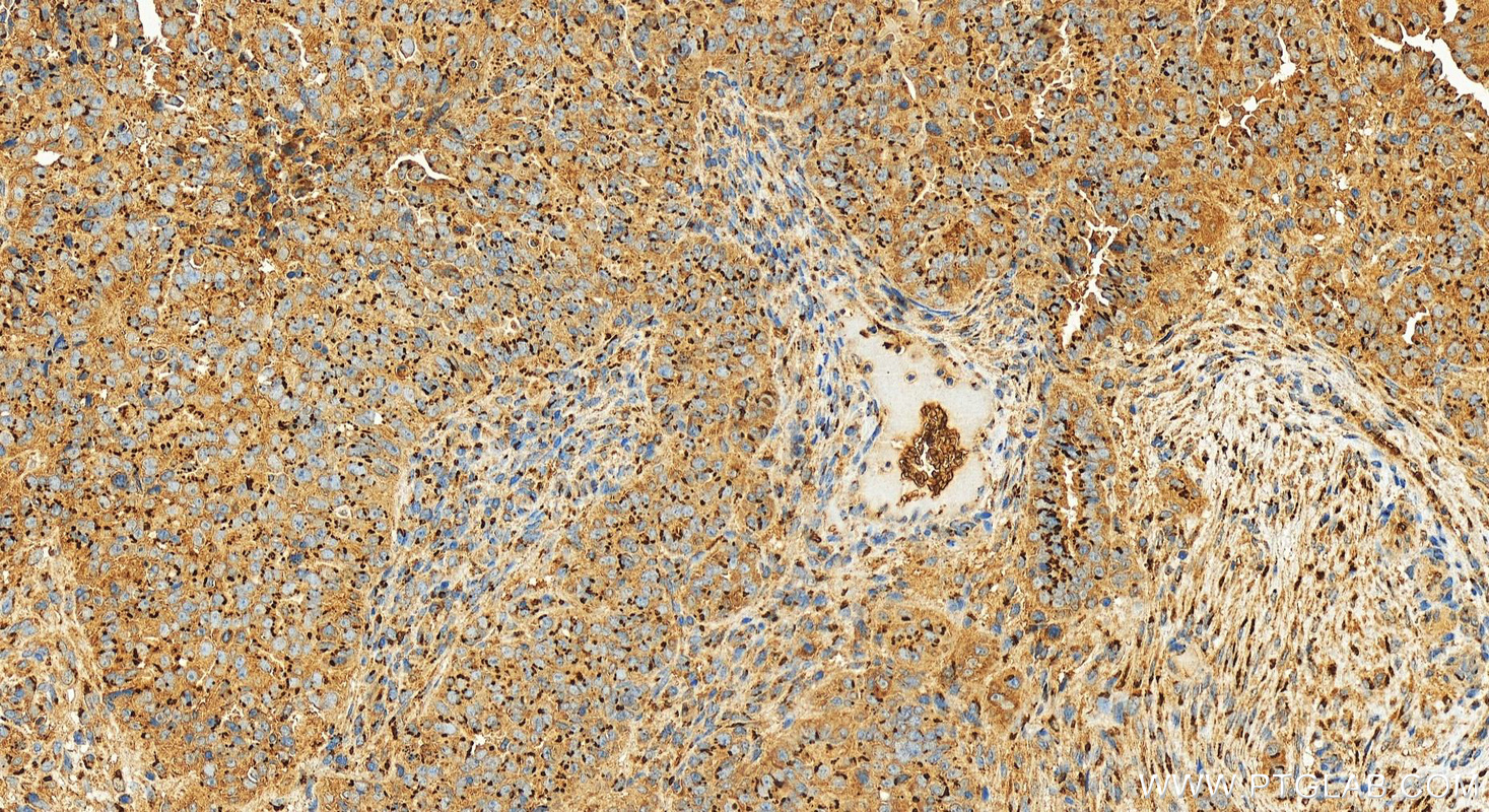
| Positive IHC detected in | human stomach cancer tissue, human liver cancer tissue, human ovarian cancer, human stomach tissue Note: suggested antigen retrieval with TE buffer pH 9.0; (*) Alternatively, antigen retrieval may be performed with citrate buffer pH 6.0 |
| Positive IF/ICC detected in | HeLa cells |
推荐稀释比
| 应用 | 推荐稀释比 |
|---|---|
| Western Blot (WB) | WB : 1:5000-1:50000 |
| Immunohistochemistry (IHC) | IHC : 1:300-1:1200 |
| Immunofluorescence (IF)/ICC | IF/ICC : 1:450-1:1800 |
| It is recommended that this reagent should be titrated in each testing system to obtain optimal results. | |
| Sample-dependent, Check data in validation data gallery. | |
发表文章中的应用
| WB | See 1 publications below |
| IHC | See 1 publications below |
产品信息
81893-1-RR targets GP73/GOLPH2 in WB, IHC, IF/ICC, ELISA applications and shows reactivity with human samples.
| 经测试应用 | WB, IHC, IF/ICC, ELISA Application Description |
| 文献引用应用 | WB, IHC |
| 经测试反应性 | human |
| 文献引用反应性 | mouse |
| 免疫原 |
CatNo: Ag7207 Product name: Recombinant human GOLM1 protein Source: e coli.-derived, PGEX-4T Tag: GST Domain: 36-400 aa of BC001740 Sequence: SRSVDLQTRIMELEGRVRRAAAERGAVELKKNEFQGELEKQREQLDKIQSSHNFQLESVNKLYQDEKAVLVNNITTGERLIRVLQDQLKTLQRNYGRLQQDVLQFQKNQTNLERKFSYDLSQCINQMKEVKEQCEERIEEVTKKGNEAVASRDLSENNDQRQQLQALSEPQPRLQAAGLPHTEVPQGKGNVLGNSKSQTPAPSSEVVLDSKRQVEKEETNEIQVVNEEPQRDRLPQEPGREQVVEDRPVGGRGFGGAGELGQTPQVQAALSVSQENPEMEGPERDQLVIPDGQEEEQEAAGEGRNQQKLRGEDDYNMDENEAESETDKQAALAGNDRNIDVFNVEDQKRDTINLLDQREKRNHTL 种属同源性预测 |
| 宿主/亚型 | Rabbit / IgG |
| 抗体类别 | Recombinant |
| 产品类型 | Antibody |
| 全称 | golgi membrane protein 1 |
| 别名 | GOLM1, GOLPH2, GP73, 1I12, C9orf155 |
| 计算分子量 | 45 kDa |
| 观测分子量 | 70-75 kDa |
| GenBank蛋白编号 | BC001740 |
| 基因名称 | GP73 |
| Gene ID (NCBI) | 51280 |
| RRID | AB_2935589 |
| 偶联类型 | Unconjugated |
| 形式 | Liquid |
| 纯化方式 | Protein A purification |
| UNIPROT ID | Q8NBJ4 |
| 储存缓冲液 | PBS with 0.02% sodium azide and 50% glycerol, pH 7.3. |
| 储存条件 | Store at -20°C. Stable for one year after shipment. Aliquoting is unnecessary for -20oC storage. |
背景介绍
Golgi phosphoprotein 2 (GOLPH2, also known as GP73 or GOLM1) is a resident Golgi type-II membrane protein. It is predominantly expressed in the epithelial cells of many human tissues. GOLPH2 traffics through endosomes and can be secreted into the circulation. Its expression is upregulated in a number of tumors and GOLPH2 could be a promising serum marker for hepatocellular carcinoma. We got 70-75 kDa in western blotting due to phosphorylation.
实验方案
| Product Specific Protocols | |
|---|---|
| IF protocol for GP73/GOLPH2 antibody 81893-1-RR | Download protocol |
| IHC protocol for GP73/GOLPH2 antibody 81893-1-RR | Download protocol |
| WB protocol for GP73/GOLPH2 antibody 81893-1-RR | Download protocol |
| Standard Protocols | |
|---|---|
| Click here to view our Standard Protocols |









