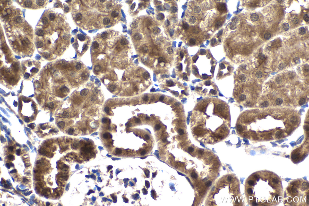
IHCeasy® CDK1 Ready-To-Use IHC Kit
CDK1 Ready-to-use reagent kit for IHC.
Reactivity
Human, Mouse, Rat
Sample Type
FFPE tissue
Cat no : KHC1511
Synonyms
CDC2, CDC28A, CDK1, CDK1-Specific, Cell division protein kinase 1, Cyclin dependent kinase 1, p34 protein kinase
Validation Data Gallery
Product Information
KHC1511 is a ready-to-use IHC kit for staining of CDK1. The kit provides all reagents, from antigen retrieval to cover slip mounting, that require little to no diluting or handling prior to use. Simply apply the reagents to your sample slide according to the protocol and you're steps away from obtaining high-quality IHC data.
| Product name | IHCeasy CDK1 Ready-To-Use IHC Kit |
| Sample type | FFPE tissue |
| Assay type | Immunohistochemistry |
| Primary antibody type | Rabbit Polyclonal |
| Secondary antibody type | Polymer-HRP-Goat anti-Rabbit |
| Reactivity | Human, Mouse, Rat |
Kit components
| Component | Size | Concentration |
|---|---|---|
| Antigen Retrieval Buffer | 100 mL | 50× |
| Washing Buffer | 100 mL ×2 | 20× |
| Blocking Buffer | 5 mL | RTU |
| Primary Antibody | 5 mL | RTU |
| Secondary Antibody | 5 mL | RTU |
| Chromogen Component A | 0.2 mL | RTU |
| Chromogen Component B | 4 mL | RTU |
| Signal Enhancer | 5 mL | RTU |
| Counter Staining Reagent | 5 mL | RTU |
| Mounting Media | 5 mL | RTU |
| Datasheet | 1 Copy | |
| Manual | 1 Copy |
Background Information
CDK1, also named as CDC2, belongs to the protein kinase superfamily, CMGC Ser/Thr protein kinase family and CDC2/CDKX subfamily. CDK1 plays a key role in the control of the eukaryotic cell cycle. It is required in higher cells for entry into S-phase and mitosis. CDK1 is a catalytic subunit of the highly conserved protein kinase complex known as M-phase promoting factor (MPF), which is essential for G1/S and G2/M phase transitions of eukaryotic cell cycle. It is a component of the kinase complex that phosphorylates the repetitive C-terminus of RNA polymerase II. Mitotic cyclins stably associate with CDK1 and function as regulatory subunits.
Properties
| Storage Instructions | All the reagents are stored at 2-8°C. The kit is stable for 6 months from the date of receipt. |
| Synonyms | CDC2, CDC28A, CDK1, CDK1-Specific, Cell division protein kinase 1, Cyclin dependent kinase 1, p34 protein kinase |






