验证数据展示
经过测试的应用
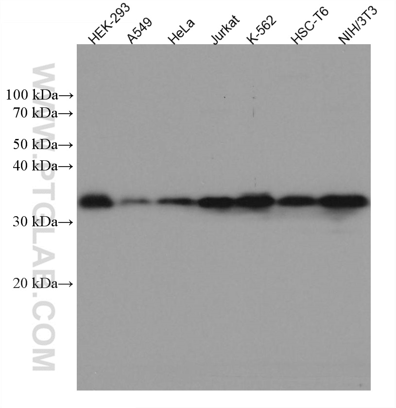
| Positive WB detected in | HEK-293 cells, A549 cells, HeLa cells, Jurkat cells, K-562 cells, HSC-T6 cells, NIH/3T3 cells | 
| Positive FC (Intra) detected in | HeLa cells | 
推荐稀释比
| 应用 | 推荐稀释比 | 
|---|---|
| Western Blot (WB) | WB : 1:5000-1:50000 | 
| Flow Cytometry (FC) (INTRA) | FC (INTRA) : 0.25 ug per 10^6 cells in a 100 µl suspension | 
| It is recommended that this reagent should be titrated in each testing system to obtain optimal results. | |
| Sample-dependent, Check data in validation data gallery. | |
产品信息
67575-1-Ig targets CDK1 in WB, IHC, FC (Intra), CoIP, ELISA applications and shows reactivity with human, mouse, rat samples.
| 经测试应用 | WB, FC (Intra), ELISA Application Description | 
| 文献引用应用 | WB, IHC, CoIP | 
| 经测试反应性 | human, mouse, rat | 
| 文献引用反应性 | human, mouse, rat | 
| 免疫原 | 
                                             CatNo: Ag29018 Product name: Recombinant human CDK1 protein Source: e coli.-derived, PET28a Tag: 6*His Domain: 1-297 aa of BC014563 Sequence: MEDYTKIEKIGEGTYGVVYKGRHKTTGQVVAMKKIRLESEEEGVPSTAIREISLLKELRHPNIVSLQDVLMQDSRLYLIFEFLSMDLKKYLDSIPPGQYMDSSLVKSYLYQILQGIVFCHSRRVLHRDLKPQNLLIDDKGTIKLADFGLARAFGIPIRVYTHEVVTLWYRSPEVLLGSARYSTPVDIWSIGTIFAELATKKPLFHGDSEIDQLFRIFRALGTPNNEVWPEVESLQDYKNTFPKWKPGSLASHVKNLDENGLDLLSKMLIYDPAKRISGKMALNHPYFNDLDNQIKKM 种属同源性预测 | 
                                    
| 宿主/亚型 | Mouse / IgG2a | 
| 抗体类别 | Monoclonal | 
| 产品类型 | Antibody | 
| 全称 | cell division cycle 2, G1 to S and G2 to M | 
| 别名 | CDC2, 2A11E4, Cyclin dependent kinase 1, Cell division protein kinase 1, CDKN1 | 
| 计算分子量 | 25 kDa | 
| 观测分子量 | 30-34 kDa | 
| GenBank蛋白编号 | BC014563 | 
| 基因名称 | CDK1 | 
| Gene ID (NCBI) | 983 | 
| RRID | AB_2882788 | 
| 偶联类型 | Unconjugated | 
| 形式 | Liquid | 
| 纯化方式 | Protein A purification | 
| UNIPROT ID | P06493 | 
| 储存缓冲液 | PBS with 0.02% sodium azide and 50% glycerol, pH 7.3. | 
| 储存条件 | Store at -20°C. Stable for one year after shipment. Aliquoting is unnecessary for -20oC storage. | 
背景介绍
CDK1, also named as CDC2, belongs to the protein kinase superfamily, CMGC Ser/Thr protein kinase family and CDC2/CDKX subfamily. CDK1 plays a key role in the control of the eukaryotic cell cycle. It is required in higher cells for entry into S-phase and mitosis. CDK1 is a catalytic subunit of the highly conserved protein kinase complex known as M-phase promoting factor (MPF), which is essential for G1/S and G2/M phase transitions of eukaryotic cell cycle. It is a component of the kinase complex that phosphorylates the repetitive C-terminus of RNA polymerase II. Mitotic cyclins stably associate with CDK1 and function as regulatory subunits. CDK1 has 2 isoforms produced by alternative splicing with the molecular mass of 34 kDa and 27 kDa.
实验方案
| Product Specific Protocols | |
|---|---|
| WB protocol for CDK1 antibody 67575-1-Ig | Download protocol | 
| Standard Protocols | |
|---|---|
| Click here to view our Standard Protocols | 
发表文章
| Species | Application | Title | 
|---|---|---|
Acta Pharm Sin B ADAR1 regulates vascular remodeling in hypoxic pulmonary hypertension through N1-methyladenosine modification of circCDK17 | ||
Mol Carcinog YAP/TEAD4-induced KIF4A contributes to the progression and worse prognosis of esophageal squamous cell carcinoma. | ||
Onco Targets Ther Sinomenine Inhibits the Growth of Ovarian Cancer Cells Through the Suppression of Mitosis by Down-Regulating the Expression and the Activity of CDK1. | ||
Chin Med A network pharmacology approach to reveal the pharmacological targets and biological mechanism of compound kushen injection for treating pancreatic cancer based on WGCNA and in vitro experiment validation | ||
BMC Cardiovasc Disord Role of ferroptosis-related genes in coronary atherosclerosis and identification of key genes: integration of bioinformatics analysis and experimental validation | ||
ACS Pharmacol Transl Sci Identification of PDCD2 as a Candidate Target of Andrographolide That Arrests the Tumor Cell Cycle by Human Proteome-Scale Screening | 

