验证数据展示
经过测试的应用
| Positive WB detected in | pig brain tissue, HeLa cells, HepG2 cells, NCCIT cells, rat brain tissue, mouse brain tissue |
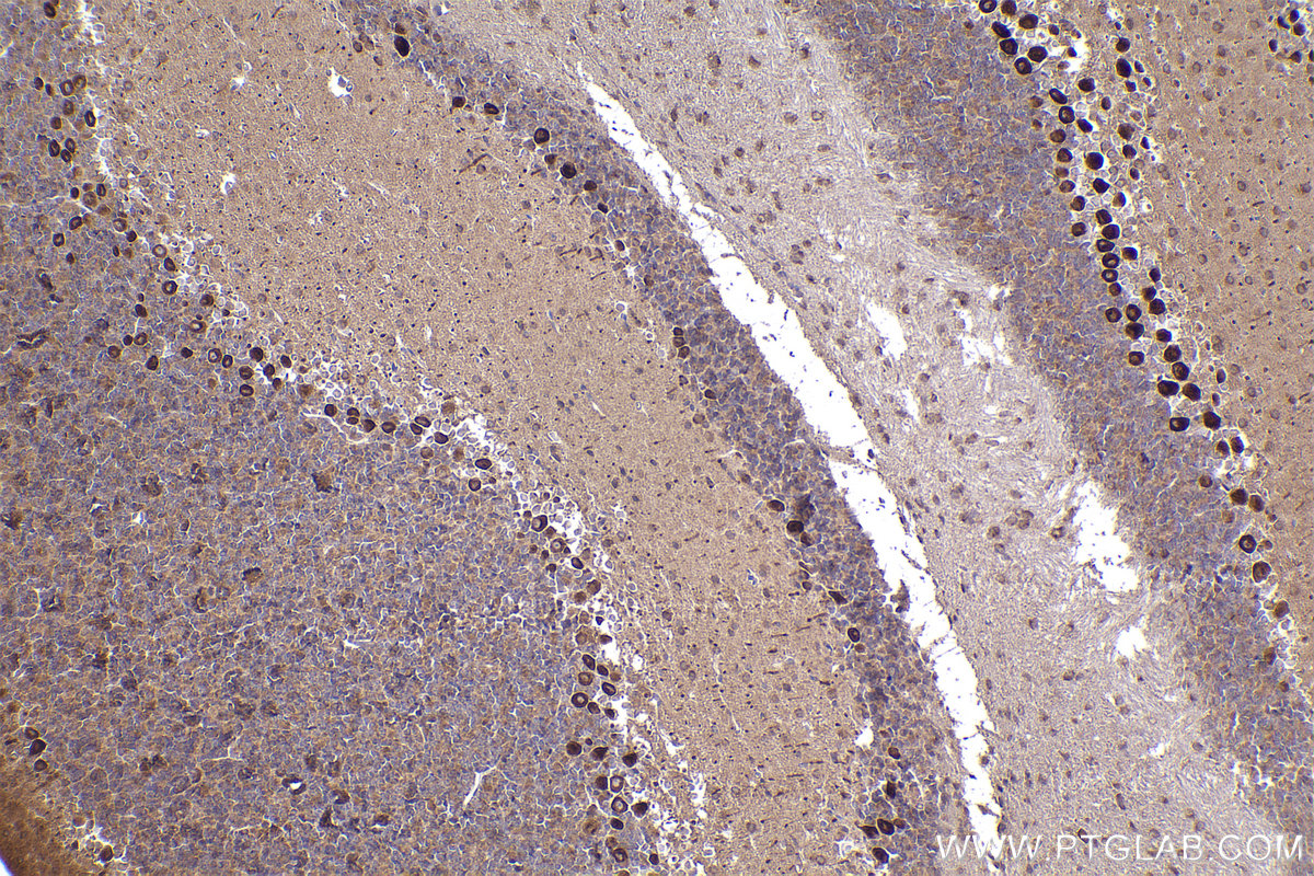
| Positive IHC detected in | mouse cerebellum tissue, human rectal cancer tissue Note: suggested antigen retrieval with TE buffer pH 9.0; (*) Alternatively, antigen retrieval may be performed with citrate buffer pH 6.0 |
| Positive IF/ICC detected in | HepG2 cells |
推荐稀释比
| 应用 | 推荐稀释比 |
|---|---|
| Western Blot (WB) | WB : 1:5000-1:50000 |
| Immunohistochemistry (IHC) | IHC : 1:250-1:1000 |
| Immunofluorescence (IF)/ICC | IF/ICC : 1:2000-1:8000 |
| It is recommended that this reagent should be titrated in each testing system to obtain optimal results. | |
| Sample-dependent, Check data in validation data gallery. | |
产品信息
67631-1-Ig targets Ch-TOG in WB, IHC, IF/ICC, ELISA applications and shows reactivity with human, mouse, rat, pig samples.
| 经测试应用 | WB, IHC, IF/ICC, ELISA Application Description |
| 经测试反应性 | human, mouse, rat, pig |
| 免疫原 |
CatNo: Ag28770 Product name: Recombinant human CKAP5 protein Source: e coli.-derived, PET28a Tag: 6*His Domain: 1-349 aa of BC120869 Sequence: MGDDSEWLKLPVDQKCEHKLWKARLSGYEEALKIFQKIKDEKSPEWSKFLGLIKKFVTDSNAVVQLKGLEAALVYVENAHVAGKTTGEVVSGVVSKVFNQPKAKAKELGIEICLMYIEIEKGEAVQEELLKGLDNKNPKIIVACIETLRKALSEFGSKIILLKPIIKVLPKLFESREKAVRDEAKLIAVEIYRWIRDALRPPLQNINSVQLKELEEEWVKLPTSAPRPTRFLRSQQELEAKLEQQQSAGGDAEGGGDDGDEVPQIDAYELLEAVEILSKLPKDFYDKIEAKKWQERKEALESVEVLIKNPKLEAGDYADLVKALKKVVGKDTNVMLVALAAKCLTGLAV 种属同源性预测 |
| 宿主/亚型 | Mouse / IgG1 |
| 抗体类别 | Monoclonal |
| 产品类型 | Antibody |
| 全称 | cytoskeleton associated protein 5 |
| 别名 | CKAP5, TOGp, Cytoskeleton-associated protein 5, Colonic and hepatic tumor overexpressed gene protein, ch TOG |
| 观测分子量 | 220-240 kDa |
| GenBank蛋白编号 | BC120869 |
| 基因名称 | Ch-TOG |
| Gene ID (NCBI) | 9793 |
| RRID | AB_2882832 |
| 偶联类型 | Unconjugated |
| 形式 | Liquid |
| 纯化方式 | Protein G purification |
| UNIPROT ID | Q14008 |
| 储存缓冲液 | PBS with 0.02% sodium azide and 50% glycerol, pH 7.3. |
| 储存条件 | Store at -20°C. Stable for one year after shipment. Aliquoting is unnecessary for -20oC storage. |
背景介绍
Ch-TOG (colonic hepatic tumor-overexpressed gene), also known as XMAP215 or CKAP5, is a microtubule polymerase which can promotes cytoplasmic microtubule nucleation and elongation. Through interacting with Aurora-A and TACC3, it plays a major role in organizing spindle poles.
实验方案
| Product Specific Protocols | |
|---|---|
| IF protocol for Ch-TOG antibody 67631-1-Ig | Download protocol |
| IHC protocol for Ch-TOG antibody 67631-1-Ig | Download protocol |
| WB protocol for Ch-TOG antibody 67631-1-Ig | Download protocol |
| Standard Protocols | |
|---|---|
| Click here to view our Standard Protocols |






