Validation Data Gallery
Product Information
Ferroptosis Essentials Antibody Kit 为研究参与铁死亡途径的关键蛋白提供了一个经济高效的工具。对于开始新项目的研究人员、筛选多个潜在目标的研究人员或那些仅仅需要较少体积抗体的研究人员来说是非常适合的。
产品介绍
Ferroptosis Essentials Antibody Kit 包含在铁死亡途径中发挥关键作用的5个关键蛋白靶点的抗体。
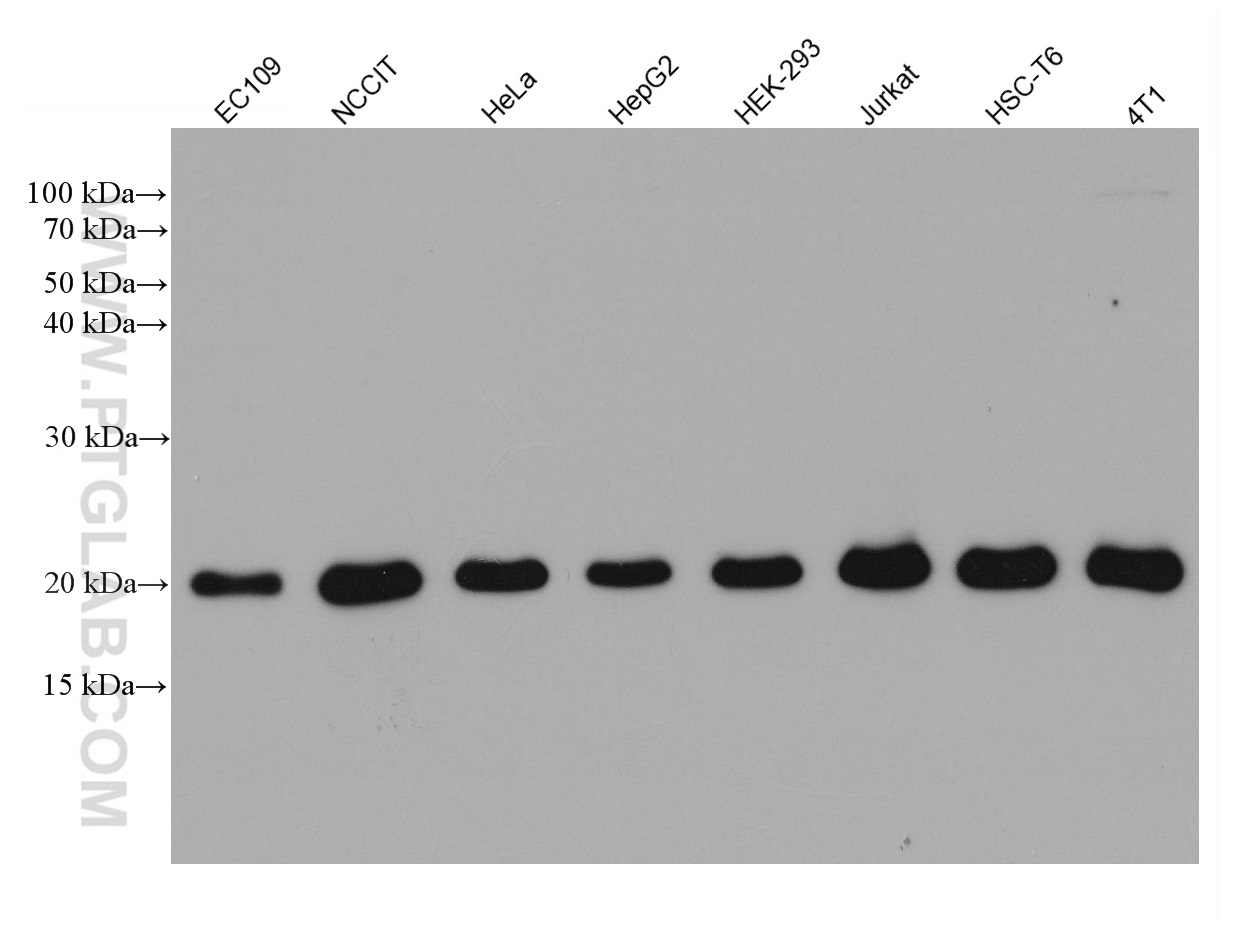
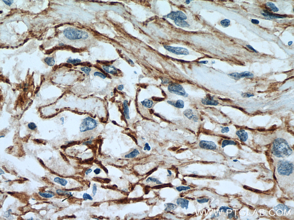
| Antigen | Catalog No. | Host, clonality | Tested Reactivity | Applications | Volume |
| GPX4 | 67763-1-Ig | Mouse monoclonal | H, M, R, Rb, Pg, Dg, Hm, C, Z | WB, IHC, IF, ELISA | 20 uL |
| SLC7A11/xCT | 26864-1-AP | Rabbit polyclonal | H | WB, IP, IHC, ELISA | 20 uL |
| KEAP1 | 80744-1-RR | Rabbit monoclonal | H, M, R | WB, IHC, IF, ELISA | 20 uL |
| NRF2 | 80593-1-RR | Rabbit monoclonal | H | WB, IHC, IF/ICC, FC (Intra), IP, ELISA | 20 uL |
| ACSL4 | 22401-1-AP | Rabbit polyclonal | H, M, R | WB, IP, IHC, ELISA | 20 uL |
如果此试剂盒中的抗体不满足您的需求,请参考我们的“Ferroptosis Expanded Antibody Kit”。
保存条件
-20℃保存。自收到之日起一年内保持稳定。
背景介绍
铁死亡是一种铁依赖性的调节性细胞死亡形式,其特征是细胞内活性氧(ROS)水平增加。过氧化物酶GPX4的活性依赖于谷胱甘肽(GSH)的生物合成,是铁死亡途径的关键调节因子。GPX4利用GSH作为辅助因子来减少细胞内脂质过氧化物。细胞内GSH耗竭引起的GPX4失活导致ROS积累,从而引发铁死亡。铁死亡也可以通过由SLC7A11和SLC3A2组成的细胞表面半胱氨酸-谷氨酸逆转向转运体(系统xc-)与谷胱甘肽代谢途径共同调节。抑制系统xc-通过抑制半胱氨酸吸收来阻止谷胱甘肽合成,导致氧化应激和GPX4活性受损,进而促进铁死亡。KEAP1-NRF2通路已被证明在多种疾病模型中对铁死亡起保护作用。ACSL4是一种介导脂肪酸代谢的酶,在特定条件下是铁死亡的关键驱动因素和生物标志物。
标准实验流程
点击此处查看我们用于各种应用的标准流程,包括WB、IP、IHC、IF、FC和ELISA。
Publications
| Application | Title |
|---|---|
BMC Cancer Single-cell sequencing combined with urinary multi-omics analysis reveals that the non-invasive biomarker PRDX5 regulates bladder cancer progression through ferroptosis signaling |













