验证数据展示
经过测试的应用
| Positive WB detected in | NIH/3T3 cells, C2C12 cells |
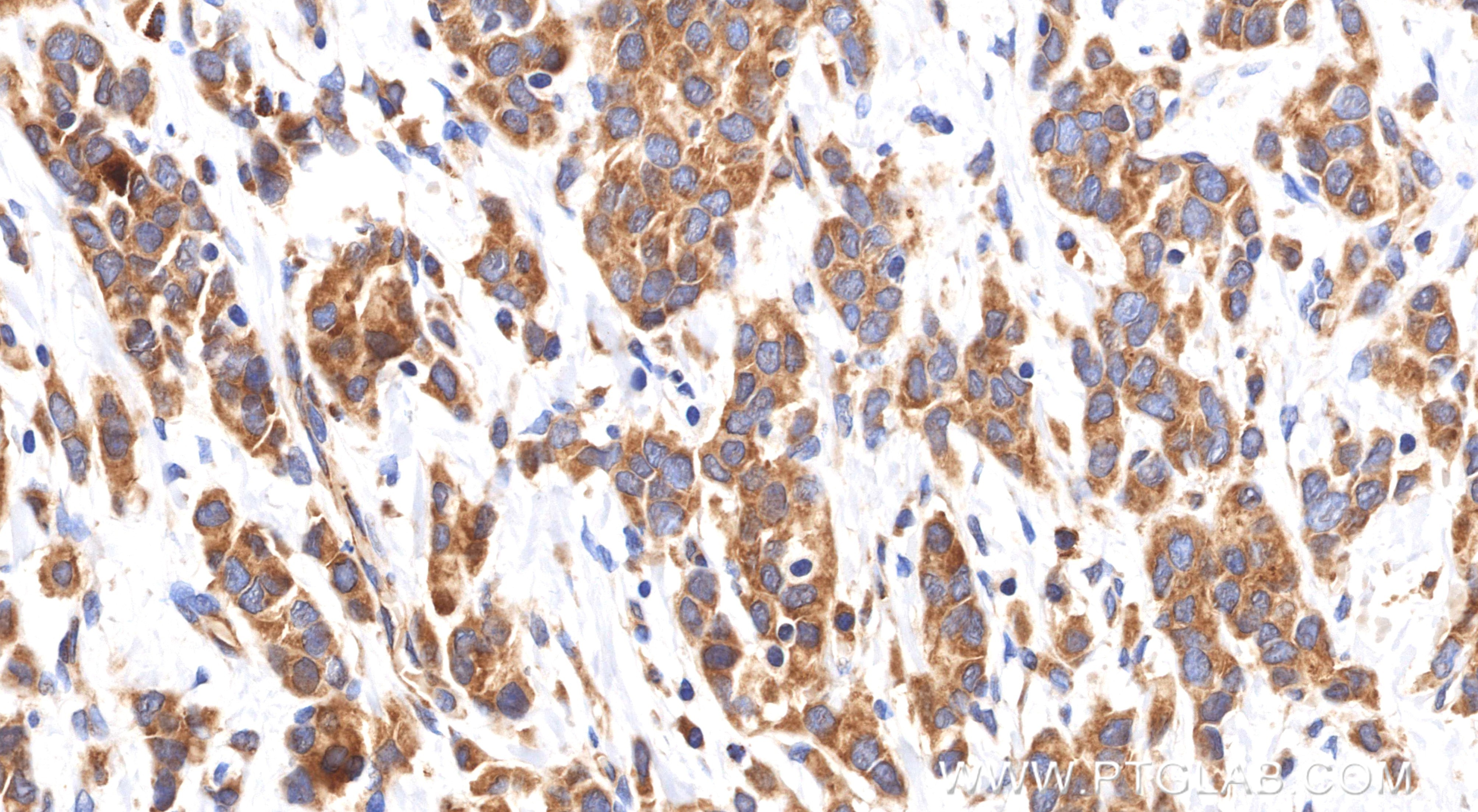
| Positive IHC detected in | human breast cancer tissue Note: suggested antigen retrieval with TE buffer pH 9.0; (*) Alternatively, antigen retrieval may be performed with citrate buffer pH 6.0 |
推荐稀释比
| 应用 | 推荐稀释比 |
|---|---|
| Western Blot (WB) | WB : 1:5000-1:50000 |
| Immunohistochemistry (IHC) | IHC : 1:200-1:800 |
| It is recommended that this reagent should be titrated in each testing system to obtain optimal results. | |
| Sample-dependent, Check data in validation data gallery. | |
产品信息
85184-5-RR targets EPS8 in WB, IHC, ELISA applications and shows reactivity with human, mouse samples.
| 经测试应用 | WB, IHC, ELISA Application Description |
| 经测试反应性 | human, mouse |
| 免疫原 |
CatNo: Ag3121 Product name: Recombinant human EPS8 protein Source: e coli.-derived, PGEX-4T Tag: GST Domain: 13-267 aa of BC030010 Sequence: GMYPSQMNGYGSSPTFSQTDREHGSKTSAKALYEQRKNYARDSVSSVSDISQYRVEHLTTFVLDRKDAMITVDDGIRKLKLLDAKGKVWTQDMILQVDDRAVSLIDLESKNELENFPLNTIQHCQAVMHSCSYDSVLALVCKEPTQNKPDLHLFQCDEVKANLISEDIESAISDSKGGKQKRRPDALRMISNADPSIPPPPRAPAPAPPGTVTQVDVRSRVAAWSAWAADQGDFEKPRQYHEQEETPEMMAARID 种属同源性预测 |
| 宿主/亚型 | Rabbit / IgG |
| 抗体类别 | Recombinant |
| 产品类型 | Antibody |
| 全称 | epidermal growth factor receptor pathway substrate 8 |
| 别名 | Epidermal growth factor receptor kinase substrate 8 |
| 计算分子量 | 822 aa, 92 kDa |
| 观测分子量 | 97 kDa |
| GenBank蛋白编号 | BC030010 |
| 基因名称 | EPS8 |
| Gene ID (NCBI) | 2059 |
| 偶联类型 | Unconjugated |
| 形式 | Liquid |
| 纯化方式 | Protein A purification |
| UNIPROT ID | Q12929 |
| 储存缓冲液 | PBS with 0.02% sodium azide and 50% glycerol, pH 7.3. |
| 储存条件 | Store at -20°C. Stable for one year after shipment. Aliquoting is unnecessary for -20oC storage. |
背景介绍
Epidermal growth factor receptor Pathway Substrate 8 (EPS8) is a crucial regulator of the actin cytoskeleton dynamics accompanying cell motility and invasion. This protein contains one PH domain and one SH3 domain leading to its binding activity with multiple cellular targets. EPS8 can function as a unique actin capping protein specifically required for dendritic cell migration and plays roles in the regulation of axonal filopodia in neuronal development and synapse formation. The EPS8 gene may contribute to the development of a subset of colorectal cancers and could have applications in diagnosis and treatment.
实验方案
| Product Specific Protocols | |
|---|---|
| IHC protocol for EPS8 antibody 85184-5-RR | Download protocol |
| WB protocol for EPS8 antibody 85184-5-RR | Download protocol |
| Standard Protocols | |
|---|---|
| Click here to view our Standard Protocols |



