验证数据展示
经过测试的应用
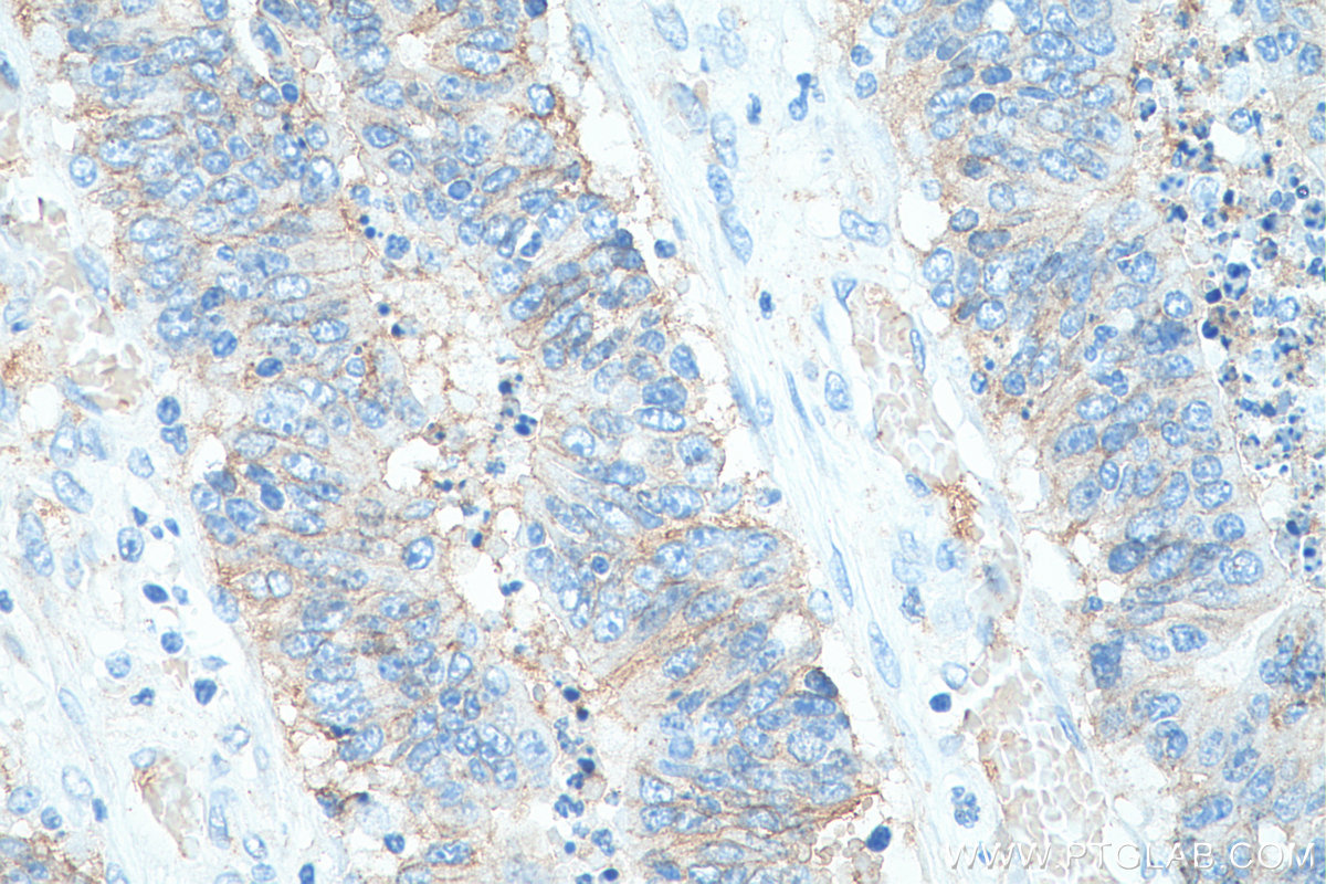
| Positive IHC detected in | human ovary tumor tissue, human colon cancer tissue Note: suggested antigen retrieval with TE buffer pH 9.0; (*) Alternatively, antigen retrieval may be performed with citrate buffer pH 6.0 |
推荐稀释比
| 应用 | 推荐稀释比 |
|---|---|
| Immunohistochemistry (IHC) | IHC : 1:200-1:800 |
| It is recommended that this reagent should be titrated in each testing system to obtain optimal results. | |
| Sample-dependent, Check data in validation data gallery. | |
产品信息
Biotin-60232 targets CD9 in IHC applications and shows reactivity with human samples.
| 经测试应用 | IHC Application Description |
| 经测试反应性 | human |
| 免疫原 |
CatNo: Ag14529 Product name: Recombinant human CD9 protein Source: e coli.-derived, PET28a Tag: 6*His Domain: 100-208 aa of BC011988 Sequence: FAIEIAAAIWGYSHKDEVIKEVQEFYKDTYNKLKTKDEPQRETLKAIHYALNCCGLAGGVEQFISDICPKKDVLETFTVKSCPDAIKEVFDNKFHIIGAVGIGIAVVMI 种属同源性预测 |
| 宿主/亚型 | Mouse / IgG1 |
| 抗体类别 | Monoclonal |
| 产品类型 | Antibody |
| 全称 | CD9 molecule |
| 别名 | 5H9, 5H9 antigen, BA2, BTCC 1, CD9, CD9 antigen, CD9 molecule, DRAP 27, GIG2, Leukocyte antigen MIC3, MIC3, Motility related protein, MRP 1, P24, Tetraspanin 29, Tspan 29, TSPAN29 |
| 计算分子量 | 228 aa, 25 kDa |
| 观测分子量 | 23-27 kDa |
| GenBank蛋白编号 | BC011988 |
| 基因名称 | CD9 |
| Gene ID (NCBI) | 928 |
| RRID | AB_3083811 |
| 偶联类型 | Biotin |
| 形式 | Liquid |
| 纯化方式 | Protein G purification |
| UNIPROT ID | P21926 |
| 储存缓冲液 | PBS with 50% glycerol, 0.05% Proclin300, 0.5% BSA, pH 7.3. |
| 储存条件 | Store at -20°C. Avoid exposure to light. Stable for one year after shipment. Aliquoting is unnecessary for -20oC storage. |
背景介绍
The cell-surface molecule CD9, a member of the transmembrane-4 superfamily, interacts with the integrin family and other membrane proteins, and is postulated to participate in cell migration and adhesion. Expression of CD9 enhances membrane fusion between muscle cells and promotes viral infection in some cells (PMID:10459022). It is often used as a mesenchymal stem cell marker (PMID:18005405). CD9 is also known as the p24 antigen besides MIC3, TSPAN29 because it is a protein of molecular weight 24 kD. The CD9 antigen appears to be a 227-amino acid molecule with 4 hydrophobic domains and 1 N-glycosylation site.
实验方案
| Product Specific Protocols | |
|---|---|
| IHC protocol for Biotin CD9 antibody Biotin-60232 | Download protocol |
| Standard Protocols | |
|---|---|
| Click here to view our Standard Protocols |



