验证数据展示
经过测试的应用
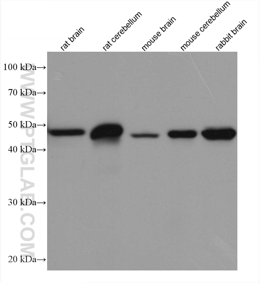
| Positive WB detected in | rat brain tissue, human brain tissue, pig brain tissue, U-251 cells, rat cerebellum, mouse brain, mouse cerebellum, rabbit brain |
| Positive IP detected in | mouse brain tissue |
| Positive IHC detected in | human brain tissue, human gliomas tissue, mouse brain tissue, rat brain tissue Note: suggested antigen retrieval with TE buffer pH 9.0; (*) Alternatively, antigen retrieval may be performed with citrate buffer pH 6.0 |
| Positive IF-P detected in | rat brain tissue, mouse brain tissue |
This antibody is not recommended for immunocytofluorescent assays. It is not suitable for frozen sections.
推荐稀释比
| 应用 | 推荐稀释比 |
|---|---|
| Western Blot (WB) | WB : 1:5000-1:50000 |
| Immunoprecipitation (IP) | IP : 0.5-4.0 ug for 1.0-3.0 mg of total protein lysate |
| Immunohistochemistry (IHC) | IHC : 1:500-1:10000 |
| Immunofluorescence (IF)-P | IF-P : 1:50-1:500 |
| It is recommended that this reagent should be titrated in each testing system to obtain optimal results. | |
| Sample-dependent, Check data in validation data gallery. | |
产品信息
60190-1-Ig targets GFAP in WB, IHC, IF-P, IP, Dot blot, ELISA applications and shows reactivity with human, mouse, rat, pig, rabbit samples.
| 经测试应用 | WB, IHC, IF-P, IP, ELISA Application Description |
| 文献引用应用 | WB, IHC, IF, Dot blot |
| 经测试反应性 | human, mouse, rat, pig, rabbit |
| 文献引用反应性 | human, mouse, rat, pig, rabbit, monkey |
| 免疫原 |
CatNo: Ag10452 Product name: Recombinant human GFAP protein Source: e coli.-derived, PET28a Tag: 6*His Domain: 83-432 aa of BC013596 Sequence: YIEKVRFLEQQNKALAAELNQLRAKEPTKLADVYQAELRELRLRLDQLTANSARLEVERDNLAQDLATVRQKLQDETNLRLEAENNLAAYRQEADEATLARLDLERKIESLEEEIRFLRKIHEEEVRELQEQLARQQVHVELDVAKPDLTAALKEIRTQYEAMASSNMHEAEEWYRSKFADLTDAAARNAELLRQAKHEANDYRRQLQSLTCDLESLRGTNESLERQMREQEERHVREAASYQEALARLEEEGQSLKDEMARHLQEYQDLLNVKLALDIEIATYRKLLEGEENRITIPVQTFSNLQIRETSLDTKSVSEGHLKRNIVVKTVEMRDGEVIKESKQEHKDVM 种属同源性预测 |
| 宿主/亚型 | Mouse / IgG2a |
| 抗体类别 | Monoclonal |
| 产品类型 | Antibody |
| 全称 | glial fibrillary acidic protein |
| 别名 | 4B2E10, glial fibrillary acidic protein |
| 计算分子量 | 432 aa, 50 kDa |
| 观测分子量 | 45-52 kDa |
| GenBank蛋白编号 | BC013596 |
| 基因名称 | GFAP |
| Gene ID (NCBI) | 2670 |
| RRID | AB_10838694 |
| 偶联类型 | Unconjugated |
| 形式 | Liquid |
| 纯化方式 | Protein A purification |
| UNIPROT ID | P14136 |
| 储存缓冲液 | PBS with 0.02% sodium azide and 50% glycerol, pH 7.3. |
| 储存条件 | Store at -20°C. Stable for one year after shipment. Aliquoting is unnecessary for -20oC storage. |
背景介绍
Function
GFAP (Glial fibrillary acidic protein) is a type III intermediate filament (IF) protein specific to the central nervous system (CNS). GFAP is one of the main components of the intermediate filament network in astrocytes and has been proposed as playing a role in cell migration, cell motility, maintaining mechanical strength, and in mitosis.Tissue specificity
GFAP is expressed in central nervous system cells, predominantly in astrocytes. GFAP is commonly used as an astrocyte marker. However, GFAP is also present in peripheral glia and in non-CNS cells, including fibroblasts, chondrocytes, lymphocytes, and liver stellate cells (PMID: 21219963).Involvement in disease
- Mutations in GFAP lead to Alexander disease (OMIM: 203450), an autosomal dominant CNS disorder. The mutations present in affected individuals are thought to be gain-of-function.
- Upregulation of GFAP is a hallmark of reactive astrocytes, in which GFAP is present in hypertrophic cellular processes. Reactive astrogliosis is present in many neurological disorders, such as stroke, various neurodegenerative diseases (including Alzheimer's and Parkinson's disease), and neurotrauma.
Isoforms
Astrocytes express 10 different isoforms of GFAP that differ in the rod and tail domains (PMID: 25726916), which means that they differ in molecular size. Isoform expression varies during the development and across different subtypes of astrocytes. Not all isoforms are upregulated in reactive astrocytes.Post-translational modifications
Intermediate filament proteins are regulated by phosphorylation. Six phosphorylation sites have been identified in GFAP protein, at least some of which are reported to control filament assembly (PMID: 21219963).Cellular localization
GFAP localizes to intermediate filaments and stains well in astrocyte cellular processes.
实验方案
| Product Specific Protocols | |
|---|---|
| IF protocol for GFAP antibody 60190-1-Ig | Download protocol |
| IHC protocol for GFAP antibody 60190-1-Ig | Download protocol |
| IP protocol for GFAP antibody 60190-1-Ig | Download protocol |
| WB protocol for GFAP antibody 60190-1-Ig | Download protocol |
| Standard Protocols | |
|---|---|
| Click here to view our Standard Protocols |
发表文章
| Species | Application | Title |
|---|---|---|
Brain Behav Immun l-Cysteine suppresses hypoxia-ischemia injury in neonatal mice by reducing glial activation, promoting autophagic flux and mediating synaptic modification via H2S formation. | ||
Neuron Spatiotemporal transcriptomic maps of mouse intracerebral hemorrhage at single-cell resolution | ||
J Extracell Vesicles Extracellular vesicle-mediated delivery of circDYM alleviates CUS-induced depressive-like behaviours. | ||
Neuron UBQLN2-HSP70 axis reduces poly-Gly-Ala aggregates and alleviates behavioral defects in the C9ORF72 animal model. | ||
Clin Cancer Res A Histopathologic Correlation Study Evaluating Glymphatic Function in Brain Tumors by Multi-Parametric MRI |



















