验证数据展示
经过测试的应用
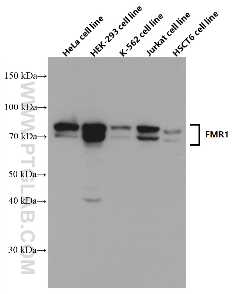
| Positive WB detected in | HeLa cells, HEK-293 cells, K-562 cells, Jurkat cells, HSCT6 cells |
| Positive IP detected in | HeLa cells |
| Positive IHC detected in | human gliomas tissue, mouse brain tissue, human liver tissue, human colon cancer tissue, human colon tissue Note: suggested antigen retrieval with TE buffer pH 9.0; (*) Alternatively, antigen retrieval may be performed with citrate buffer pH 6.0 |
| Positive FC (Intra) detected in | Jurkat cells |
推荐稀释比
| 应用 | 推荐稀释比 |
|---|---|
| Western Blot (WB) | WB : 1:2000-1:10000 |
| Immunoprecipitation (IP) | IP : 0.5-4.0 ug for 1.0-3.0 mg of total protein lysate |
| Immunohistochemistry (IHC) | IHC : 1:250-1:1000 |
| Flow Cytometry (FC) (INTRA) | FC (INTRA) : 0.40 ug per 10^6 cells in a 100 µl suspension |
| It is recommended that this reagent should be titrated in each testing system to obtain optimal results. | |
| Sample-dependent, Check data in validation data gallery. | |
产品信息
66548-1-Ig targets FMRP in WB, IHC, IF, FC (Intra), IP, ELISA applications and shows reactivity with human, mouse, rat samples.
| 经测试应用 | WB, IHC, FC (Intra), IP, ELISA Application Description |
| 文献引用应用 | WB, IF |
| 经测试反应性 | human, mouse, rat |
| 文献引用反应性 | human, mouse |
| 免疫原 |
CatNo: Ag4697 Product name: Recombinant human FMR1 protein Source: e coli.-derived, PGEX-4T Tag: GST Domain: 1-297 aa of BC038998 Sequence: MEELVVEVRGSNGAFYKAFVKDVHEDSITVAFENNWQPDRQIPFHDVRFPPPVGYNKDINESDEVEVYSRANEKEPCCWWLAKVRMIKGEFYVIEYAACDATYNEIVTIERLRSVNPNKPATKDTFHKIKLDVPEDLRQMCAKEAAHKDFKKAVGAFSVTYDPENYQLVILSINEVTSKRAHMLIDMHFRSLRTKLSLIMRNEEASKQLESSRQLASRFHEQFIVREDLMGLAIGTHGANIQQARKVPGVTAIDLDEDTCTFHIYGEDQDAVKKARSFLEFAEDVIQVPRNLVGLKI 种属同源性预测 |
| 宿主/亚型 | Mouse / IgG2a |
| 抗体类别 | Monoclonal |
| 产品类型 | Antibody |
| 全称 | fragile X mental retardation 1 |
| 别名 | FMR1, 2B5B5, fragile X mental retardation 1, Fragile X messenger ribonucleoprotein, Fragile X messenger ribonucleoprotein 1 |
| 计算分子量 | 632 aa, 71 kDa |
| 观测分子量 | 69-72 kDa |
| GenBank蛋白编号 | BC038998 |
| 基因名称 | FMR1 |
| Gene ID (NCBI) | 2332 |
| RRID | AB_2881910 |
| 偶联类型 | Unconjugated |
| 形式 | Liquid |
| 纯化方式 | Protein A purification |
| UNIPROT ID | Q06787 |
| 储存缓冲液 | PBS with 0.02% sodium azide and 50% glycerol, pH 7.3. |
| 储存条件 | Store at -20°C. Stable for one year after shipment. Aliquoting is unnecessary for -20oC storage. |
背景介绍
The selective RNA-binding protein FMRP forms a messenger ribonucleoprotein complex that associates with polyribosomes, implicating in regulation of translation. FMR1 is a component of the CYFIP1-EIF4E-FMR1 complex which binds to and reperss the mRNA. It also has a role in the transport of mRNA from the nucleus to the cytoplasm. FMR1 exists several isforms and the molecular weight of FMR1 is about 59-72 kDa.
实验方案
| Product Specific Protocols | |
|---|---|
| FC protocol for FMRP antibody 66548-1-Ig | Download protocol |
| IHC protocol for FMRP antibody 66548-1-Ig | Download protocol |
| IP protocol for FMRP antibody 66548-1-Ig | Download protocol |
| WB protocol for FMRP antibody 66548-1-Ig | Download protocol |
| Standard Protocols | |
|---|---|
| Click here to view our Standard Protocols |
发表文章
| Species | Application | Title |
|---|---|---|
Elife FMRP promotes RNA localization to neuronal projections through interactions between its RGG domain and G-quadruplex RNA sequences.
| ||
Environ Res Polychlorinated biphenyls alter hepatic m6A mRNA methylation in a mouse model of environmental liver disease | ||
Front Mol Neurosci Cingulate protein arginine methyltransferases 1 regulates peripheral hypersensitivity via fragile X messenger ribonucleoprotein | ||
Cell Biochem Biophys Bladder Cancer Growth is Inhibited by Upregulating CircFUT8 through the METTL14/FMR1 Signaling Pathway |













