验证数据展示
经过测试的应用
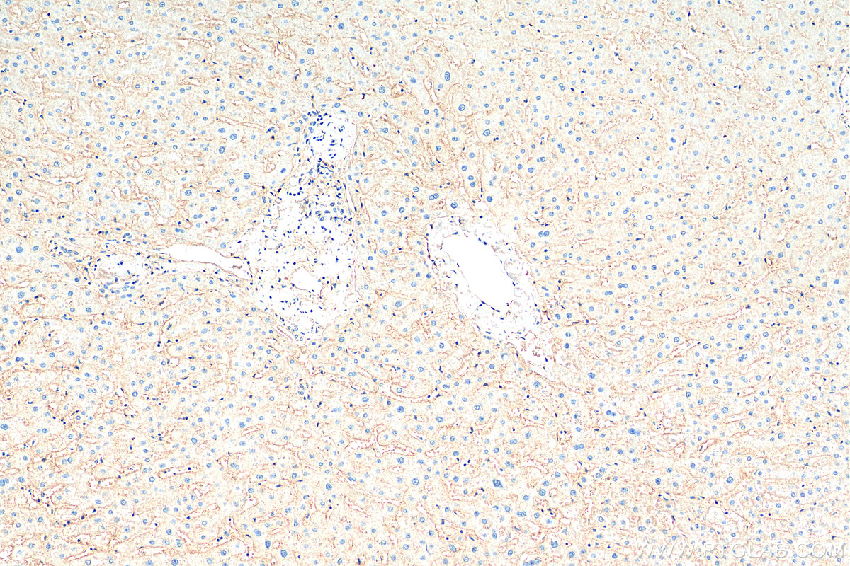
| Positive IHC detected in | human liver tissue Note: suggested antigen retrieval with TE buffer pH 9.0; (*) Alternatively, antigen retrieval may be performed with citrate buffer pH 6.0 |
推荐稀释比
| 应用 | 推荐稀释比 |
|---|---|
| Immunohistochemistry (IHC) | IHC : 1:100-1:500 |
| It is recommended that this reagent should be titrated in each testing system to obtain optimal results. | |
| Sample-dependent, Check data in validation data gallery. | |
产品信息
Biotin-66866 targets CD81 in IHC applications and shows reactivity with Human samples.
| 经测试应用 | IHC Application Description |
| 经测试反应性 | Human |
| 免疫原 |
CatNo: Ag27298 Product name: Recombinant human CD81 protein Source: e coli.-derived, PET28a Tag: 6*His Domain: 114-199 aa of BC002978 Sequence: VNKDQIAKDVKQFYDQALQQAVVDDDANNAKAVVKTFHETLDCCGSSTLTALTTSVLKNNLCPSGSNIISNLFKEDCHQKIDDLFS 种属同源性预测 |
| 宿主/亚型 | Mouse / IgG1 |
| 抗体类别 | Monoclonal |
| 产品类型 | Antibody |
| 全称 | CD81 molecule |
| 别名 | CD81, CD81 antigen, CD81 molecule, S5.7, TAPA1, Tetraspanin 28, Tspan 28, TSPAN28 |
| 计算分子量 | 26 kDa |
| 观测分子量 | 22 kDa |
| GenBank蛋白编号 | BC002978 |
| 基因名称 | CD81 |
| Gene ID (NCBI) | 975 |
| ENSEMBL Gene ID | ENSG00000110651 |
| RRID | AB_3083812 |
| 偶联类型 | Biotin |
| 形式 | Liquid |
| 纯化方式 | Protein G purification |
| UNIPROT ID | P60033 |
| 储存缓冲液 | PBS with 50% glycerol, 0.05% Proclin300, 0.5% BSA, pH 7.3. |
| 储存条件 | Store at -20°C. Avoid exposure to light. Stable for one year after shipment. Aliquoting is unnecessary for -20oC storage. |
背景介绍
CD81 (also known as TAPA1 or TSPAN28) is a membrane protein of the tetraspanin superfamily, which are characterized by the presence of four conserved transmembrane regions. Many of these members are expressed on leukocytes and have been implicated in signal transduction, cell-cell interactions, and cellular activation and development. CD81 is involved in signal transduction and cell adhesion in the immune system (PMID: 9597125). CD81 has also been identified as en essential receptor for HCV (hepatitis C virus) (PMID: 21428934).
实验方案
| Product Specific Protocols | |
|---|---|
| IHC protocol for Biotin CD81 antibody Biotin-66866 | Download protocol |
| Standard Protocols | |
|---|---|
| Click here to view our Standard Protocols |

