Di-Methyl-Histone H3 (Lys56) Recombinant monoclonal antibody

Di-Methyl-Histone H3 (Lys56) Uni-rAb® Recombinant Antibody for WB, IF/ICC, Dot Blot, ELISA
Cat No. 82828-12-RR

产品说明书

CloneNo. 243027A1

宿主/亚型

Rabbit / IgG

种属反应性

human, mouse, rat

应用

WB, IF/ICC, Dot Blot, ELISA

Di Methyl Histone H3, Di-Methyl Histone H3 (Lys56), Di-Methyl Histone H3 Lys56, Di-Methyl Histone-H3 Lys56, Di-Methyl-Histone H3

缓冲液配方:  PBS, Azide, Glycerol
PBS, Azide, Glycerol
PBS Only
偶联物:  Unconjugated
Unconjugated
规格价格库存


经过测试的应用

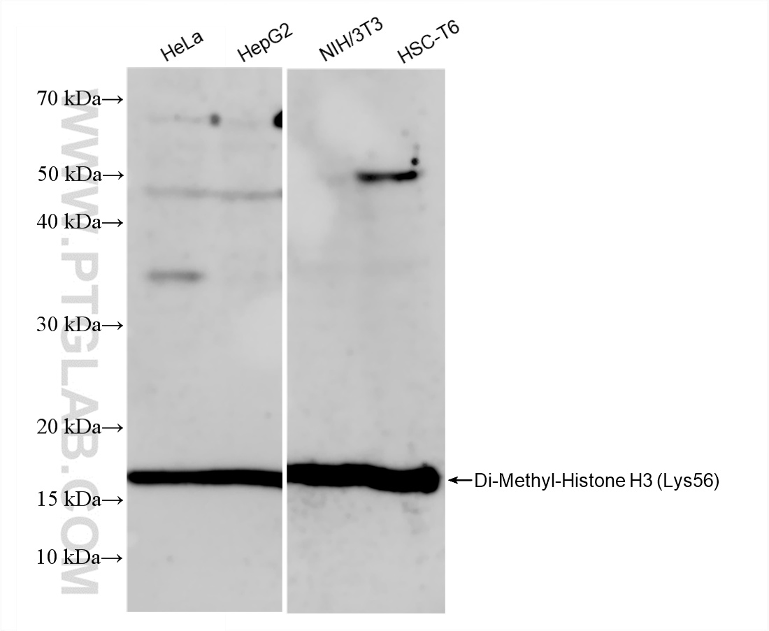
Positive WB detected inHeLa cells, HepG2 cells, NIH/3T3 cells, HSC-T6 cells
Positive IF/ICC detected inHepG2 cells, NIH/3T3 cells
Positive Dot Blot detected inpeptide
Planning an IHC experiment? We recommend our IHCeasy Phospho-Histone H3 (Ser10) Ready-To-Use IHC Kit. Phospho-Histone H3 (Ser10) primary antibody included.

推荐稀释比

应用推荐稀释比
Western Blot (WB)WB : 1:500-1:2000
Immunofluorescence (IF)/ICCIF/ICC : 1:250-1:1000
DOT BLOTDOT BLOT : 1:10-1:100
It is recommended that this reagent should be titrated in each testing system to obtain optimal results.
Sample-dependent, Check data in validation data gallery.

产品信息

82828-12-RR targets Di-Methyl-Histone H3 (Lys56) in WB, IF/ICC, Dot Blot, ELISA applications and shows reactivity with human, mouse, rat samples.

经测试应用 WB, IF/ICC, Dot Blot, ELISA Application Description
经测试反应性 human, mouse, rat
免疫原

Peptide

种属同源性预测
宿主/亚型 Rabbit / IgG
抗体类别 Recombinant
产品类型 Antibody
全称 histone cluster 1, H3a
别名 Di Methyl Histone H3, Di-Methyl Histone H3 (Lys56), Di-Methyl Histone H3 Lys56, Di-Methyl Histone-H3 Lys56, Di-Methyl-Histone H3
观测分子量15-18 kDa
GenBank蛋白编号BC066245
基因名称 HIST1H3A
Gene ID (NCBI) 8350
偶联类型 Unconjugated
形式Liquid
纯化方式Protein A purification
UNIPROT IDP68431
储存缓冲液 PBS with 0.02% sodium azide and 50% glycerol, pH 7.3.
储存条件Store at -20°C. Stable for one year after shipment. Aliquoting is unnecessary for -20oC storage.

背景介绍

Histones, including H1/H5 (linker histones), H2, H3, and H4 (core histones), are nucleic proteins which interact with DNA to form the nucleosomes and play important roles in gene regulation and DNA replication. Histone proteins are highly post-translationally modified while Histone H3 is the most extensively modified.The NSD family histone methyltransferases, including NSD1, NSD2 and NSD3, play crucial roles in chromatin regulation and are implicated in oncogenesis (PMID: 33361816).

实验方案

Product Specific Protocols
IF protocol for Di-Methyl-Histone H3 (Lys56) antibody 82828-12-RRDownload protocol
WB protocol for Di-Methyl-Histone H3 (Lys56) antibody 82828-12-RRDownload protocol
Standard Protocols
Click here to view our Standard Protocols
Loading...
||
New chat Able
正在加载,请稍候...