IHCeasy® CSE1L Ready-To-Use IHC Kit
CSE1L Ready-to-use reagent kit for IHC.
Cat no : KHC0779
Synonyms
CAS, CSE1, CSE1L, Exp2, Exportin 2, Importin alpha re exporter, XPO2
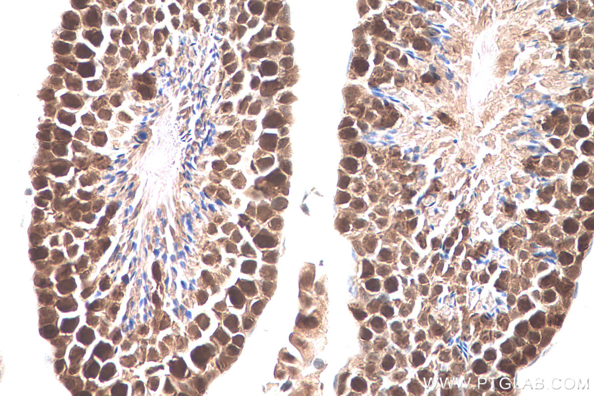
Validation Data Gallery
Product Information
KHC0779 is a ready-to-use IHC kit for staining of CSE1L. The kit provides all reagents, from antigen retrieval to cover slip mounting, that require little to no diluting or handling prior to use. Simply apply the reagents to your sample slide according to the protocol and you're steps away from obtaining high-quality IHC data.
| Product name | IHCeasy CSE1L Ready-To-Use IHC Kit |
| Sample type | FFPE tissue |
| Assay type | Immunohistochemistry |
| Primary antibody type | Mouse Monoclonal |
| Secondary antibody type | Polymer-HRP-Goat anti-Mouse |
| Reactivity | Human, Mouse, Rat |
Kit components
| Component | Size | Concentration |
|---|---|---|
| Antigen Retrieval Buffer | 100 mL | 50× |
| Washing Buffer | 100 mL ×2 | 20× |
| Blocking Buffer | 5 mL | RTU |
| Primary Antibody | 5 mL | RTU |
| Secondary Antibody | 5 mL | RTU |
| Chromogen Component A | 0.2 mL | RTU |
| Chromogen Component B | 4 mL | RTU |
| Signal Enhancer | 5 mL | RTU |
| Counter Staining Reagent | 5 mL | RTU |
| Mounting Media | 5 mL | RTU |
| Datasheet | 1 Copy | |
| Manual | 1 Copy |
Properties
| Storage Instructions | All the reagents are stored at 2-8°C. The kit is stable for 6 months from the date of receipt. |
| Synonyms | CAS, CSE1, CSE1L, Exp2, Exportin 2, Importin alpha re exporter, XPO2 |
Publications
| Application | Title |
|---|---|
Transl Cancer Res CSE1L in enhancing the effect of defactinib on gastric cancer cells via the inhibition of FAK phosphorylation |








