验证数据展示
经过测试的应用
| Positive WB detected in | HEK-293 cells, HeLa cells, PC-3 cells, HL-60 cells, Jurkat cells, HepG2 cells |
| Positive IP detected in | Jurkat cells |
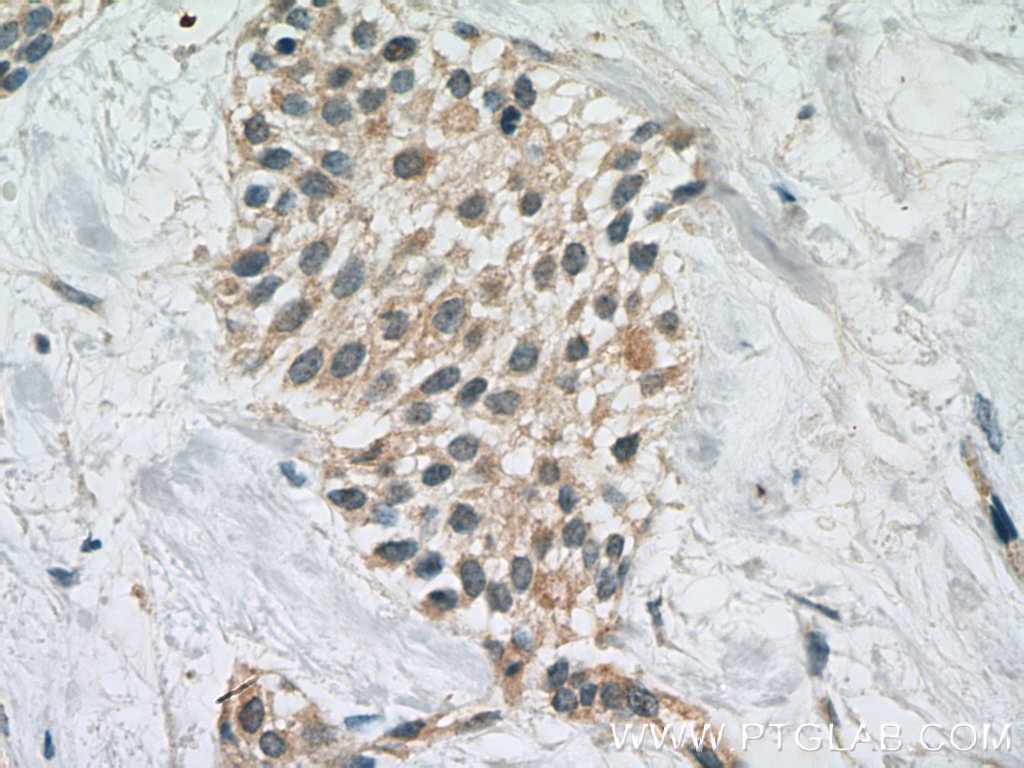
| Positive IHC detected in | human breast cancer tissue, human colon cancer tissue, human urothelial carcinoma tissue Note: suggested antigen retrieval with TE buffer pH 9.0; (*) Alternatively, antigen retrieval may be performed with citrate buffer pH 6.0 |
| Positive IF/ICC detected in | HeLa cells |
推荐稀释比
| 应用 | 推荐稀释比 |
|---|---|
| Western Blot (WB) | WB : 1:2000-1:14000 |
| Immunoprecipitation (IP) | IP : 0.5-4.0 ug for 1.0-3.0 mg of total protein lysate |
| Immunohistochemistry (IHC) | IHC : 1:50-1:500 |
| Immunofluorescence (IF)/ICC | IF/ICC : 1:200-1:800 |
| It is recommended that this reagent should be titrated in each testing system to obtain optimal results. | |
| Sample-dependent, Check data in validation data gallery. | |
产品信息
10252-1-AP targets Cdc20 in WB, IHC, IF/ICC, IP, CoIP, ELISA applications and shows reactivity with human samples.
| 经测试应用 | WB, IHC, IF/ICC, IP, ELISA Application Description |
| 文献引用应用 | WB, IHC, IF, IP, CoIP |
| 经测试反应性 | human |
| 文献引用反应性 | human, mouse, canine |
| 免疫原 |
CatNo: Ag0295 Product name: Recombinant human CDC20 protein Source: e coli.-derived, PGEX-4T Tag: GST Domain: 1-211 aa of BC001088 Sequence: MAQFAFESDLHSLLQLDAPIPNAPPARWQRKAKEAAGPAPSPMRAANRSHSAGRTPGRTPGKSSSKVQTTPSKPGGDRYIPHRSAAQMEVASFLLSKENQPENSQTPTKKEHQKAWALNLNGFDVEEAKILRLSGKPQNAPEGYQNRLKVLYSQKATPGSSRKTCRYIPSLPDRILDAPEIRNDYYLNLVDWSSGNVLAVALDNSVYLWSA 种属同源性预测 |
| 宿主/亚型 | Rabbit / IgG |
| 抗体类别 | Polyclonal |
| 产品类型 | Antibody |
| 全称 | cell division cycle 20 homolog (S. cerevisiae) |
| 别名 | p55CDC, CDC20A |
| 计算分子量 | 55 kDa |
| 观测分子量 | 55 kDa |
| GenBank蛋白编号 | BC001088 |
| 基因名称 | CDC20 |
| Gene ID (NCBI) | 991 |
| RRID | AB_2229016 |
| 偶联类型 | Unconjugated |
| 形式 | Liquid |
| 纯化方式 | Antigen affinity purification |
| UNIPROT ID | Q12834 |
| 储存缓冲液 | PBS with 0.02% sodium azide and 50% glycerol, pH 7.3. |
| 储存条件 | Store at -20°C. Stable for one year after shipment. Aliquoting is unnecessary for -20oC storage. |
背景介绍
Cdc20 (Cell-division cycle protein 20 homologue) is also named as p55CDC and belongs to the WD repeat CDC20/Fizzy family. Cdc20 has important functions in chromosome segregation and mitotic exit. Cdc20 is the target of the spindle assembly checkpoint (SAC) and a key cofactor of the anaphase-promoting complex or cyclosome (APC/CCDC20) E3 ubiquitin ligase, thus regulating APC/C ubiquitin activity on specific substrates for their subsequent degradation by the proteasome (PMID: 28202332). The 55-kDa band corresponded to the size of Cdc20 (PMID: 22566641).
实验方案
| Product Specific Protocols | |
|---|---|
| WB protocol for Cdc20 antibody 10252-1-AP | Download protocol |
| IHC protocol for Cdc20 antibody 10252-1-AP | Download protocol |
| IF protocol for Cdc20 antibody 10252-1-AP | Download protocol |
| IP protocol for Cdc20 antibody 10252-1-AP | Download protocol |
| Standard Protocols | |
|---|---|
| Click here to view our Standard Protocols |
发表文章
| Species | Application | Title |
|---|---|---|
Nat Commun DNA replication initiation factor RECQ4 possesses a role in antagonizing DNA replication initiation | ||
Mol Cell Spatiotemporal Proteomic Analysis of Stress Granule Disassembly Using APEX Reveals Regulation by SUMOylation and Links to ALS Pathogenesis. | ||
Sci Signal Repurposing colforsin daropate to treat MYC-driven high-grade serous ovarian carcinomas | ||
Elife Ordered dephosphorylation initiated by the selective proteolysis of cyclin B drives mitotic exit. | ||
Int J Mol Sci Downregulation of CDC20 Increases Radiosensitivity through Mcl-1/p-Chk1-Mediated DNA Damage and Apoptosis in Tumor Cells.
| ||
Cell Death Dis Upregulation of kinesin family member 4A enhanced cell proliferation via activation of Akt signaling and predicted a poor prognosis in hepatocellular carcinoma. |














