验证数据展示
经过测试的应用
| Positive WB detected in | human plasma, human blood |
| Positive IP detected in | human plasma tissue |
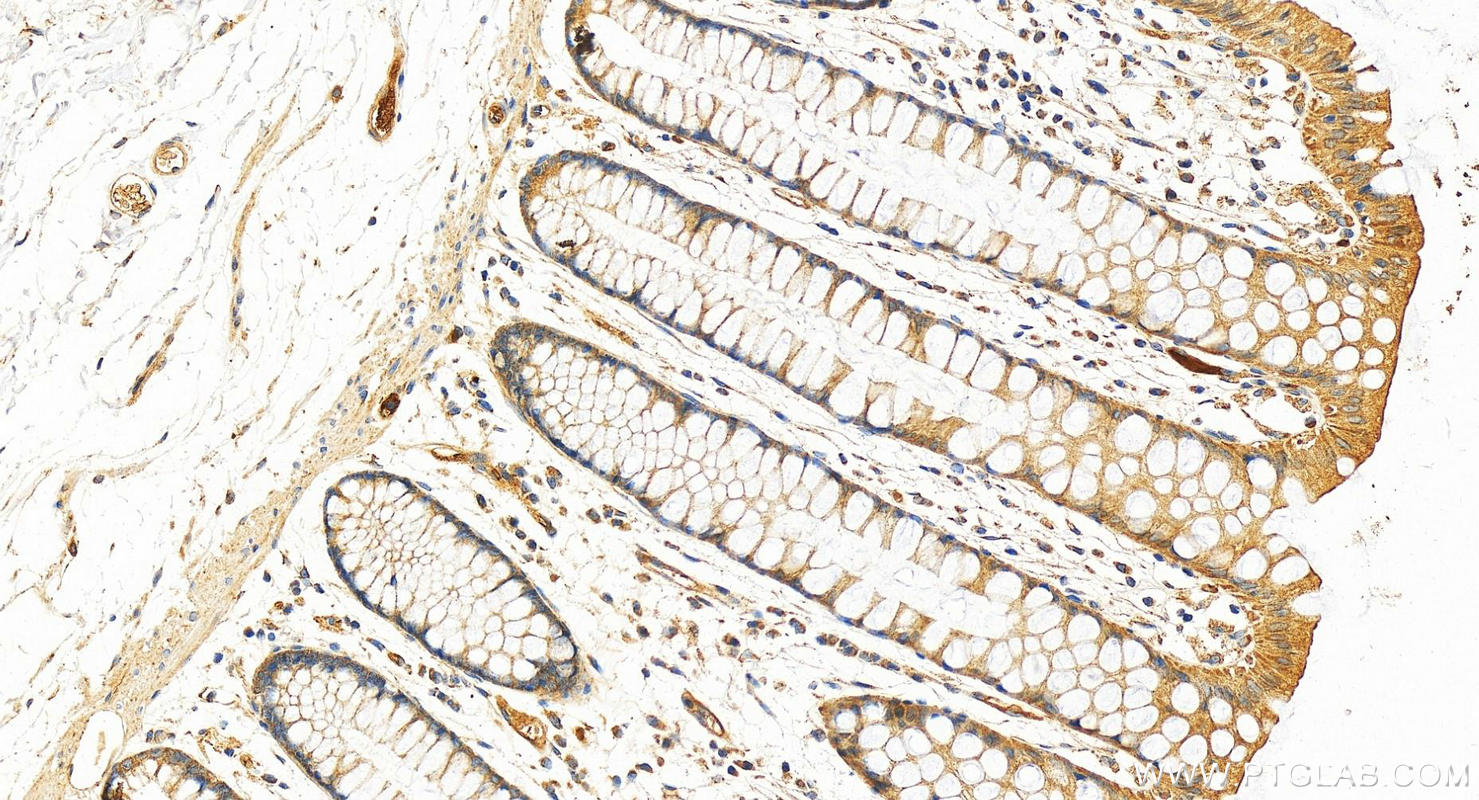
| Positive IHC detected in | human liver cancer tissue, human normal colon Note: suggested antigen retrieval with TE buffer pH 9.0; (*) Alternatively, antigen retrieval may be performed with citrate buffer pH 6.0 |
| Positive IF-P detected in | human liver cancer tissue |
| Positive IF/ICC detected in | HepG2 cells |
推荐稀释比
| 应用 | 推荐稀释比 |
|---|---|
| Western Blot (WB) | WB : 1:1000-1:6000 |
| Immunoprecipitation (IP) | IP : 0.5-4.0 ug for 1.0-3.0 mg of total protein lysate |
| Immunohistochemistry (IHC) | IHC : 1:50-1:500 |
| Immunofluorescence (IF)-P | IF-P : 1:50-1:500 |
| Immunofluorescence (IF)/ICC | IF/ICC : 1:50-1:500 |
| It is recommended that this reagent should be titrated in each testing system to obtain optimal results. | |
| Sample-dependent, Check data in validation data gallery. | |
发表文章中的应用
| WB | See 1 publications below |
| IF | See 1 publications below |
产品信息
12748-1-AP targets Complement factor H in WB, IHC, IF/ICC, IF-P, IP, ELISA applications and shows reactivity with human samples.
| 经测试应用 | WB, IHC, IF/ICC, IF-P, IP, ELISA Application Description |
| 文献引用应用 | WB, IF |
| 经测试反应性 | human |
| 文献引用反应性 | human |
| 免疫原 |
CatNo: Ag3482 Product name: Recombinant human CFH protein Source: e coli.-derived, PGEX-4T Tag: GST Domain: 24-349 aa of BC037285 Sequence: LPPRRNTEILTGSWSDQTYPEGTQAIYKCRPGYRSLGNVIMVCRKGEWVALNPLRKCQKRPCGHPGDTPFGTFTLTGGNVFEYGVKAVYTCNEGYQLLGEINYRECDTDGWTNDIPICEVVKCLPVTAPENGKIVSSAMEPDREYHFGQAVRFVCNSGYKIEGDEEMHCSDDGFWSKEKPKCVEISCKSPDVINGSPISQKIIYKENERFQYKCNMGYEYSERGDAVCTESGWRPLPSCEEKSCDNPYIPNGDYSPLRIKHRTGDEITYQCRNGFYPATRGNTAKCTSTGWIPAPRCTLKPCDYPDIKHGGLYHENMRRPYFPVAV 种属同源性预测 |
| 宿主/亚型 | Rabbit / IgG |
| 抗体类别 | Polyclonal |
| 产品类型 | Antibody |
| 全称 | complement factor H |
| 别名 | CFH, FHL1, FH, Factor H, ARMS1 |
| 计算分子量 | 1231 aa, 139 kDa |
| 观测分子量 | 140-150 kDa |
| GenBank蛋白编号 | BC037285 |
| 基因名称 | Complement factor H |
| Gene ID (NCBI) | 3075 |
| RRID | AB_10642946 |
| 偶联类型 | Unconjugated |
| 形式 | Liquid |
| 纯化方式 | Antigen affinity purification |
| UNIPROT ID | P08603 |
| 储存缓冲液 | PBS with 0.02% sodium azide and 50% glycerol, pH 7.3. |
| 储存条件 | Store at -20°C. Stable for one year after shipment. Aliquoting is unnecessary for -20oC storage. |
背景介绍
Complement factor H (CFH) is an abundant plasma glycoprotein that regulates the function of the alternative complement pathway in the fluid phase and on cellular surfaces (PMID: 2963625). Factor H binds to C3b, accelerates the decay of the alternative pathway C3-convertase (C3bBb), and acts as a cofactor for the factor I-mediated proteolytic inactivation of C3b (PMID: 15163532). It plays a critical role in the homeostasis of the complement system in plasma and in the protection of bystander host cells and tissues from damage by complement activation. Abnormalities in factor H have been associated with renal disease (PMID: 18190458).
实验方案
| Product Specific Protocols | |
|---|---|
| IF protocol for Complement factor H antibody 12748-1-AP | Download protocol |
| IHC protocol for Complement factor H antibody 12748-1-AP | Download protocol |
| IP protocol for Complement factor H antibody 12748-1-AP | Download protocol |
| WB protocol for Complement factor H antibody 12748-1-AP | Download protocol |
| Standard Protocols | |
|---|---|
| Click here to view our Standard Protocols |
发表文章
| Species | Application | Title |
|---|---|---|
Immunol Res The influences of α-hemolytic Streptococcus on class switching and complement activation of human tonsillar cells in IgA nephropathy. | ||
Commun Biol Intracellular complement Factor H promotes tumor progression through modulation of cell cycle and actin cytoskeleton. |








