IHCeasy® CFH Ready-To-Use IHC Kit
CFH Ready-to-use reagent kit for IHC.
Reactivity
Human
Sample Type
FFPE tissue
Cat no : KHC0409
Synonyms
ARMD4, ARMS1, CFH, CFHL3, Complement factor H, Factor H, FH, FHL1, H factor 1, HF, HF1, HF2, HUS
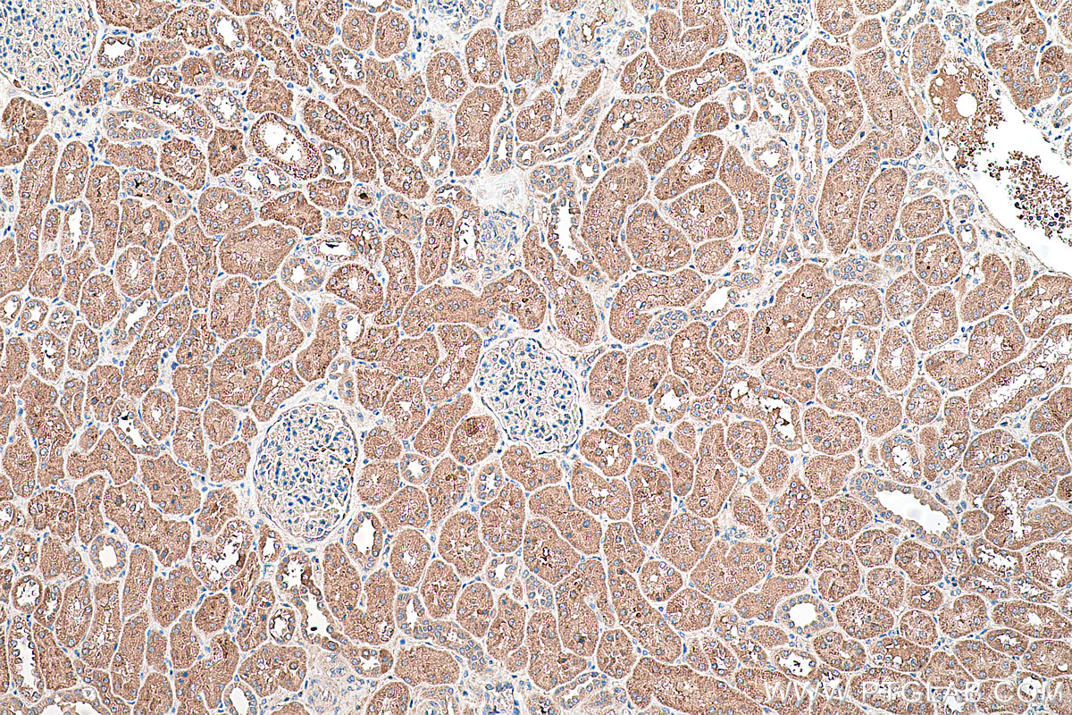
Validation Data Gallery
Product Information
KHC0409 is a ready-to-use IHC kit for staining of CFH. The kit provides all reagents, from antigen retrieval to cover slip mounting, that require little to no diluting or handling prior to use. Simply apply the reagents to your sample slide according to the protocol and you're steps away from obtaining high-quality IHC data.
| Product name | IHCeasy CFH Ready-To-Use IHC Kit |
| Sample type | FFPE tissue |
| Assay type | Immunohistochemistry |
| Primary antibody type | Rabbit Polyclonal |
| Secondary antibody type | Polymer-HRP-Goat anti-Rabbit |
| Reactivity | Human |
Kit components
| Component | Size | Concentration |
|---|---|---|
| Antigen Retrieval Buffer | 100 mL | 50× |
| Washing Buffer | 100 mL ×2 | 20× |
| Blocking Buffer | 5 mL | RTU |
| Primary Antibody | 5 mL | RTU |
| Secondary Antibody | 5 mL | RTU |
| Chromogen Component A | 0.2 mL | RTU |
| Chromogen Component B | 4 mL | RTU |
| Signal Enhancer | 5 mL | RTU |
| Counter Staining Reagent | 5 mL | RTU |
| Mounting Media | 5 mL | RTU |
| Datasheet | 1 Copy | |
| Manual | 1 Copy |
Background Information
Complement factor H (CFH) is an abundant plasma glycoprotein that regulates the function of the alternative complement pathway in fluid phase and on cellular surfaces. Factor H binds to C3b, accelerates the decay of the alternative pathway C3-convertase (C3bBb) and acts as a cofactor for the factor I-mediated proteolytic inactivation of C3b. It plays a critical role in the homeostasis of the complement system in plasma and in the protection of bystander host cells and tissues from damage by complement activation. Abnormalities in factor H have been associated with renal disease.
Properties
| Storage Instructions | All the reagents are stored at 2-8°C. The kit is stable for 6 months from the date of receipt. |
| Synonyms | ARMD4, ARMS1, CFH, CFHL3, Complement factor H, Factor H, FH, FHL1, H factor 1, HF, HF1, HF2, HUS |





