验证数据展示
经过测试的应用
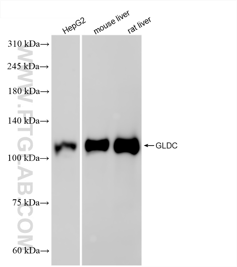
| Positive WB detected in | HepG2 cells, Vero cells, mouse liver tissue, rat liver tissue |
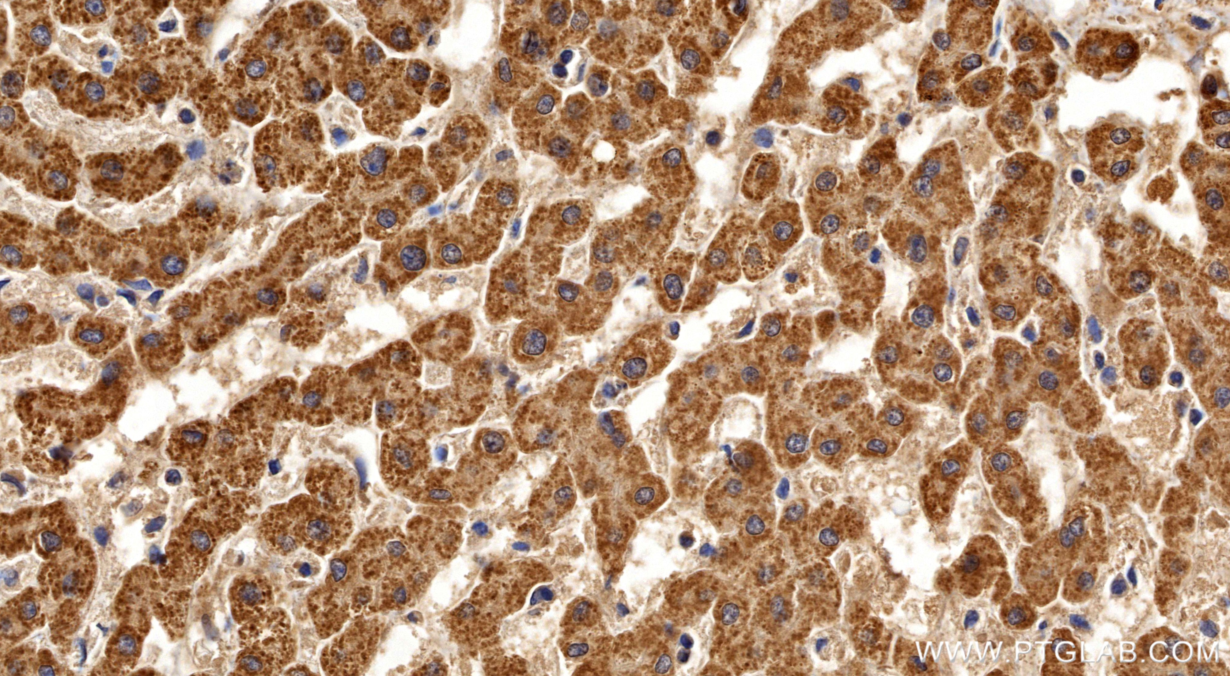
| Positive IHC detected in | human liver tissue Note: suggested antigen retrieval with TE buffer pH 9.0; (*) Alternatively, antigen retrieval may be performed with citrate buffer pH 6.0 |
推荐稀释比
| 应用 | 推荐稀释比 |
|---|---|
| Western Blot (WB) | WB : 1:5000-1:50000 |
| Immunohistochemistry (IHC) | IHC : 1:500-1:2000 |
| It is recommended that this reagent should be titrated in each testing system to obtain optimal results. | |
| Sample-dependent, Check data in validation data gallery. | |
产品信息
86378-1-RR targets GLDC in WB, IHC, ELISA applications and shows reactivity with human, mouse, rat, monkey samples.
| 经测试应用 | WB, IHC, ELISA Application Description |
| 经测试反应性 | human, mouse, rat, monkey |
| 免疫原 |
CatNo: Ag20410 Product name: Recombinant human GLDC protein Source: e coli.-derived, PET28a Tag: 6*His Domain: 675-1020 aa of BC111995 Sequence: NIDAVHLKAMVDKHKENLAAIMITYPSTNGVFEENISDVCDLIHQHGGQVYLDGANMNAQVGICRPGDFGSDVSHLNLHKTFCIPHGGGGPGMGPIGVKKHLAPFLPNHPVISLKRNEDACPVGTVSAAPWGSSSILPISWAYIKMMGGKGLKQATETAILNANYMAKRLETHYRILFRGARGYVGHEFILDTRPFKKSANIEAVDVAKRLQDYGFHAPTMSWPVAGTLMVEPTESEDKAELDRFCDAMISIRQEIADIEEGRIDPRVNPLKMSPHSLTCVTSSHWDRPYSREVAAFPLPFVKPENKFWPTIARIDDIYGDQHLVCTCPPMEVYESPFSEQKRASS 种属同源性预测 |
| 宿主/亚型 | Rabbit / IgG |
| 抗体类别 | Recombinant |
| 产品类型 | Antibody |
| 全称 | glycine dehydrogenase (decarboxylating) |
| 别名 | aminomethyl-transferring, EC:1.4.4.2, GCE, GCSP, Glycine dehydrogenase |
| 计算分子量 | 1020 aa, 113 kDa |
| 观测分子量 | 113 kDa |
| GenBank蛋白编号 | BC111995 |
| 基因名称 | GLDC |
| Gene ID (NCBI) | 2731 |
| 偶联类型 | Unconjugated |
| 形式 | Liquid |
| 纯化方式 | Protein A purification |
| UNIPROT ID | P23378 |
| 储存缓冲液 | PBS with 0.02% sodium azide and 50% glycerol, pH 7.3. |
| 储存条件 | Store at -20°C. Stable for one year after shipment. Aliquoting is unnecessary for -20oC storage. |
背景介绍
GLDC(Glycine dehydrogenase [decarboxylating], mitochondrial) is also named as GCSP and belongs to the GcvP family. It induces dramatic changes in glycolysis and glycine/serine metabolism that leads to changes in pyrimidine metabolism to regulate cancer cell proliferation(PMID:22225612).
实验方案
| Product Specific Protocols | |
|---|---|
| IHC protocol for GLDC antibody 86378-1-RR | Download protocol |
| WB protocol for GLDC antibody 86378-1-RR | Download protocol |
| Standard Protocols | |
|---|---|
| Click here to view our Standard Protocols |



