验证数据展示
产品信息
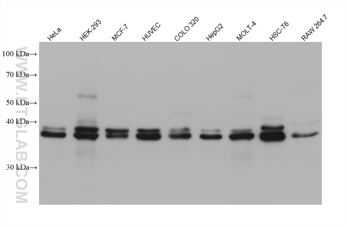
60929-1-PBS targets ERK1/2 in WB, Indirect ELISA applications and shows reactivity with human, mouse, rat samples.
| 经测试应用 | WB, Indirect ELISA Application Description |
| 经测试反应性 | human, mouse, rat |
| 免疫原 |
Peptide 种属同源性预测 |
| 宿主/亚型 | Mouse / IgG2a |
| 抗体类别 | Monoclonal |
| 产品类型 | Antibody |
| 全称 | mitogen-activated protein kinase 1 |
| 别名 | ERK2, MAPK1, EC:2.7.11.24, ERK, ERK 2 |
| 计算分子量 | 360 aa, 41 kDa |
| 观测分子量 | 38-44 kDa |
| GenBank蛋白编号 | BC017832 |
| 基因名称 | ERK2 |
| Gene ID (NCBI) | 5594 |
| 偶联类型 | Unconjugated |
| 形式 | Liquid |
| 纯化方式 | Protein A purification |
| UNIPROT ID | P28482 |
| 储存缓冲液 | PBS only, pH 7.3. |
| 储存条件 | Store at -80°C. The product is shipped with ice packs. Upon receipt, store it immediately at -80°C |
背景介绍
ERK1 and ERK2 belong to the protein kinase superfamily. It is involved in both the initiation and regulation of meiosis, mitosis, and postmitotic functions in differentiated cells by phosphorylating a number of transcription factors such as ELK-1. ERK1/2 catalyzed the reaction: ATP + a protein = ADP + a phosphoprotein. It is activated by tyrosine phosphorylation in response to INS and NGF. This antibody can recognize both ERK1 and ERK2 with a molecular mass of 38-44 kDa.
