IHCeasy® GFAP Ready-To-Use IHC Kit
GFAP Ready-to-use reagent kit for IHC.
Cat no : KHC0002
Synonyms
glial fibrillary acidic protein
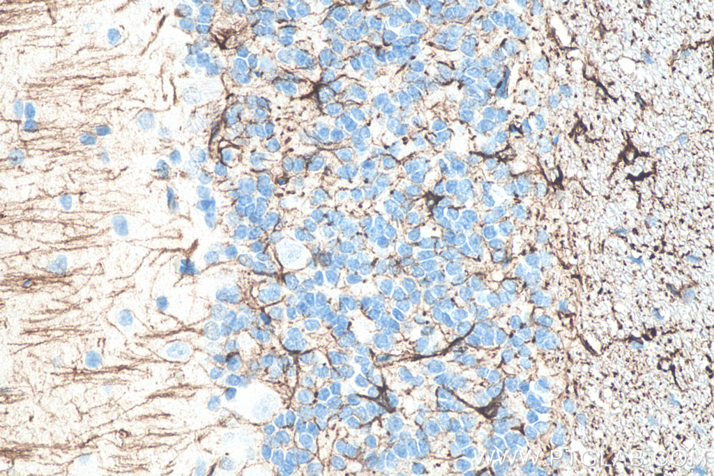
Validation Data Gallery
Product Information
KHC0002 is a ready-to-use IHC kit for staining of GFAP. The kit provides all reagents, from antigen retrieval to cover slip mounting, that require little to no diluting or handling prior to use. Simply apply the reagents to your sample slide according to the protocol and you're steps away from obtaining high-quality IHC data.
| Product name | IHCeasy GFAP Ready-To-Use IHC Kit |
| Sample type | FFPE tissue |
| Assay type | Immunohistochemistry |
| Primary antibody type | Mouse Monoclonal |
| Secondary antibody type | Polymer-HRP-Goat anti-Mouse |
| Reactivity | Human, Mouse, Rat |
Kit components
| Component | Size | Concentration |
|---|---|---|
| Antigen Retrieval Buffer | 100 mL | 50× |
| Washing Buffer | 100 mL ×2 | 20× |
| Blocking Buffer | 5 mL | RTU |
| Primary Antibody | 5 mL | RTU |
| Secondary Antibody | 5 mL | RTU |
| Chromogen Component A | 0.2 mL | RTU |
| Chromogen Component B | 4 mL | RTU |
| Signal Enhancer | 5 mL | RTU |
| Counter Staining Reagent | 5 mL | RTU |
| Mounting Media | 5 mL | RTU |
| Datasheet | 1 Copy | |
| Manual | 1 Copy |
Background Information
GFAP (Glial fibrillary acidic protein ), an intermediate-filament (IF) protein , is specifically expressed in cells of astroglial lineage and is widely used to mark the astroglia in the brain. It‘s also used as a marker for intracranial and intraspinal tumors arising from astrocytes.
Properties
| Storage Instructions | All the reagents are stored at 2-8°C. The kit is stable for 6 months from the date of receipt. |
| Synonyms | glial fibrillary acidic protein |
Publications
| Application | Title |
|---|---|
Front Nutr n-3 PUFA ameliorate functional outcomes following repetitive mTBI in the fat-1 mouse model |





