验证数据展示
经过测试的应用
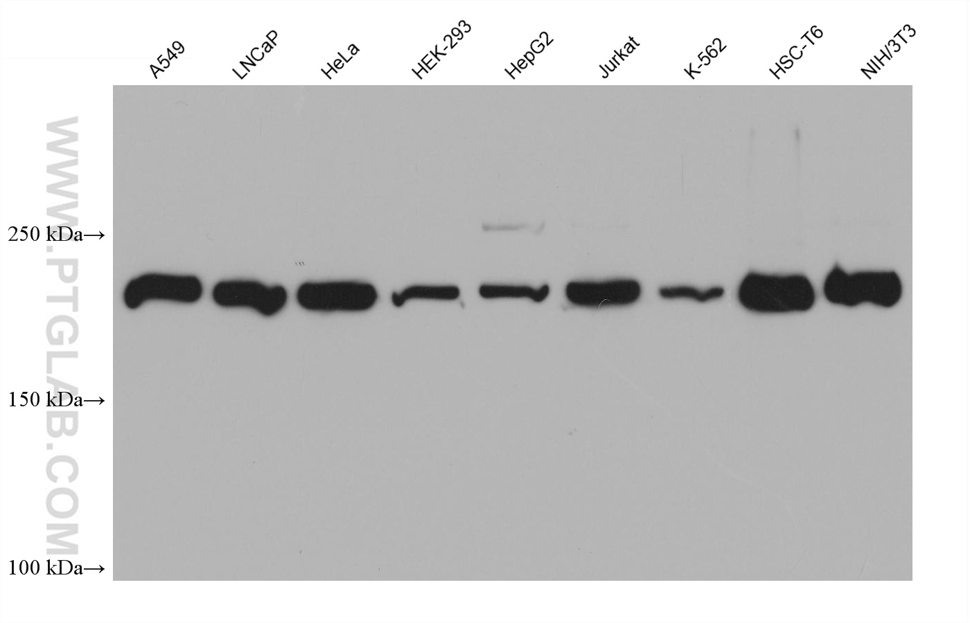
| Positive WB detected in | A549 cells, LNCaP cells, HeLa cells, HEK-293 cells, HepG2 cells, Jurkat cells, K-562 cells, HSC-T6 cells, NIH/3T3 cells |
推荐稀释比
| 应用 | 推荐稀释比 |
|---|---|
| Western Blot (WB) | WB : 1:2000-1:10000 |
| It is recommended that this reagent should be titrated in each testing system to obtain optimal results. | |
| Sample-dependent, Check data in validation data gallery. | |
发表文章中的应用
| WB | See 3 publications below |
| IF | See 2 publications below |
产品信息
68485-1-Ig targets DNMT1 in WB, IF, ELISA applications and shows reactivity with Human, Mouse, Rat samples.
| 经测试应用 | WB, ELISA Application Description |
| 文献引用应用 | WB, IF |
| 经测试反应性 | Human, Mouse, Rat |
| 文献引用反应性 | human, mouse |
| 免疫原 |
CatNo: Ag19116 Product name: Recombinant human DNMT1 protein Source: e coli.-derived, PET28a Tag: 6*His Domain: 1288-1632 aa of BC126227 Sequence: VSFKRSMVLKLTLRCLVRMGYQCTFGVLQAGQYGVAQTRRRAIILAAAPGEKLPLFPEPLHVFAPRACQLSVVVDDKKFVSNITRLSSGPFRTITVRDTMSDLPEVRNGASALEISYNGEPQSWFQRQLRGAQYQPILRDHICKDMSALVAARMRHIPLAPGSDWRDLPNIEVRLSDGTMARKLRYTHHDRKNGRSSSGALRGVCSCVEAGKACDPAARQFNTLIPWCLPHTGNRHNHWAGLYGRLEWDGFFSTTVTNPEPMGKQGRVLHPEQHRVVSVRECARSQGFPDTYRLFGNILDKHRQVGNAVPPPLAKAIGLEIKLCMLAKARESASAKIKEEEAAKD 种属同源性预测 |
| 宿主/亚型 | Mouse / IgG1 |
| 抗体类别 | Monoclonal |
| 产品类型 | Antibody |
| 全称 | DNA (cytosine-5-)-methyltransferase 1 |
| 别名 | AIM, CXXC9, DNA methyltransferase HsaI, DNA MTase HsaI, DNMT, DNMT1, FLJ16293, M.HsaI, MCMT |
| 计算分子量 | 1632 aa, 185 kDa |
| 观测分子量 | 180-200 kDa |
| GenBank蛋白编号 | BC126227 |
| 基因名称 | DNMT1 |
| Gene ID (NCBI) | 1786 |
| RRID | AB_3085196 |
| 偶联类型 | Unconjugated |
| 形式 | Liquid |
| 纯化方式 | Protein G purification |
| UNIPROT ID | P26358 |
| 储存缓冲液 | PBS with 0.02% sodium azide and 50% glycerol, pH 7.3. |
| 储存条件 | Store at -20°C. Stable for one year after shipment. Aliquoting is unnecessary for -20oC storage. |
背景介绍
DNA methylation is a major epigenetic modification that regulates gene expression. DNMT1, the maintenance DNA methylation enzyme, is the primary enzyme responsible for copying methylation patterns after DNA replication. DNMT1 is required for X chromosome inactivation, imprinting, genomic methylation and proper embryonic development. Overexpression of DNMT1 has been reported in various cancers. DNMT1 exists some isoforms with MW 184 kDa and 145 kDa. (PMID: 10753866)
实验方案
| Product Specific Protocols | |
|---|---|
| WB protocol for DNMT1 antibody 68485-1-Ig | Download protocol |
| Standard Protocols | |
|---|---|
| Click here to view our Standard Protocols |
发表文章
| Species | Application | Title |
|---|---|---|
Gene Exploring the importance of m5c in the diagnosis and subtype classification of COPD using the GEO database | ||
Adv Sci (Weinh) Paternal Obesity-Induced H3K27me3 Elevation Leads to MANF-Mediated Transgenerational Metabolic Dysfunction in Female Offspring | ||
Invest New Drugs Crocetin suppresses colorectal cancer progression by targeting TGM2 and inhibiting the JAK2/STAT3 pathway. | ||
Biomaterials A biomimetic arsenic-based nanozyme enhances dual epigenetic regulation to improve the efficacy of immunotherapy for acute myeloid leukaemia. |
