IHCeasy® ERK1/2 Ready-To-Use IHC Kit
ERK1/2 Ready-to-use reagent kit for IHC.
Reactivity
Human, Mouse, Rat
Sample Type
FFPE tissue
Cat no : KHC0917
Synonyms
ERK, ERK 2, ERK1/2, ERK2, ERT1, MAP kinase 1, MAP kinase 2, MAP kinase isoform p42, MAPK 1, MAPK 2, MAPK1, MAPK2, p40, p41, p41mapk, p42 MAPK, P42MAPK, PRKM1, PRKM2
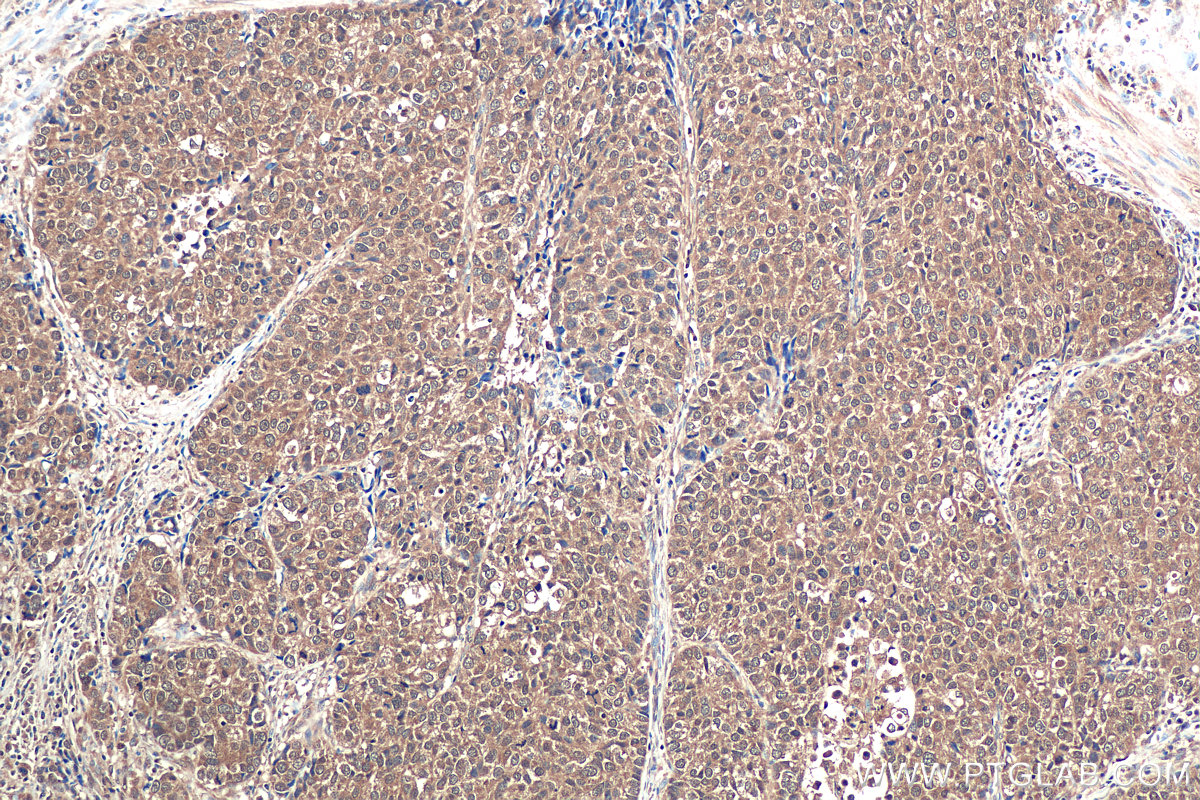
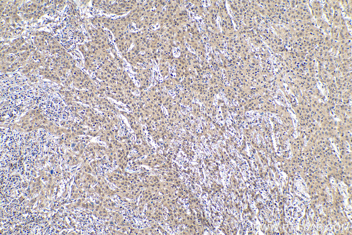
Validation Data Gallery
Product Information
KHC0917 is a ready-to-use IHC kit for staining of ERK1/2. The kit provides all reagents, from antigen retrieval to cover slip mounting, that require little to no diluting or handling prior to use. Simply apply the reagents to your sample slide according to the protocol and you're steps away from obtaining high-quality IHC data.
| Product name | IHCeasy ERK1/2 Ready-To-Use IHC Kit |
| Sample type | FFPE tissue |
| Assay type | Immunohistochemistry |
| Primary antibody type | Rabbit Polyclonal |
| Secondary antibody type | Polymer-HRP-Goat anti-Rabbit |
| Reactivity | Human, Mouse, Rat |
Kit components
| Component | Size | Concentration |
|---|---|---|
| Antigen Retrieval Buffer | 100 mL | 50× |
| Washing Buffer | 100 mL ×2 | 20× |
| Blocking Buffer | 5 mL | RTU |
| Primary Antibody | 5 mL | RTU |
| Secondary Antibody | 5 mL | RTU |
| Chromogen Component A | 0.2 mL | RTU |
| Chromogen Component B | 4 mL | RTU |
| Signal Enhancer | 5 mL | RTU |
| Counter Staining Reagent | 5 mL | RTU |
| Mounting Media | 5 mL | RTU |
| Datasheet | 1 Copy | |
| Manual | 1 Copy |
Background Information
ERK1 and ERK2 belongs to the protein kinase superfamily. It is involved in both the initiation and regulation of meiosis, mitosis, and postmitotic functions in differentiated cells by phosphorylating a number of transcription factors such as ELK-1. ERK1/2 catalized the reaction: ATP + a protein = ADP + a phosphoprotein. It is activated by tyrosine phosphorylation in response to INS and NGF. Primary antibody in this kit can recognize both ERK1 and ERK2.
Properties
| Storage Instructions | All the reagents are stored at 2-8°C. The kit is stable for 6 months from the date of receipt. |
| Synonyms | ERK, ERK 2, ERK1/2, ERK2, ERT1, MAP kinase 1, MAP kinase 2, MAP kinase isoform p42, MAPK 1, MAPK 2, MAPK1, MAPK2, p40, p41, p41mapk, p42 MAPK, P42MAPK, PRKM1, PRKM2 |









