验证数据展示
产品信息
87812-3-PBS targets CHCHD10 as part of a matched antibody pair:
MP03220-1: 87812-2-PBS capture and 87812-3-PBS detection (validated in Cytometric bead array)
Unconjugated rabbit recombinant monoclonal antibody in PBS only (BSA and azide free) storage buffer at a concentration of 1 mg/mL, ready for conjugation. Created using Proteintech’s proprietary in-house recombinant technology. Recombinant production enables unrivalled batch-to-batch consistency, easy scale-up, and future security of supply.
This conjugation ready format makes antibodies ideal for use in many applications including: ELISAs, multiplex assays requiring matched pairs, mass cytometry, and multiplex imaging applications.Antibody use should be optimized by the end user for each application and assay.
| 经测试应用 | WB, IF/ICC, Cytometric bead array, Indirect ELISA Application Description |
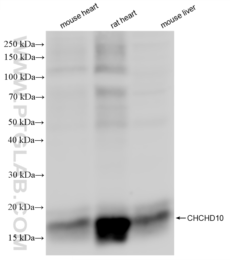
| 经测试反应性 | human, mouse, rat |
| 免疫原 |
CatNo: Ag22598 Product name: Recombinant human CHCHD10 protein Source: e coli.-derived, PET28a Tag: 6*His Domain: 82-142 aa of BC065232 Sequence: QPAVQQAPTPAAPQPLQMGPCAYEIRQFLDCSTTQSDLSLCEGFSEALKQCKYYHGLSSLP 种属同源性预测 |
| 宿主/亚型 | Rabbit / IgG |
| 抗体类别 | Recombinant |
| 产品类型 | Antibody |
| 全称 | coiled-coil-helix-coiled-coil-helix domain containing 10 |
| 别名 | CoraLite® Plus 488-conjugated CHCHD10 Polyclonal antibody, C22orf16, Coiled-coil-helix-coiled-coil-helix domain-containing protein 10, mitochondrial, N27C7 4, Protein N27C7 4 |
| 计算分子量 | 14 kDa |
| 观测分子量 | 14-18 kDa |
| GenBank蛋白编号 | BC065232 |
| 基因名称 | CHCHD10 |
| Gene ID (NCBI) | 400916 |
| RRID | AB_3745764 |
| 偶联类型 | Unconjugated |
| 形式 | Liquid |
| 纯化方式 | Protein A purification |
| UNIPROT ID | Q8WYQ3 |
| 储存缓冲液 | PBS only, pH 7.3. |
| 储存条件 | Store at -80°C. The product is shipped with ice packs. Upon receipt, store it immediately at -80°C |
背景介绍
CHCHD10 is a mitochondrial protein that is enriched at cristae junctions in the intermembrane space and is likely involved in mitochondrial genome stability and maintenance of cristae junctions. Mutations in CHCHD10 have recently been described as a cause of frontotemporal dementia (FTD) comorbid with amyotrophic lateral sclerosis (ALS).





