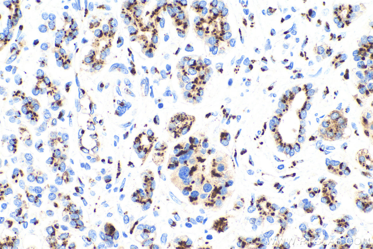
IHCeasy® GOLM1 Ready-To-Use IHC Kit
GOLM1 Ready-to-use reagent kit for IHC.
Reactivity
Human
Sample Type
FFPE tissue
Cat no : KHC0719
Synonyms
C9orf155, golgi membrane protein 1, Golgi membrane protein GP73, Golgi phosphoprotein 2, GOLM1, GOLPH2, GP73, GP73/GOLPH2, PSEC0257
Validation Data Gallery
Product Information
KHC0719 is a ready-to-use IHC kit for staining of GOLM1. The kit provides all reagents, from antigen retrieval to cover slip mounting, that require little to no diluting or handling prior to use. Simply apply the reagents to your sample slide according to the protocol and you're steps away from obtaining high-quality IHC data.
| Product name | IHCeasy GOLM1 Ready-To-Use IHC Kit |
| Sample type | FFPE tissue |
| Assay type | Immunohistochemistry |
| Primary antibody type | Mouse Monoclonal |
| Secondary antibody type | Polymer-HRP-Goat anti-Mouse |
| Reactivity | Human |
Kit components
| Component | Size | Concentration |
|---|---|---|
| Antigen Retrieval Buffer | 100 mL | 50× |
| Washing Buffer | 100 mL ×2 | 20× |
| Blocking Buffer | 5 mL | RTU |
| Primary Antibody | 5 mL | RTU |
| Secondary Antibody | 5 mL | RTU |
| Chromogen Component A | 0.2 mL | RTU |
| Chromogen Component B | 4 mL | RTU |
| Signal Enhancer | 5 mL | RTU |
| Counter Staining Reagent | 5 mL | RTU |
| Mounting Media | 5 mL | RTU |
| Datasheet | 1 Copy | |
| Manual | 1 Copy |
Background Information
Golgi phosphoprotein 2 (GOLPH2, also known as GP73 or GOLM1) is a resident Golgi type-II membrane protein. It is predominantly expressed in the epithelial cells of many human tissues. GOLPH2 traffics through endosomes and can be secreted into the circulation. Its expression is upregulated in a number of tumors and GOLPH2 could be a promising serum marker for hepatocellular carcinoma.
Properties
| Storage Instructions | All the reagents are stored at 2-8°C. The kit is stable for 6 months from the date of receipt. |
| Synonyms | C9orf155, golgi membrane protein 1, Golgi membrane protein GP73, Golgi phosphoprotein 2, GOLM1, GOLPH2, GP73, GP73/GOLPH2, PSEC0257 |




