验证数据展示
产品信息
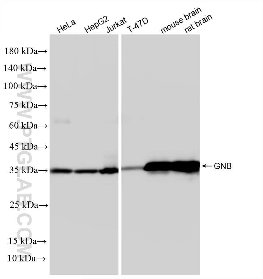
87127-3-PBS targets GNB1 in WB, IF/ICC, Indirect ELISA applications and shows reactivity with human, mouse, rat samples.
| 经测试应用 | WB, IF/ICC, Indirect ELISA Application Description |
| 经测试反应性 | human, mouse, rat |
| 免疫原 |
CatNo: Ag0313 Product name: Recombinant human GNB1 protein Source: e coli.-derived, PGEX-4T Tag: GST Domain: 2-339 aa of BC004186 Sequence: SELDQLRQEAEQLKNQIRDARKACADATLSQITNNIDPVGRIQMRTRRTLRGHLAKIYAMHWGTDSRLLVSASQDGKLIIWDSYTTNKVHAIPLRSSWVMTCAYAPSGNYVACGGLDNICSIYNLKTREGNVRVSRELAGHTGYLSCCRFLDDNQIVTSSGDTTCALWDIETGQQTTTFTGHTGDVMSLSLAPDTRLFVSGACDASAKLWDVREGMCRQTFTGHESDINAICFFPNGNAFATGSDDATCRLFDLRADQELMTYSHDNIICGITSVSFSKSGRLLLAGYDDFNCNVWDALKADRAGVLAGHDNRVSCLGVTDDGMAVATGSWDSFLKIW 种属同源性预测 |
| 宿主/亚型 | Rabbit / IgG |
| 抗体类别 | Recombinant |
| 产品类型 | Antibody |
| 全称 | guanine nucleotide binding protein (G protein), beta polypeptide 1 |
| 别名 | GBB1, Guanine nucleotide-binding protein G(I)/G(S)/G(T) subunit beta-1 |
| 计算分子量 | 37 kDa |
| 观测分子量 | 35 kDa |
| GenBank蛋白编号 | BC004186 |
| 基因名称 | GNB1 |
| Gene ID (NCBI) | 2782 |
| 偶联类型 | Unconjugated |
| 形式 | Liquid |
| 纯化方式 | Protein A purification |
| UNIPROT ID | P62873 |
| 储存缓冲液 | PBS only, pH 7.3. |
| 储存条件 | Store at -80°C. The product is shipped with ice packs. Upon receipt, store it immediately at -80°C |
背景介绍
GNB1(Guanine nucleotide-binding protein G(I)/G(S)/G(T) subunit beta-1) belongs to the WD repeat G protein beta family.The guanine nucleotide-binding proteins (G proteins) are involved as a modulator or transducer in various transmembrane signaling systems and the beta and gamma chains are required for the GTPase activity, for replacement of GDP by GTP, and for G protein-effector interaction.GNB1 can form dimers with all gamma subunits analyzed(PMID:12782285).


