验证数据展示
经过测试的应用
| Positive WB detected in | HEK-293 cells, Jurkat cells, mouse brain tissue, mouse lung tissue, MCF-7 cells, rat brain tissue |
| Positive IP detected in | mouse brain tissue |
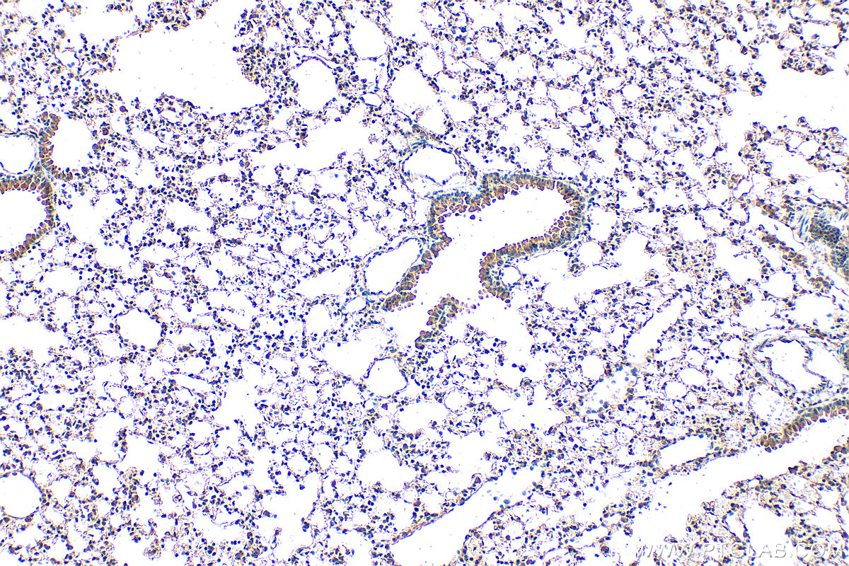
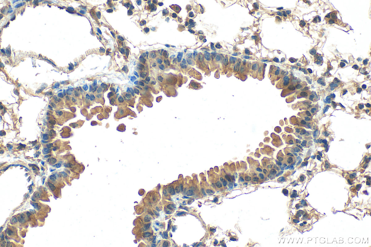
| Positive IHC detected in | mouse lung tissue Note: suggested antigen retrieval with TE buffer pH 9.0; (*) Alternatively, antigen retrieval may be performed with citrate buffer pH 6.0 |
| Positive IF/ICC detected in | HepG2 cells |
| Positive FC (Intra) detected in | HeLa cells |
推荐稀释比
| 应用 | 推荐稀释比 |
|---|---|
| Western Blot (WB) | WB : 1:2000-1:10000 |
| Immunoprecipitation (IP) | IP : 0.5-4.0 ug for 1.0-3.0 mg of total protein lysate |
| Immunohistochemistry (IHC) | IHC : 1:50-1:500 |
| Immunofluorescence (IF)/ICC | IF/ICC : 1:200-1:800 |
| Flow Cytometry (FC) (INTRA) | FC (INTRA) : 0.40 ug per 10^6 cells in a 100 µl suspension |
| It is recommended that this reagent should be titrated in each testing system to obtain optimal results. | |
| Sample-dependent, Check data in validation data gallery. | |
产品信息
22373-1-AP targets DCP1A in WB, IHC, IF/ICC, FC (Intra), IP, RIP, ELISA applications and shows reactivity with human, mouse, rat samples.
| 经测试应用 | WB, IHC, IF/ICC, FC (Intra), IP, ELISA Application Description |
| 文献引用应用 | WB, IF, IP, RIP |
| 经测试反应性 | human, mouse, rat |
| 文献引用反应性 | human, mouse |
| 免疫原 |
CatNo: Ag18027 Product name: Recombinant human DCP1A protein Source: e coli.-derived, PGEX-4T Tag: GST Domain: 1-350 aa of BC007439 Sequence: MEALSRAGQEMSLAALKQHDPYITSIADLTGQVALYTFCPKANQWEKTDIEGTLFVYRRSASPYHGFTIVNRLNMHNLVEPVNKDLEFQLHEPFLLYRNASLSIYSIWFYDKNDCHRIAKLMADVVEEETRRSQQAARDKQSPSQANGCSDHRPIDILEMLSRAKDEYERNQMGDSNISSPGLQPSTQLSNLGSTETLEEMPSGSQDKSAPSGHKHLTVEELFGTSLPKEQPAVVGLDSEEMERLPGDASQKEPNSFLPFPFEQLGGAPQSETLGVPSAAHHSVQPEITTPVLITPASITQSNEKHAPTYTIPLSPVLSPTLPAEAPTAQVPPSLPRNSTMMQAVKTTPR 种属同源性预测 |
| 宿主/亚型 | Rabbit / IgG |
| 抗体类别 | Polyclonal |
| 产品类型 | Antibody |
| 全称 | DCP1 decapping enzyme homolog A (S. cerevisiae) |
| 别名 | EC:3.6.1.62, HSA275986, mRNA decapping enzyme 1A, mRNA-decapping enzyme 1A, Nbla00360 |
| 计算分子量 | 582 aa, 63 kDa |
| 观测分子量 | 70 kDa |
| GenBank蛋白编号 | BC007439 |
| 基因名称 | DCP1A |
| Gene ID (NCBI) | 55802 |
| RRID | AB_2879092 |
| 偶联类型 | Unconjugated |
| 形式 | Liquid |
| 纯化方式 | Antigen Affinity purified |
| UNIPROT ID | Q9NPI6 |
| 储存缓冲液 | PBS with 0.02% sodium azide and 50% glycerol, pH 7.3. |
| 储存条件 | Store at -20°C. Stable for one year after shipment. Aliquoting is unnecessary for -20oC storage. |
背景介绍
DCP1 decapping enzyme homolog A (S. cerevisiae), known as mRNA-decapping enzyme 1A (DCP1A),is necessary for the degradation of mRNAs, both in normal mRNA turnover and in nonsense-mediated mRNA decay. Removes the 7-methyl guanine cap structure from mRNA molecules, yielding a 5'-phosphorylated mRNA fragment and 7m-GDP. Contributes to the transactivation of target genes after stimulation by TGFB1. This antibody specifically react with the 70kd DCP1A protein.
实验方案
| Product Specific Protocols | |
|---|---|
| FC protocol for DCP1A antibody 22373-1-AP | Download protocol |
| IF protocol for DCP1A antibody 22373-1-AP | Download protocol |
| IHC protocol for DCP1A antibody 22373-1-AP | Download protocol |
| IP protocol for DCP1A antibody 22373-1-AP | Download protocol |
| WB protocol for DCP1A antibody 22373-1-AP | Download protocol |
| Standard Protocols | |
|---|---|
| Click here to view our Standard Protocols |
发表文章
| Species | Application | Title |
|---|---|---|
Cell Rep Vault RNAs aid RNA virus infection by facilitating cytoplasmic localization of hnRNP C and ELAVL1 | ||
Cell Rep DIAPH3 condensates formed by liquid-liquid phase separation act as a regulatory hub for stress-induced actin cytoskeleton remodeling | ||
Cell Rep The proteome and transcriptome of stress granules and P bodies during human T lymphocyte activation | ||
J Thorac Dis LncRNA HOXD-AS2 regulates miR-3681-5p/DCP1A axis to promote the progression of non-small cell lung cancer | ||










