验证数据展示
产品信息
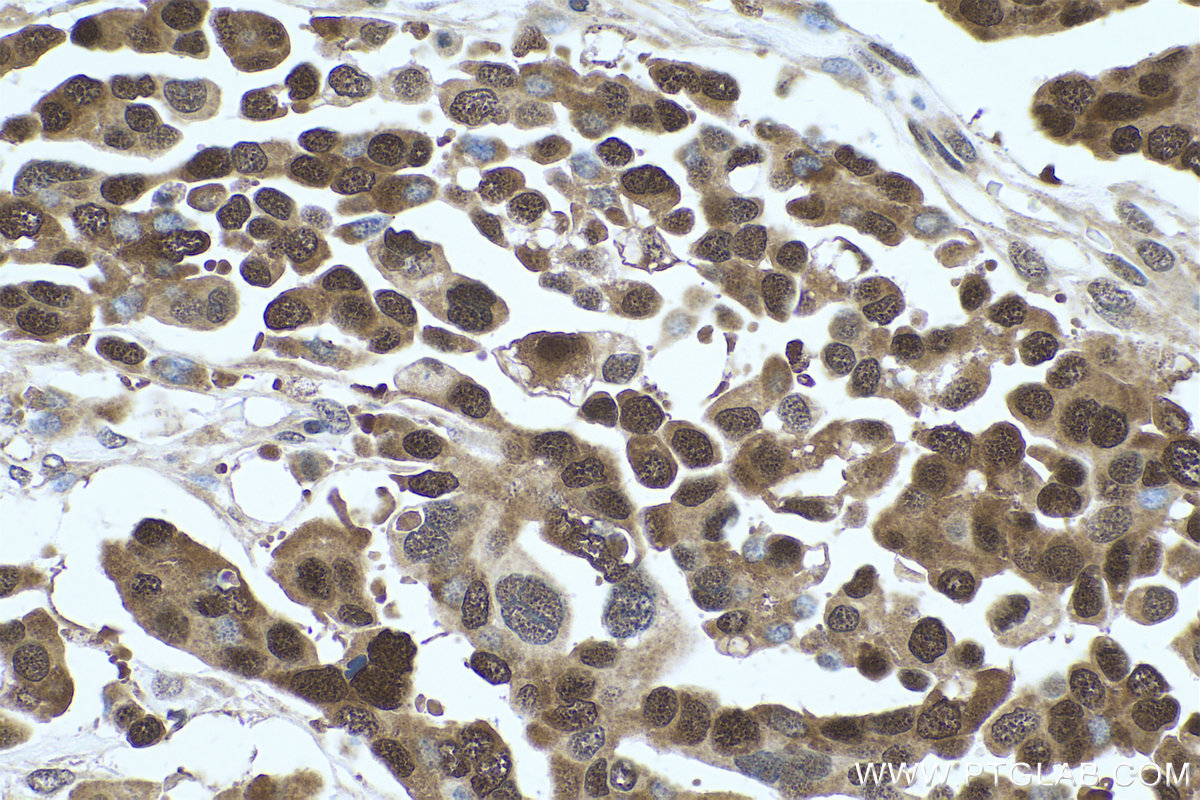
67306-1-PBS targets CSE1L in WB, IHC, IF-P, Indirect ELISA applications and shows reactivity with Human, mouse, rat samples.
| 经测试应用 | WB, IHC, IF-P, Indirect ELISA Application Description |
| 经测试反应性 | Human, mouse, rat |
| 免疫原 |
CatNo: Ag29131 Product name: Recombinant human CSE1L protein Source: e coli.-derived, PET28a Tag: 6*His Domain: 627-971 aa of BC109313 Sequence: RITCKANPAAVVNFEEALFLVFTEILQNDVQEFIPYVFQVMSLLLETHKNDIPSSYMALFPHLLQPVLWERTGNIPALVRLLQAFLERGSNTIASAAADKIPGLLGVFQKLIASKANDHQGFYLLNSIIEHMPPESVDQYRKQIFILLFQRLQNSKTTKFIKSFLVFINLYCIKYGALALQEIFDGIQPKMFGMVLEKIIIPEIQKVSGNVEKKICAVGITKLLTECPPMMDTEYTKLWTPLLQSLIGLFELPEDDTIPDEEHFIDIEDTPGYQTAFSQLAFAGKKEHDPVGQMVNNPKIHLAQSLHKLSTACPGRVPSMVSTSLNAEALQYLQGYLQAASVTLL 种属同源性预测 |
| 宿主/亚型 | Mouse / IgG2a |
| 抗体类别 | Monoclonal |
| 产品类型 | Antibody |
| 全称 | CSE1 chromosome segregation 1-like (yeast) |
| 别名 | CAS, CSE1, CSE1L, Exp2, Exportin 2, Importin alpha re exporter, XPO2 |
| 计算分子量 | 971 aa, 110 kDa |
| 观测分子量 | 100 kDa |
| GenBank蛋白编号 | BC109313 |
| 基因名称 | CSE1L |
| Gene ID (NCBI) | 1434 |
| RRID | AB_2882568 |
| 偶联类型 | Unconjugated |
| 形式 | Liquid |
| 纯化方式 | Protein A purification |
| UNIPROT ID | P55060 |
| 储存缓冲液 | PBS only, pH 7.3. |
| 储存条件 | Store at -80°C. The product is shipped with ice packs. Upon receipt, store it immediately at -80°C |




